• 文献检索
  • 文档翻译
  • 深度研究
  • 学术资讯
  • Suppr Zotero 插件Zotero 插件
  • 邀请有礼
  • 套餐&价格
  • 历史记录
应用&插件
Suppr Zotero 插件Zotero 插件浏览器插件Mac 客户端Windows 客户端微信小程序
定价
高级版会员购买积分包购买API积分包
服务
文献检索文档翻译深度研究API 文档MCP 服务
关于我们
关于 Suppr公司介绍联系我们用户协议隐私条款
关注我们

Suppr 超能文献

核心技术专利:CN118964589B侵权必究
粤ICP备2023148730 号-1Suppr @ 2026

文献检索

告别复杂PubMed语法,用中文像聊天一样搜索,搜遍4000万医学文献。AI智能推荐,让科研检索更轻松。

立即免费搜索

文件翻译

保留排版,准确专业,支持PDF/Word/PPT等文件格式,支持 12+语言互译。

免费翻译文档

深度研究

AI帮你快速写综述,25分钟生成高质量综述,智能提取关键信息,辅助科研写作。

立即免费体验

表现为肠道肿瘤的非分泌型多发性骨髓瘤

Nonsecretory multiple myeloma presenting as an intestinal tumor.

作者信息

Triantafyllopoulou Diana, Mellor Stuart, Cargo Catherine, Gkikas Ioannis, Adiyodi Jagdish, Bin Ayub Ali, Sahasrabudhe Neil, Rokicka Margaret

机构信息

Hematology Department, Royal Blackburn Hospital, Haslingden Road, Blackburn, Lancashire BB2 3HH, UK.

Radiology Department, Royal Blackburn Hospital, Haslingden Road, Blackburn, Lancashire BB2 3HH, UK.

出版信息

Case Rep Hematol. 2015;2015:818715. doi: 10.1155/2015/818715. Epub 2015 Apr 16.

DOI:10.1155/2015/818715
PMID:25960896
原文链接:https://pmc.ncbi.nlm.nih.gov/articles/PMC4415489/
Abstract

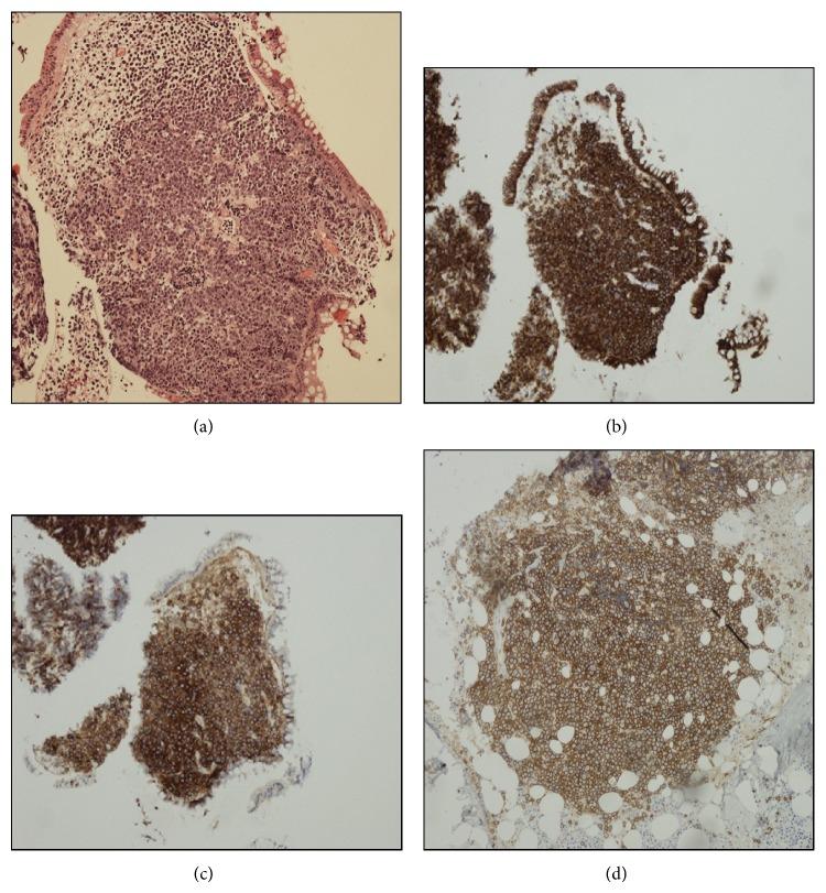
We report a case of a 43-year-old Caucasian man who presented with colicky abdominal pain and microcytic hypochromic anemia. The patient underwent a colonoscopy where a tumor was seen in the ascending colon; histology showed plasmacytoma of the colon. From the protein electrophoresis, no monoclonal band or free light chains were detected nor was urinary Bence Jones protein present. A bone marrow biopsy showed plasma cell myeloma. To the best of our knowledge, this is the first case of nonsecretory multiple myeloma presenting as plasmacytoma of the colon.

摘要

我们报告了一例43岁的白种男性病例,该患者表现为绞痛性腹痛和小细胞低色素性贫血。患者接受了结肠镜检查,在升结肠发现了一个肿瘤;组织学检查显示为结肠浆细胞瘤。蛋白电泳未检测到单克隆条带或游离轻链,尿本-周蛋白也未检出。骨髓活检显示为浆细胞骨髓瘤。据我们所知,这是首例表现为结肠浆细胞瘤的非分泌型多发性骨髓瘤病例。

https://cdn.ncbi.nlm.nih.gov/pmc/blobs/39bb/4415489/ce5bd433bd8c/CRIHEM2015-818715.003.jpg
https://cdn.ncbi.nlm.nih.gov/pmc/blobs/39bb/4415489/c9f73a26c2d4/CRIHEM2015-818715.001.jpg
https://cdn.ncbi.nlm.nih.gov/pmc/blobs/39bb/4415489/0449d9b78a6a/CRIHEM2015-818715.002.jpg
https://cdn.ncbi.nlm.nih.gov/pmc/blobs/39bb/4415489/ce5bd433bd8c/CRIHEM2015-818715.003.jpg
https://cdn.ncbi.nlm.nih.gov/pmc/blobs/39bb/4415489/c9f73a26c2d4/CRIHEM2015-818715.001.jpg
https://cdn.ncbi.nlm.nih.gov/pmc/blobs/39bb/4415489/0449d9b78a6a/CRIHEM2015-818715.002.jpg
https://cdn.ncbi.nlm.nih.gov/pmc/blobs/39bb/4415489/ce5bd433bd8c/CRIHEM2015-818715.003.jpg

相似文献

1
Nonsecretory multiple myeloma presenting as an intestinal tumor.表现为肠道肿瘤的非分泌型多发性骨髓瘤
Case Rep Hematol. 2015;2015:818715. doi: 10.1155/2015/818715. Epub 2015 Apr 16.
2
Intracytoplasmic and surface-bound immunoglobulins in "nonsecretory" and Bence-Jones myeloma.“非分泌型”和本-周蛋白骨髓瘤中的胞浆内及表面结合免疫球蛋白
Clin Exp Immunol. 1976 Sep;25(3):428-36.
3
Nonsecretory Multiple Myeloma Presenting as Recurrent Vertebral Compression Fractures in an Older Male Patient.一名老年男性患者以复发性椎体压缩骨折为表现的非分泌型多发性骨髓瘤
Ann Geriatr Med Res. 2018 Jun;22(2):98-101. doi: 10.4235/agmr.2018.22.2.98. Epub 2018 Jun 30.
4
Secondary extramedullary plasmacytoma of sigmoid colon in a patient with multiple myeloma: a case report.一名多发性骨髓瘤患者的乙状结肠继发性髓外浆细胞瘤:病例报告
J Med Case Rep. 2018 Dec 25;12(1):379. doi: 10.1186/s13256-018-1888-4.
5
Intranuclear inclusions in myeloma cells in a case of nonsecretory multiple myeloma.
Am J Hematol. 1990 Jan;33(1):72-4. doi: 10.1002/ajh.2830330115.
6
[A case of Bence-Jones protein-lambda positive multiple myeloma complicated by abnormal plasma cells in pleural effusion].1例本-周蛋白λ阳性多发性骨髓瘤合并胸腔积液中异常浆细胞
Nihon Kokyuki Gakkai Zasshi. 1998 Feb;36(2):176-81.
7
Multiple Myeloma Presenting as Acute Renal Failure in the Absence of Other Characteristic Features.无其他特征性表现而以急性肾衰竭为表现的多发性骨髓瘤
Cureus. 2017 Sep 20;9(9):e1703. doi: 10.7759/cureus.1703.
8
Diagnostic pitfalls of nonsecretory myeloma manifesting as multiple foci of periosseous plasmacytomas.非分泌型骨髓瘤表现为多发骨旁浆细胞瘤时的诊断陷阱。
J Chin Med Assoc. 2011 Oct;74(10):464-8. doi: 10.1016/j.jcma.2011.08.018. Epub 2011 Oct 19.
9
Solitary Giant Extradural Plasmacytoma.孤立性巨大硬膜外浆细胞瘤
Asian J Neurosurg. 2017 Oct-Dec;12(4):721-723. doi: 10.4103/1793-5482.215764.
10
An unusual case of Bence Jones myeloma with extremely low levels of monoclonal immunoglobulin.一例罕见的本-周蛋白骨髓瘤病例,单克隆免疫球蛋白水平极低。
Oral Surg Oral Med Oral Pathol. 1986 May;61(5):498-503. doi: 10.1016/0030-4220(86)90394-4.

引用本文的文献

1
Multifocal Colonic Masses as a Presentation of Secondary Extramedullary Plasmacytoma in Relapsing-Refractory Multiple Myeloma: A Case Report and Review of Literature.多发性复发性难治性骨髓瘤中多灶性结肠肿物作为继发性髓外浆细胞瘤的一种表现:一例报告并文献复习
JGH Open. 2025 Aug 29;9(9):e70239. doi: 10.1002/jgh3.70239. eCollection 2025 Sep.
2
Oligosecretory myeloma with gastrointestinal tract involvement: an unusual presentation and literature review.寡分泌型骨髓瘤伴胃肠道受累:一种不常见的表现及文献复习。
BMJ Case Rep. 2022 Apr 1;15(4):e247742. doi: 10.1136/bcr-2021-247742.
3
Plasmacytoma as a Mimicker of Colonic Carcinoma in an Elderly Man.

本文引用的文献

1
Promiscuous MYC locus rearrangements hijack enhancers but mostly super-enhancers to dysregulate MYC expression in multiple myeloma.多发性骨髓瘤中,杂乱无章的 MYC 基因座重排劫持增强子,但主要是超级增强子,从而导致 MYC 表达失调。
Leukemia. 2014 Aug;28(8):1725-1735. doi: 10.1038/leu.2014.70. Epub 2014 Feb 12.
2
Extramedullary involvement in multiple myeloma.多发性骨髓瘤的髓外浸润
Haematologica. 2012 Nov;97(11):1618-9. doi: 10.3324/haematol.2012.078519.
3
Extramedullary duodenal plasmacytoma presenting with gastric outlet obstruction and painless jaundice.
浆细胞瘤在一名老年男性中表现为结肠癌的模仿者。
Case Rep Pathol. 2017;2017:4846018. doi: 10.1155/2017/4846018. Epub 2017 Apr 19.
4
Extramedullary plasmacytoma mimicking colon carcinoma: an unusual presentation and review of the literature.酷似结肠癌的髓外浆细胞瘤:一种不寻常的表现及文献综述
BMJ Case Rep. 2015 Oct 23;2015:bcr2015210973. doi: 10.1136/bcr-2015-210973.
表现为胃出口梗阻和无痛性黄疸的十二指肠髓外浆细胞瘤。
J Radiol Case Rep. 2010;4(8):22-8. doi: 10.3941/jrcr.v4i8.487. Epub 2010 Aug 1.
4
Non-secretory multiple myeloma relapsing as extramedullary liver plasmacytomas.非分泌型多发性骨髓瘤复发为骨髓外肝浆细胞瘤。
J Gastrointestin Liver Dis. 2011 Mar;20(1):81-3.
5
Aggressive large B-cell lymphoma with plasma cell differentiation: immunohistochemical characterization of plasmablastic lymphoma and diffuse large B-cell lymphoma with partial plasmablastic phenotype.具有浆细胞分化的侵袭性大 B 细胞淋巴瘤:浆母细胞淋巴瘤和具有部分浆母细胞表型的弥漫性大 B 细胞淋巴瘤的免疫组织化学特征。
Haematologica. 2010 Aug;95(8):1342-9. doi: 10.3324/haematol.2009.016113. Epub 2010 Apr 23.
6
Incidence, presenting features and outcome of extramedullary disease in multiple myeloma: a longitudinal study on 1003 consecutive patients.多发性骨髓瘤髓外疾病的发病情况、表现特征和转归:对 1003 例连续患者的纵向研究。
Ann Oncol. 2010 Feb;21(2):325-330. doi: 10.1093/annonc/mdp329. Epub 2009 Jul 24.
7
The impact of extramedullary disease at presentation on the outcome of myeloma.初诊时髓外疾病对骨髓瘤预后的影响。
Leuk Lymphoma. 2009 Feb;50(2):230-5. doi: 10.1080/10428190802657751.
8
Prothrombotic coagulation abnormalities in patients with newly diagnosed multiple myeloma.新诊断的多发性骨髓瘤患者的血栓前凝血异常。
Haematologica. 2007 Feb;92(2):279-80. doi: 10.3324/haematol.10454.
9
Clinical and biological features of multiple myeloma involving the gastrointestinal system.累及胃肠道系统的多发性骨髓瘤的临床和生物学特征
Haematologica. 2006 Jul;91(7):964-7.
10
Gastric plasmacytoma: a rare cause of massive gastrointestinal bleeding.胃浆细胞瘤:大量胃肠道出血的罕见病因。
Am J Gastroenterol. 1993 Nov;88(11):1963-4.