Suppr超能文献

I类组蛋白去乙酰化酶抑制剂莫西司他的抗纤维化作用与缺血性心力衰竭中的IL-6/Stat3信号传导相关。

Anti-Fibrotic Effects of Class I HDAC Inhibitor, Mocetinostat Is Associated with IL-6/Stat3 Signaling in Ischemic Heart Failure.

作者信息

Nural-Guvener Hikmet, Zakharova Liudmila, Feehery Lorraine, Sljukic Snjezana, Gaballa Mohamed

机构信息

Cardiovascular Research Laboratory, Banner Sun Health Research Institute, Sun City, AZ 85351, USA.

出版信息

Int J Mol Sci. 2015 May 19;16(5):11482-99. doi: 10.3390/ijms160511482.

Abstract

BACKGROUND

Recent studies have linked histone deacetylases (HDAC) to remodeling of the heart and cardiac fibrosis in heart failure. However, the molecular mechanisms linking chromatin remodeling events with observed anti-fibrotic effects are unknown. Here, we investigated the molecular players involved in anti-fibrotic effects of HDAC inhibition in congestive heart failure (CHF) myocardium and cardiac fibroblasts in vivo.

METHODS AND RESULTS

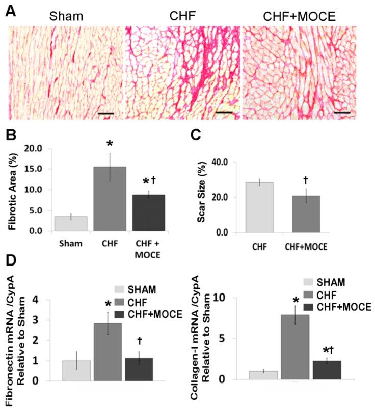
MI was created by coronary artery occlusion. Class I HDACs were inhibited in three-week post MI rats by intraperitoneal injection of Mocetinostat (20 mg/kg/day) for duration of three weeks. Cardiac function and heart tissue were analyzed at six week post-MI. CD90+ cardiac fibroblasts were isolated from ventricles through enzymatic digestion of heart. In vivo treatment of CHF animals with Mocetinostat reduced CHF-dependent up-regulation of HDAC1 and HDAC2 in CHF myocardium, improved cardiac function and decreased scar size and total collagen amount. Moreover, expression of pro-fibrotic markers, collagen-1, fibronectin and Connective Tissue Growth Factor (CTGF) were reduced in the left ventricle (LV) of Mocetinostat-treated CHF hearts. Cardiac fibroblasts isolated from Mocetinostat-treated CHF ventricles showed a decrease in expression of collagen I and III, fibronectin and Timp1. In addition, Mocetinostat attenuated CHF-induced elevation of IL-6 levels in CHF myocardium and cardiac fibroblasts. In parallel, levels of pSTAT3 were reduced via Mocetinostat in CHF myocardium.

CONCLUSIONS

Anti-fibrotic effects of Mocetinostat in CHF are associated with the IL-6/STAT3 signaling pathway. In addition, our study demonstrates in vivo regulation of cardiac fibroblasts via HDAC inhibition.

摘要

背景

最近的研究已将组蛋白脱乙酰酶(HDAC)与心力衰竭时心脏重塑和心脏纤维化联系起来。然而,将染色质重塑事件与观察到的抗纤维化作用联系起来的分子机制尚不清楚。在此,我们研究了体内参与HDAC抑制对充血性心力衰竭(CHF)心肌和心脏成纤维细胞抗纤维化作用的分子机制。

方法与结果

通过冠状动脉闭塞造成心肌梗死。在心肌梗死后3周的大鼠中,通过腹腔注射莫西司他(20mg/kg/天)持续3周来抑制I类HDAC。在心肌梗死后6周分析心脏功能和心脏组织。通过心脏酶消化从心室中分离出CD90+心脏成纤维细胞。用莫西司他对CHF动物进行体内治疗可降低CHF心肌中HDAC1和HDAC2依赖CHF的上调,改善心脏功能,减小瘢痕大小和总胶原量。此外,在莫西司他治疗的CHF心脏的左心室(LV)中,促纤维化标志物胶原蛋白-1、纤连蛋白和结缔组织生长因子(CTGF)的表达降低。从莫西司他治疗的CHF心室分离出的心 脏成纤维细胞显示胶原蛋白I和III、纤连蛋白和Timp1的表达减少。此外,莫西司他减弱了CHF诱导的CHF心肌和心脏成纤维细胞中IL-6水平的升高。同时,莫西司他降低了CHF心肌中pSTAT3的水平。

结论

莫西司他在CHF中的抗纤维化作用与IL-6/STAT3信号通路有关。此外,我们的研究证明了通过HDAC抑制体内调节心脏成纤维细胞。

https://cdn.ncbi.nlm.nih.gov/pmc/blobs/dfc7/4463712/5d93587c96fd/ijms-16-11482-g001.jpg

文献检索

告别复杂PubMed语法,用中文像聊天一样搜索,搜遍4000万医学文献。AI智能推荐,让科研检索更轻松。

立即免费搜索

文件翻译

保留排版,准确专业,支持PDF/Word/PPT等文件格式,支持 12+语言互译。

免费翻译文档

深度研究

AI帮你快速写综述,25分钟生成高质量综述,智能提取关键信息,辅助科研写作。

立即免费体验