Suppr超能文献

“十二指肠旁胰腺炎”的临床放射学评估:胰腺外的胰腺炎!

Clinicoradiological appraisal of 'paraduodenal pancreatitis': Pancreatitis outside the pancreas!

作者信息

Arora Ankur, Rajesh S, Mukund Amar, Patidar Yashwant, Thapar Shalini, Arora Asit, Bhatia Vikram

机构信息

Department of Radiology, Institute of Liver and Biliary Sciences, New Delhi, India.

Department of Hepato-pancreatico-biliary surgery, Institute of Liver and Biliary Sciences, New Delhi, India.

出版信息

Indian J Radiol Imaging. 2015 Jul-Sep;25(3):303-14. doi: 10.4103/0971-3026.161467.

Abstract

PURPOSE

Paraduodenal pancreatitis (PP) is a unique form of focal chronic pancreatitis that selectively involves the duodenum and aberrant pancreatic tissue located near the minor papilla (beyond the pancreas proper). The pseudotumoral nature of the disease often generates considerable clinical quandary and patient apprehension, and therefore merits a better understanding. The present study appraises the clinicoradiological manifestations of PP in 33 patients.

MATERIALS AND METHODS

Clinical, laboratory, and radiological manifestations of 33 patients of PP treated in gastroenterology/hepatology and hepato-pancreatico-biliary surgery units during June 2010-August 2014 were retrospectively reviewed.

RESULTS

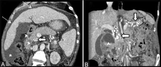
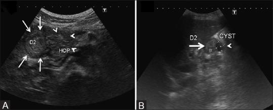
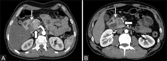
All patients were young to middle-aged men (100%) with history of alcohol abuse (93.9%) and/or smoking (42.4%), who presented either with acute or gradually worsening abdominal pain (90.9%). Pancreatic enzymes and serum tumor markers remained normal or were mildly/transiently elevated. Cystic variant was detected in 57.6% (solid in 42.4%); the disease remained confined to the groove/duodenum (pure form) in 45.4%. Medial duodenal wall thickening with increased enhancement was seen in 87.87 and 81.81%, respectively, and duodenal/paraduodenal cysts were seen in 78.78%. Pancreatic calcifications and biliary stricture were seen 27.3% patients. Peripancreatic arteries were neither infiltrated nor encased.

CONCLUSION

PP has a discrete predilection for middle-aged men with history of longstanding alcohol abuse and/or smoking. Distinguishing imaging findings include thickening of the pancreatic side of duodenum exhibiting increased enhancement with intramural/paraduodenal cysts. This may be accompanied by plate-like scar tissue in the groove region, which may simulate groove pancreatic carcinoma. However, as opposed to carcinoma, the peripancreatic arteries are neither infiltrated nor encased, rather are medially displaced.

摘要

目的

十二指肠旁胰腺炎(PP)是一种独特的局灶性慢性胰腺炎,它选择性地累及十二指肠以及位于小乳头附近(胰腺本体以外)的异常胰腺组织。该疾病的假瘤性质常常引发相当大的临床困境和患者担忧,因此值得深入了解。本研究评估了33例PP患者的临床放射学表现。

材料与方法

回顾性分析了2010年6月至2014年8月期间在胃肠病学/肝病学以及肝胰胆外科接受治疗的33例PP患者的临床、实验室及放射学表现。

结果

所有患者均为中青年男性(100%),有酗酒史(93.9%)和/或吸烟史(42.4%),表现为急性或逐渐加重的腹痛(90.9%)。胰腺酶和血清肿瘤标志物保持正常或轻度/短暂升高。57.6%检测为囊性变(42.4%为实性);45.4%的疾病局限于沟/十二指肠(纯形式)。分别有87.87%和81.81%的患者出现十二指肠内侧壁增厚且强化增加,78.78%的患者出现十二指肠/十二指肠旁囊肿。27.3%的患者出现胰腺钙化和胆管狭窄。胰周动脉未受侵犯也未被包绕。

结论

PP对有长期酗酒和/或吸烟史的中年男性有明显偏好。具有鉴别意义的影像学表现包括十二指肠胰腺侧增厚,壁内/十二指肠旁囊肿强化增加。这可能伴有沟区的板状瘢痕组织,可能类似沟部胰腺癌。然而,与癌不同的是,胰周动脉未受侵犯也未被包绕,而是向内侧移位。

https://cdn.ncbi.nlm.nih.gov/pmc/blobs/c702/4531457/52676140b1e2/IJRI-25-303-g001.jpg

文献AI研究员

20分钟写一篇综述,助力文献阅读效率提升50倍。

立即体验

用中文搜PubMed

大模型驱动的PubMed中文搜索引擎

马上搜索

文档翻译

学术文献翻译模型,支持多种主流文档格式。

立即体验