Suppr超能文献

磁共振胰胆管造影:二维和三维序列在评估胰腺囊性病变中的比较

Magnetic resonance cholangiopancreatography: Comparison of two- and three-dimensional sequences for the assessment of pancreatic cystic lesions.

作者信息

Liu Kefu, Xie Ping, Peng Weijun, Zhou Zhengrong

机构信息

Department of Radiology, The Affiliated Suzhou Hospital of Nanjing Medical University, Suzhou, Jiangsu 215008, P.R. China ; Department of Radiology, Fudan University Shanghai Cancer Center, Fudan University, Shanghai 200032, P.R. China.

Department of Radiology, The Affiliated Suzhou Hospital of Nanjing Medical University, Suzhou, Jiangsu 215008, P.R. China.

出版信息

Oncol Lett. 2015 Apr;9(4):1917-1921. doi: 10.3892/ol.2015.2935. Epub 2015 Feb 5.

Abstract

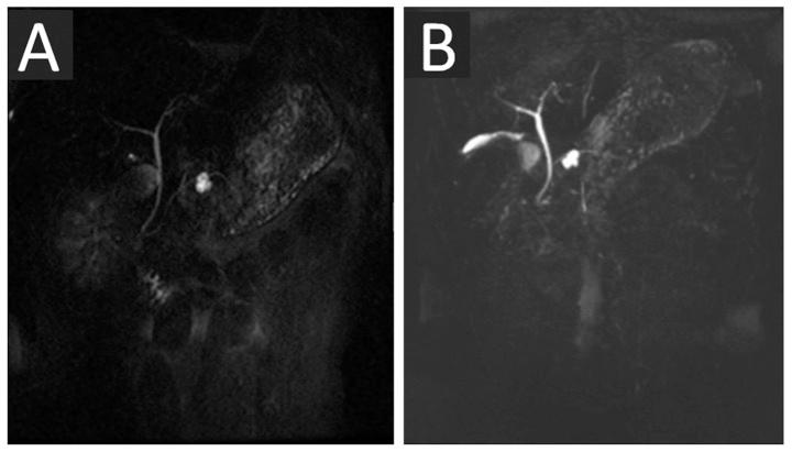
The present study aimed to compare two-dimensional (2D) and three-dimensional (3D) magnetic resonance cholangiopancreatography (MRCP) for the assessment of pancreatic cystic lesions. Between February 2009 and December 2011, 35 patients that had been diagnosed with pancreatic cystic lesions, which was confirmed by surgery and pathology, underwent pre-operative 2D or 3D MRCP for pre-operative evaluation. In the present study, the quality of these 2D and 3D MRCP images, the visualization of the features of the cystic lesions, visualization of the pancreatic main duct and prediction of ductal communication with the cystic lesions were evaluated and compared using statistical software. The 3D MRCP images were determined to be of higher quality compared with the 2D MRCP images. The features of the cystic lesions were visualized better on 3D MRCP compared with 2D MRCP. The same capability for the visualization of the segment of the pancreatic main duct was exhibited by 3D and 2D MRCP. There was no significant difference between the area under the receiver operating characteristic curve values of 2D and 3D MRCP, which assessed the prediction of communication between cystic lesions and the pancreatic main duct. It was concluded that, compared with 2D MRCP, 3D MRCP provides an improved assessment of pancreatic cystic lesions, but does not exhibit an improved capability for the visualization of the pancreatic main duct or for the prediction of communication between cystic lesions and the pancreatic main duct.

摘要

本研究旨在比较二维(2D)和三维(3D)磁共振胰胆管造影(MRCP)对胰腺囊性病变的评估效果。2009年2月至2011年12月期间,35例经手术及病理确诊为胰腺囊性病变的患者接受了术前2D或3D MRCP检查以进行术前评估。在本研究中,使用统计软件对这些2D和3D MRCP图像的质量、囊性病变特征的可视化、胰腺主导管的可视化以及导管与囊性病变相通的预测情况进行了评估和比较。结果显示,与2D MRCP图像相比,3D MRCP图像质量更高。与2D MRCP相比,3D MRCP能更好地显示囊性病变的特征。2D和3D MRCP对胰腺主导管节段的可视化能力相同。在评估囊性病变与胰腺主导管相通的预测方面,2D和3D MRCP的受试者操作特征曲线下面积值无显著差异。研究得出结论,与2D MRCP相比,3D MRCP能更好地评估胰腺囊性病变,但在胰腺主导管可视化或囊性病变与胰腺主导管相通预测方面并无改进。

https://cdn.ncbi.nlm.nih.gov/pmc/blobs/401e/4356376/2ff3239fde86/OL-09-04-1917-g00.jpg

文献AI研究员

20分钟写一篇综述,助力文献阅读效率提升50倍。

立即体验

用中文搜PubMed

大模型驱动的PubMed中文搜索引擎

马上搜索

文档翻译

学术文献翻译模型,支持多种主流文档格式。

立即体验