Johnson Jordan S, Lopez James S, Kavanaugh Arthur Scott, Liang Chanping, Mata Douglas A
Department of Ophthalmology, Louisiana State University Health Sciences Center, Shreveport, La, Boston, Mass., USA.
Department of Pathology, Brigham and Women's Hospital, Harvard Medical School, Boston, Mass., USA.
Case Rep Ophthalmol. 2015 Sep 15;6(3):321-7. doi: 10.1159/000439375. eCollection 2015 Sep-Dec.
Precursor T-cell acute lymphoblastic leukemia (pre-T-ALL) may cause ocular pathologies such as cotton-wool spots, retinal hemorrhage, and less commonly, retinal detachment or leukemic infiltration of the retina itself. However, these findings are typically accompanied by the pathognomonic hematological signs of acute leukemia.
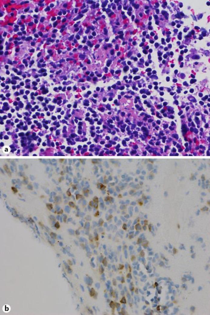
In this case report and review of the literature, we describe a particularly unusual case of a 25-year-old man who presented to our hospital with bilateral exudative retinal detachments associated with posterior pole thickening without any hematological or neurological findings. The patient, who had a history of previously treated pre-T-ALL in complete remission, was found to have leukemia cell infiltration on retinal biopsy.
Our case underscores the fact that the ophthalmologist may be the first provider to detect the relapse of previously treated leukemia, and that ophthalmic evaluation is critical for detecting malignant ocular infiltrates.
前体T细胞急性淋巴细胞白血病(pre-T-ALL)可能导致眼部病变,如棉絮斑、视网膜出血,较少见的有视网膜脱离或视网膜本身的白血病浸润。然而,这些表现通常伴有急性白血病的特征性血液学体征。
在本病例报告及文献回顾中,我们描述了一例特别罕见的病例,一名25岁男性因双侧渗出性视网膜脱离伴后极部增厚就诊于我院,无任何血液学或神经系统表现。该患者既往有pre-T-ALL病史,曾接受治疗且完全缓解,视网膜活检发现有白血病细胞浸润。
我们的病例强调了眼科医生可能是首个发现既往治疗过的白血病复发的医生,并且眼科评估对于检测恶性眼部浸润至关重要。