• 文献检索
  • 文档翻译
  • 深度研究
  • 学术资讯
  • Suppr Zotero 插件Zotero 插件
  • 邀请有礼
  • 套餐&价格
  • 历史记录
应用&插件
Suppr Zotero 插件Zotero 插件浏览器插件Mac 客户端Windows 客户端微信小程序
定价
高级版会员购买积分包购买API积分包
服务
文献检索文档翻译深度研究API 文档MCP 服务
关于我们
关于 Suppr公司介绍联系我们用户协议隐私条款
关注我们

Suppr 超能文献

核心技术专利:CN118964589B侵权必究
粤ICP备2023148730 号-1Suppr @ 2026

文献检索

告别复杂PubMed语法,用中文像聊天一样搜索,搜遍4000万医学文献。AI智能推荐,让科研检索更轻松。

立即免费搜索

文件翻译

保留排版,准确专业,支持PDF/Word/PPT等文件格式,支持 12+语言互译。

免费翻译文档

深度研究

AI帮你快速写综述,25分钟生成高质量综述,智能提取关键信息,辅助科研写作。

立即免费体验

支气管囊肿合并先天性心包缺如。

Bronchogenic cyst associated with congenital absence of the pericardium.

作者信息

Hiraoka Kei, Yamazaki Shigeo, Hosokawa Masao, Suzuki Yasuhiro

机构信息

Department of Surgery, Keiyukai Sapporo Hospital, Sapporo, Japan

Department of Surgery, Keiyukai Sapporo Hospital, Sapporo, Japan.

出版信息

J Surg Case Rep. 2015 Apr 23;2015(4):rjv052. doi: 10.1093/jscr/rjv052.

DOI:10.1093/jscr/rjv052
PMID:25907540
原文链接:https://pmc.ncbi.nlm.nih.gov/articles/PMC4407419/
Abstract

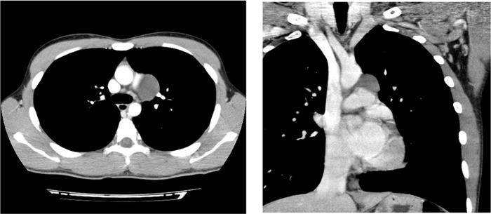
We report a rare case of bronchogenic cyst associated with congenital complete absence of the pericardium. A 17-year-old male was admitted to the hospital for surgical resection of a growing cystic lesion located in the middle mediastinum. The patient was asymptomatic and no significant findings were found on physical examination. Resection of the mediastinal cyst was performed by video-assisted thoracoscopic surgery. The complete absence of the pericardium was immediately observed along with a cystic tumor arising from the mediastinum. After the resection of the cyst, no additional procedure to reconstruct the absence of the left pericardium was performed. Pathological diagnosis was a bronchogenic cyst. Congenital absence of the pericardium may be associated with the bronchogenic cyst and complete absence of the pericardium requires no additional surgical reconstruction, if remaining space in the pleural cavity is small enough to avoid cardiac disposition after surgical resection of the cyst.

摘要

我们报告一例罕见的支气管源性囊肿合并先天性心包完全缺如的病例。一名17岁男性因位于中纵隔的一个逐渐增大的囊性病变入院接受手术切除。患者无症状,体格检查未发现明显异常。通过电视辅助胸腔镜手术切除纵隔囊肿。术中立即观察到心包完全缺如,同时有一个源于纵隔的囊性肿瘤。囊肿切除后,未进行额外的重建左心包缺如的手术。病理诊断为支气管源性囊肿。先天性心包缺如可能与支气管源性囊肿相关,如果胸腔内剩余空间足够小,在手术切除囊肿后能避免心脏移位,那么心包完全缺如无需额外的手术重建。

https://cdn.ncbi.nlm.nih.gov/pmc/blobs/600b/4407419/037dc8dbf367/rjv05203.jpg
https://cdn.ncbi.nlm.nih.gov/pmc/blobs/600b/4407419/42616e32d954/rjv05201.jpg
https://cdn.ncbi.nlm.nih.gov/pmc/blobs/600b/4407419/63942d0cbcb9/rjv05202.jpg
https://cdn.ncbi.nlm.nih.gov/pmc/blobs/600b/4407419/037dc8dbf367/rjv05203.jpg
https://cdn.ncbi.nlm.nih.gov/pmc/blobs/600b/4407419/42616e32d954/rjv05201.jpg
https://cdn.ncbi.nlm.nih.gov/pmc/blobs/600b/4407419/63942d0cbcb9/rjv05202.jpg
https://cdn.ncbi.nlm.nih.gov/pmc/blobs/600b/4407419/037dc8dbf367/rjv05203.jpg

相似文献

1
Bronchogenic cyst associated with congenital absence of the pericardium.支气管囊肿合并先天性心包缺如。
J Surg Case Rep. 2015 Apr 23;2015(4):rjv052. doi: 10.1093/jscr/rjv052.
2
Video-assisted segmental resection of an intrapulmonary bronchogenic cyst mimicking a middle mediastinal cystic tumor.电视辅助下对酷似中纵隔囊性肿瘤的肺内支气管源性囊肿进行节段性切除。
Asian J Endosc Surg. 2017 Nov;10(4):404-406. doi: 10.1111/ases.12396. Epub 2017 Jul 5.
3
Bilateral simultaneous VATS for complete resection of bilateral posterior mediastinal bronchogenic cyst: A case report.双侧同期电视辅助胸腔镜手术完全切除双侧后纵隔支气管源性囊肿:一例报告
Int J Surg Case Rep. 2016;28:149-151. doi: 10.1016/j.ijscr.2016.09.020. Epub 2016 Sep 23.
4
Mature mediastinal bronchogenic cyst with left pericardial defect: A case report.成熟型纵隔支气管源性囊肿合并左心包缺损:一例报告
World J Clin Cases. 2021 Dec 26;9(36):11362-11368. doi: 10.12998/wjcc.v9.i36.11362.
5
Robotic-assisted resection of an intrapericardial bronchogenic cyst.机器人辅助切除心包内支气管源性囊肿
J Robot Surg. 2011 Jun;5(2):141-3. doi: 10.1007/s11701-010-0228-5. Epub 2010 Dec 16.
6
[Resection of bronchogenic cyst by video-mediastinoscopy].
Rev Port Cir Cardiotorac Vasc. 2011 Jul-Sep;18(3):161-5.
7
Eleven-year experience in thoracoscopic excision of bronchogenic cyst.支气管源性囊肿胸腔镜切除术的十一年经验
Asian Cardiovasc Thorac Ann. 2012 Oct;20(5):570-4. doi: 10.1177/0218492312451167.
8
Uniportal video-assisted thoracoscopic surgery in the prone position for esophageal bronchogenic cyst.俯卧位单孔电视辅助胸腔镜手术治疗食管支气管源性囊肿
J Surg Case Rep. 2024 Mar 25;2024(3):rjae186. doi: 10.1093/jscr/rjae186. eCollection 2024 Mar.
9
Bronchogenic cyst removal via thoracoscopic surgery in the prone position: A case report and literature review.俯卧位胸腔镜手术切除支气管源性囊肿:一例报告及文献复习
Int J Surg Case Rep. 2019;60:204-208. doi: 10.1016/j.ijscr.2019.05.064. Epub 2019 Jun 8.
10
Intrapericardial Development of a Bronchogenic Cyst - Case Report.支气管源性囊肿的心包内发育——病例报告
Chirurgia (Bucur). 2016 Jul-Aug;111(4):345-9.

引用本文的文献

1
Mature mediastinal bronchogenic cyst with left pericardial defect: A case report.成熟型纵隔支气管源性囊肿合并左心包缺损:一例报告
World J Clin Cases. 2021 Dec 26;9(36):11362-11368. doi: 10.12998/wjcc.v9.i36.11362.
2
Congenital absence of pericardium: two cases and a comprehensive review of the literature.先天性心包缺如:两例病例及文献综述
BJR Case Rep. 2019 Feb 14;5(3):20180117. doi: 10.1259/bjrcr.20180117. eCollection 2019 Sep.

本文引用的文献

1
Video-assisted thoracic surgery for bronchogenic cysts: is this the surgical approach of choice?电视辅助胸腔镜手术治疗支气管囊肿:这是首选的手术方式吗?
Interact Cardiovasc Thorac Surg. 2014 Nov;19(5):824-9. doi: 10.1093/icvts/ivu228. Epub 2014 Jul 19.
2
The role of cardiac magnetic resonance imaging in the evaluation of congenital pericardial defects.心脏磁共振成像在先天性心包缺损评估中的作用。
Ann Thorac Surg. 2013 Jun;95(6):2178-80. doi: 10.1016/j.athoracsur.2012.10.054.
3
Bronchogenic cyst associated with pericardial defect: case report and review of the literature.
支气管源性囊肿合并心包缺损:病例报告及文献复习
J Cardiothorac Surg. 2011 Jun 20;6:85. doi: 10.1186/1749-8090-6-85.
4
Giant pulmonary cyst associated with congenital pericardial defect.
Gen Thorac Cardiovasc Surg. 2007 Feb;55(2):65-8. doi: 10.1007/s11748-006-0075-5.
5
Cardiac displacement after lobectomy in a patient with a congenital complete left-sided pericardial defect.一名患有先天性左侧完全心包缺损患者肺叶切除术后的心脏移位
Jpn J Thorac Cardiovasc Surg. 2001 May;49(5):317-9. doi: 10.1007/BF02913140.
6
Isolated congenital absence of the pericardium: clinical presentation, diagnosis, and management.孤立性先天性心包缺如:临床表现、诊断及处理
Ann Thorac Surg. 2000 Apr;69(4):1209-15. doi: 10.1016/s0003-4975(99)01552-0.
7
Congenital partial and complete absence of the pericardium.
Mayo Clin Proc. 1993 Aug;68(8):743-7. doi: 10.1016/s0025-6196(12)60630-2.
8
Diagnosis of congenital pericardial defects, including a pathognomic sign for dangerous apical ventricular herniation, on magnetic resonance imaging.磁共振成像对先天性心包缺损的诊断,包括危险的心尖部心室疝的特征性征象。
Br Heart J. 1995 Jul;74(1):60-6. doi: 10.1136/hrt.74.1.60.
9
Congenital pericardial defects.先天性心包缺损
Thorax. 1968 Nov;23(6):598-607. doi: 10.1136/thx.23.6.598.