• 文献检索
  • 文档翻译
  • 深度研究
  • 学术资讯
  • Suppr Zotero 插件Zotero 插件
  • 邀请有礼
  • 套餐&价格
  • 历史记录
应用&插件
Suppr Zotero 插件Zotero 插件浏览器插件Mac 客户端Windows 客户端微信小程序
定价
高级版会员购买积分包购买API积分包
服务
文献检索文档翻译深度研究API 文档MCP 服务
关于我们
关于 Suppr公司介绍联系我们用户协议隐私条款
关注我们

Suppr 超能文献

核心技术专利:CN118964589B侵权必究
粤ICP备2023148730 号-1Suppr @ 2026

文献检索

告别复杂PubMed语法,用中文像聊天一样搜索,搜遍4000万医学文献。AI智能推荐,让科研检索更轻松。

立即免费搜索

文件翻译

保留排版,准确专业,支持PDF/Word/PPT等文件格式,支持 12+语言互译。

免费翻译文档

深度研究

AI帮你快速写综述,25分钟生成高质量综述,智能提取关键信息,辅助科研写作。

立即免费体验

胰头周围伴有多个囊性病变的沟部胰腺炎保守治疗:一例报告

Groove Pancreatitis with Several Cystic Lesions around the Pancreatic Head Treated Conservatively: Report of a Case.

作者信息

Ito Ryusuke, Shiba Hiroaki, Okamoto Tomoyoshi, Fujioka Shuichi, Gocho Takeshi, Yanaga Katsuhiko

机构信息

Department of Surgery, Jikei University School of Medicine, Tokyo, Japan.

出版信息

Case Rep Gastroenterol. 2008 Sep;2(3):405-9. doi: 10.1159/000164310. Epub 2008 Nov 14.

DOI:10.1159/000164310
PMID:21897790
原文链接:https://pmc.ncbi.nlm.nih.gov/articles/PMC3166802/
Abstract

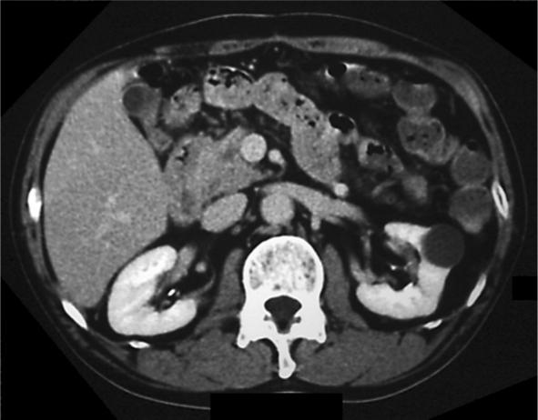
A 61-year-old man was admitted to our hospital with epigastric pain and vomiting. Enhanced abdominal computed tomography revealed inflammatory change of the pancreatic groove and focal wall thickening of the second portion of the duodenum with several cystic lesions around the head of the pancreas. We diagnosed atypical type of groove pancreatitis. The patient made a satisfactory recovery by conservative medication treatment for acute on chronic pancreatitis and cystic lesions disappeared in parallel with pancreatitis. Groove pancreatitis is a rare form of chronic pancreatitis, and to the best of our knowledge, our patient is the first case in the English literature of groove pancreatitis with cystic lesions around the head of the pancreas, which disappeared after conservative treatment for pancreatitis.

摘要

一名61岁男性因上腹部疼痛和呕吐入院。腹部增强计算机断层扫描显示胰沟有炎症改变,十二指肠第二部局部肠壁增厚,胰腺头部周围有多个囊性病变。我们诊断为非典型性胰沟炎。通过对慢性胰腺炎急性发作和囊性病变进行保守药物治疗,患者恢复良好,囊性病变与胰腺炎同时消失。胰沟炎是一种罕见的慢性胰腺炎形式,据我们所知,我们的患者是英文文献中首例胰腺头部周围有囊性病变的胰沟炎患者,经胰腺炎保守治疗后囊性病变消失。

https://cdn.ncbi.nlm.nih.gov/pmc/blobs/8216/3166802/729e6eb0348e/crg0002-0405-f02.jpg
https://cdn.ncbi.nlm.nih.gov/pmc/blobs/8216/3166802/938b65097708/crg0002-0405-f01.jpg
https://cdn.ncbi.nlm.nih.gov/pmc/blobs/8216/3166802/729e6eb0348e/crg0002-0405-f02.jpg
https://cdn.ncbi.nlm.nih.gov/pmc/blobs/8216/3166802/938b65097708/crg0002-0405-f01.jpg
https://cdn.ncbi.nlm.nih.gov/pmc/blobs/8216/3166802/729e6eb0348e/crg0002-0405-f02.jpg

相似文献

1
Groove Pancreatitis with Several Cystic Lesions around the Pancreatic Head Treated Conservatively: Report of a Case.胰头周围伴有多个囊性病变的沟部胰腺炎保守治疗:一例报告
Case Rep Gastroenterol. 2008 Sep;2(3):405-9. doi: 10.1159/000164310. Epub 2008 Nov 14.
2
Groove pancreatitis: a case report and review of literature.沟状胰腺炎:一例病例报告及文献综述
JOP. 2007 Sep 7;8(5):592-7.
3
Segmental groove pancreatitis: report of one case.节段性沟状胰腺炎:1例报告
Korean J Intern Med. 2003 Dec;18(4):234-7. doi: 10.3904/kjim.2003.18.4.234.
4
Groove Pancreatitis: A Rare form of Chronic Pancreatitis.沟部胰腺炎:一种罕见的慢性胰腺炎形式。
N Am J Med Sci. 2015 Nov;7(11):529-32. doi: 10.4103/1947-2714.170624.
5
Complete duodenal obstruction induced by groove pancreatitis: A case report.沟槽性胰腺炎所致完全性十二指肠梗阻:一例报告
World J Clin Cases. 2019 Dec 6;7(23):4106-4110. doi: 10.12998/wjcc.v7.i23.4106.
6
Groove pancreatitis: report of one case in Thailand.沟状胰腺炎:泰国1例报告。
J Med Assoc Thai. 2009 Nov;92(11):1554-9.
7
Groove resection of pancreatic head in groove pancreatitis: A case report.钩突部胰腺炎行胰头钩突切除术:病例报告
Exp Ther Med. 2017 Sep;14(3):1983-1988. doi: 10.3892/etm.2017.4753. Epub 2017 Jul 10.
8
Groove pancreatitis and pancreatic heterotopia in the minor duodenal papilla.十二指肠小乳头的沟状胰腺炎和胰腺异位
Pancreas. 2005 May;30(4):e92-5. doi: 10.1097/01.mpa.0000161885.79373.1d.
9
Dual-phase CT findings of groove pancreatitis.沟部胰腺炎的双期CT表现
Eur J Radiol. 2014 Aug;83(8):1337-43. doi: 10.1016/j.ejrad.2014.05.019. Epub 2014 May 27.
10
Groove pancreatitis. A mini-series report and review of the literature.沟状胰腺炎。病例系列报道及文献综述
JOP. 2011 May 6;12(3):230-3.

引用本文的文献

1
Groove pancreatitis presenting with upper gastrointestinal obstruction and abnormal renal function: A case report and literature review.表现为上消化道梗阻及肾功能异常的沟部胰腺炎:一例报告及文献复习
Exp Ther Med. 2024 May 22;28(1):296. doi: 10.3892/etm.2024.12585. eCollection 2024 Jul.
2
Could it be groove pancreatitis? A frequently misdiagnosed condition with a surgical solution.这会是胰管炎吗?一种常被误诊的疾病,有外科治疗方法。
ANZ J Surg. 2022 Sep;92(9):2167-2173. doi: 10.1111/ans.17939. Epub 2022 Aug 2.
3
Clinicoradiological appraisal of 'paraduodenal pancreatitis': Pancreatitis outside the pancreas!

本文引用的文献

1
Pancreatic adenocarcinoma that mimics groove pancreatitis: case report of a diagnostic dilemma.酷似沟部胰腺炎的胰腺腺癌:一例诊断困境的病例报告
Dig Dis Sci. 2006 Jul;51(7):1294-6. doi: 10.1007/s10620-006-8052-5.
2
[Groove pancreatitis. Diagnostic impact of dynamic radiology].[沟状胰腺炎。动态放射学的诊断影响]
Presse Med. 2003 Nov 8;32(36):1705-6.
3
A special form of segmental pancreatitis: "groove pancreatitis".节段性胰腺炎的一种特殊形式:“沟部胰腺炎”。
“十二指肠旁胰腺炎”的临床放射学评估:胰腺外的胰腺炎!
Indian J Radiol Imaging. 2015 Jul-Sep;25(3):303-14. doi: 10.4103/0971-3026.161467.
Hepatogastroenterology. 1982 Oct;29(5):198-208.