Mazur-Melewska Katarzyna, Jończyk-Potoczna Katarzyna, Mania Anna, Kemnitz Paweł, Szydłowski Jarosław, Służewski Wojciech, Figlerowicz Magdalena
Department of Infectious Diseases and Child Neurology Karol Marcinkowski University of Medical Sciences, Szpitalna Street 27/33, 60-578 Poznań, Poland.
Pediatric Radiology Department Chair of Radiology Karol Marcinkowski University of Medical Sciences, Szpitalna Street 27/33, 60-578 Poznań, Poland.
Infect Agent Cancer. 2015 Sep 14;10:30. doi: 10.1186/s13027-015-0025-x. eCollection 2015.
Cat-scratch disease (CSD) is a common infection in children; however, the wide spectrum of its clinical picture may lead to delayed diagnosis. An unusual presentation of CSD includes in the differential diagnosis malignant diseases, Epstein-Barr and cytomegalovirus infections, tuberculosis, and mycobacterioses. The diagnostic procedure is difficult, and it is important to consider CSD as the etiology of untypical lesion.
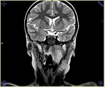
We present the analysis of 22 immunocompetent children treated with the clinical diagnosis of CSD in our hospital. Their ages were 2 to 16 years (mean 9.15 ± 2.2 years). Four of them presented classical papulas at admission time. Asymmetric, local lymphadenopathy was present in 16 patients. Five children, who presented an untypical course of CSD mimicking the oncological process, were analysed carefully. There were 3 patients with skull osteomyelitis, 1 with inflammation of the parotid gland, and 1 with an extra peripharyngeal mass. The diagnosis in these children was based on epidemiological, radiological, serological, and histological factors.
About 25 % of children with bartonellosis present an untypical spectrum of symptoms, including the lack of documented cat contact, primary lesions, or peripheral lymphadenopathy. Radiological methods like USG, CT, MRI present the unspecific masses, but they are not enough to distinguish the Bartonella inflammatory and oncological process. The final diagnosis was based on a histological method with additional polymerase chain reaction test.
CSD should be considered in differential diagnosis of any patient with untypical lesions located on the head, neck, and upper extremities.
猫抓病(CSD)是儿童常见的感染性疾病;然而,其临床表现多样可能导致诊断延迟。CSD的不寻常表现包括在鉴别诊断中需考虑恶性疾病、爱泼斯坦 - 巴尔病毒和巨细胞病毒感染、结核病以及分枝杆菌病。诊断过程困难,将CSD视为非典型病变的病因很重要。
我们对我院临床诊断为CSD的22名免疫功能正常的儿童进行了分析。他们的年龄为2至16岁(平均9.15±2.2岁)。其中4人入院时出现典型丘疹。16例患者存在不对称的局部淋巴结肿大。对5例表现为类似肿瘤过程的CSD非典型病程的儿童进行了仔细分析。有3例颅骨骨髓炎患者,1例腮腺炎症患者,1例咽周肿物患者。这些儿童的诊断基于流行病学、放射学、血清学和组织学因素。
约25%的巴尔通体病患儿表现出不典型的症状谱,包括无明确的猫接触史、原发性皮损或外周淋巴结肿大。超声、CT、MRI等放射学方法显示非特异性肿块,但不足以区分巴尔通体感染性炎症和肿瘤性病变。最终诊断基于组织学方法并辅以聚合酶链反应检测。
对于任何头、颈和上肢出现非典型病变的患者,鉴别诊断时均应考虑CSD。