Suppr超能文献

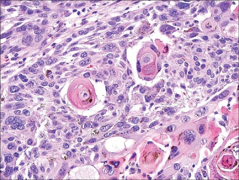
Tumor with the features of both squamous cell carcinoma and melanoma (melanocarcinoma).

作者信息

Kochoumian Elise, Kazlouskaya Viktoryia, Mangold Aaron, Lal Karan, Maia-Cohen Sandra, Elston Dirk M

机构信息

New York College of Osteopathic Medicine, NY, USA.

Ackerman Academy of Dermatopathology, NY, USA.

出版信息

Indian Dermatol Online J. 2015 May-Jun;6(3):217-9. doi: 10.4103/2229-5178.156422.

Abstract

Combined tumors of malignant melanoma (MM) and squamous cell carcinoma (SCC) are extremely rare and have unknown biological potential. Different theories of their development, including collision and dual/divergent differentiation, are proposed. Although some observations suggest an indolent course for such tumors, a case of MM metastasis was reported in a patient who initially presented with a combined MM-SCC tumor. Re-excisions of such tumors may show MM in situ and should be treated accordingly. Herein we present another case of a combined MM-SCC tumor in a 78 male patient with lentigo maligna seen after complete re-excision of the tumor.

摘要
https://cdn.ncbi.nlm.nih.gov/pmc/blobs/c2ba/4439757/c2d5bb156d87/IDOJ-6-217-g001.jpg

文献AI研究员

20分钟写一篇综述,助力文献阅读效率提升50倍。

立即体验

用中文搜PubMed

大模型驱动的PubMed中文搜索引擎

马上搜索

文档翻译

学术文献翻译模型,支持多种主流文档格式。

立即体验