• 文献检索
  • 文档翻译
  • 深度研究
  • 学术资讯
  • Suppr Zotero 插件Zotero 插件
  • 邀请有礼
  • 套餐&价格
  • 历史记录
应用&插件
Suppr Zotero 插件Zotero 插件浏览器插件Mac 客户端Windows 客户端微信小程序
定价
高级版会员购买积分包购买API积分包
服务
文献检索文档翻译深度研究API 文档MCP 服务
关于我们
关于 Suppr公司介绍联系我们用户协议隐私条款
关注我们

Suppr 超能文献

核心技术专利:CN118964589B侵权必究
粤ICP备2023148730 号-1Suppr @ 2026

文献检索

告别复杂PubMed语法,用中文像聊天一样搜索,搜遍4000万医学文献。AI智能推荐,让科研检索更轻松。

立即免费搜索

文件翻译

保留排版,准确专业,支持PDF/Word/PPT等文件格式,支持 12+语言互译。

免费翻译文档

深度研究

AI帮你快速写综述,25分钟生成高质量综述,智能提取关键信息,辅助科研写作。

立即免费体验

KP1:一种新型单克隆抗体,可在常规处理的组织切片中检测单核细胞/巨噬细胞相关抗原。

KP1: a new monoclonal antibody that detects a monocyte/macrophage associated antigen in routinely processed tissue sections.

作者信息

Pulford K A, Rigney E M, Micklem K J, Jones M, Stross W P, Gatter K C, Mason D Y

机构信息

Nuffield Department of Pathology, John Radcliffe Hospital, Oxford.

出版信息

J Clin Pathol. 1989 Apr;42(4):414-21. doi: 10.1136/jcp.42.4.414.

DOI:10.1136/jcp.42.4.414
PMID:2654191
原文链接:https://pmc.ncbi.nlm.nih.gov/articles/PMC1141915/
Abstract

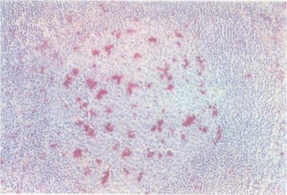
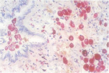
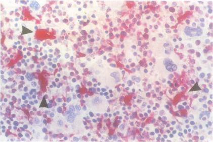
A new monoclonal antibody, KP1, raised against a lysosomal fraction of human lung macrophages, recognises a fixation-resistant epitope in a wide variety of tissue macrophages (such as Kupffer cells germinal centre, splenic, and lamina propria macrophages), and in granulocyte precursors. Its broad reactivity with cells of the mononuclear phagocytic lineage was established by testing on routinely processed samples of normal and reactive lymphoid tissues. Interdigitating reticulum cells were unstained or showed limited cytoplasmic staining while Langerhans' cells and follicular dendritic reticulum cells were unreactive. KP1 recognises a molecule of about 110 kilodaltons in macrophage-rich human tissue when tested by either immunoprecipitation or Western blotting (although the latter procedure also shows two additional components with molecular weights of 70 and 40 kilodaltons). KP1 should be of considerable value for studying disorders of the monocyte/macrophage system, including both reactive and neoplastic states (such as true histiocytic proliferations).

摘要

一种新的单克隆抗体KP1,是针对人肺巨噬细胞的溶酶体部分产生的,它能识别多种组织巨噬细胞(如库普弗细胞、生发中心、脾和固有层巨噬细胞)以及粒细胞前体中一种抗固定表位。通过对正常和反应性淋巴组织的常规处理样本进行检测,确定了它与单核吞噬细胞系细胞的广泛反应性。交错突网状细胞不着色或仅显示有限的细胞质染色,而朗格汉斯细胞和滤泡树突状网状细胞无反应。当通过免疫沉淀或蛋白质印迹法检测时,KP1在富含巨噬细胞的人体组织中识别出一种约110千道尔顿的分子(尽管后者方法还显示出另外两种分子量分别为70和40千道尔顿的成分)。KP1对于研究单核细胞/巨噬细胞系统的疾病,包括反应性和肿瘤性状态(如真性组织细胞增生症)具有重要价值。

https://cdn.ncbi.nlm.nih.gov/pmc/blobs/9d89/1141915/8909fa411b5f/jclinpath00348-0083-c.jpg
https://cdn.ncbi.nlm.nih.gov/pmc/blobs/9d89/1141915/4863df2ed504/jclinpath00348-0080-a.jpg
https://cdn.ncbi.nlm.nih.gov/pmc/blobs/9d89/1141915/eb27869a1d6c/jclinpath00348-0080-b.jpg
https://cdn.ncbi.nlm.nih.gov/pmc/blobs/9d89/1141915/e1fdaf60c5cf/jclinpath00348-0082-a.jpg
https://cdn.ncbi.nlm.nih.gov/pmc/blobs/9d89/1141915/ab1fcea6904f/jclinpath00348-0082-b.jpg
https://cdn.ncbi.nlm.nih.gov/pmc/blobs/9d89/1141915/e243a8eb2964/jclinpath00348-0082-c.jpg
https://cdn.ncbi.nlm.nih.gov/pmc/blobs/9d89/1141915/d71652eec60c/jclinpath00348-0082-d.jpg
https://cdn.ncbi.nlm.nih.gov/pmc/blobs/9d89/1141915/fef7101181f4/jclinpath00348-0083-a.jpg
https://cdn.ncbi.nlm.nih.gov/pmc/blobs/9d89/1141915/ac4425692d54/jclinpath00348-0083-b.jpg
https://cdn.ncbi.nlm.nih.gov/pmc/blobs/9d89/1141915/8909fa411b5f/jclinpath00348-0083-c.jpg
https://cdn.ncbi.nlm.nih.gov/pmc/blobs/9d89/1141915/4863df2ed504/jclinpath00348-0080-a.jpg
https://cdn.ncbi.nlm.nih.gov/pmc/blobs/9d89/1141915/eb27869a1d6c/jclinpath00348-0080-b.jpg
https://cdn.ncbi.nlm.nih.gov/pmc/blobs/9d89/1141915/e1fdaf60c5cf/jclinpath00348-0082-a.jpg
https://cdn.ncbi.nlm.nih.gov/pmc/blobs/9d89/1141915/ab1fcea6904f/jclinpath00348-0082-b.jpg
https://cdn.ncbi.nlm.nih.gov/pmc/blobs/9d89/1141915/e243a8eb2964/jclinpath00348-0082-c.jpg
https://cdn.ncbi.nlm.nih.gov/pmc/blobs/9d89/1141915/d71652eec60c/jclinpath00348-0082-d.jpg
https://cdn.ncbi.nlm.nih.gov/pmc/blobs/9d89/1141915/fef7101181f4/jclinpath00348-0083-a.jpg
https://cdn.ncbi.nlm.nih.gov/pmc/blobs/9d89/1141915/ac4425692d54/jclinpath00348-0083-b.jpg
https://cdn.ncbi.nlm.nih.gov/pmc/blobs/9d89/1141915/8909fa411b5f/jclinpath00348-0083-c.jpg

相似文献

1
KP1: a new monoclonal antibody that detects a monocyte/macrophage associated antigen in routinely processed tissue sections.KP1:一种新型单克隆抗体,可在常规处理的组织切片中检测单核细胞/巨噬细胞相关抗原。
J Clin Pathol. 1989 Apr;42(4):414-21. doi: 10.1136/jcp.42.4.414.
2
Ki-M6 immunostaining in routinely processed sections of reactive and neoplastic human lymphoid tissue.Ki-M6免疫染色在反应性和肿瘤性人类淋巴组织常规处理切片中的应用
Am J Clin Pathol. 1990 Dec;94(6):734-41. doi: 10.1093/ajcp/94.6.734.
3
Diagnosis of myelomonocytic and macrophage neoplasms in routinely processed tissue biopsies with monoclonal antibody KP1.利用单克隆抗体KP1在常规处理的组织活检中诊断骨髓单核细胞和巨噬细胞肿瘤。
Am J Pathol. 1989 Dec;135(6):1089-95.
4
A new monoclonal antibody (3A5) that recognises a fixative resistant epitope on tissue macrophages and monocytes.一种新的单克隆抗体(3A5),它能识别组织巨噬细胞和单核细胞上的抗固定剂表位。
J Clin Pathol. 1994 Mar;47(3):248-52. doi: 10.1136/jcp.47.3.248.
5
Identification of tissue histiocytes on paraffin sections by a new monoclonal antibody.用一种新型单克隆抗体在石蜡切片上鉴定组织组织细胞
J Histochem Cytochem. 1987 Nov;35(11):1217-26. doi: 10.1177/35.11.3309045.
6
A monoclonal antibody, RbM2, specific for a lysosomal membrane antigen of rabbit monocyte/macrophages.一种单克隆抗体RbM2,对兔单核细胞/巨噬细胞的溶酶体膜抗原有特异性。
Immunology. 1990 Aug;70(4):513-9.
7
Membrane antigens of human cells of the monocyte/macrophage lineage studied with monoclonal antibodies.用单克隆抗体研究单核细胞/巨噬细胞系人类细胞的膜抗原。
Pathology. 1983 Jan;15(1):45-52. doi: 10.3109/00313028309061401.
8
D11, a novel monoclonal antibody specific for human mature macrophages and peripheral blood monocytes.
Immunol Lett. 1992 Jun;33(1):1-7. doi: 10.1016/0165-2478(92)90085-3.
9
Diversity of the human monocyte/macrophage system as detected by monoclonal antibodies.通过单克隆抗体检测到的人单核细胞/巨噬细胞系统的多样性
J Leukoc Biol. 1988 Jan;43(1):41-50. doi: 10.1002/jlb.43.1.41.
10
PG-M1: a new monoclonal antibody directed against a fixative-resistant epitope on the macrophage-restricted form of the CD68 molecule.PG-M1:一种针对CD68分子巨噬细胞限制性形式上抗固定剂表位的新型单克隆抗体。
Am J Pathol. 1993 May;142(5):1359-72.

引用本文的文献

1
Surface Markers and Chemokines/Cytokines of Tumor-Associated Macrophages in Osteosarcoma and Other Carcinoma Microenviornments-Contradictions and Comparisons.骨肉瘤及其他癌微环境中肿瘤相关巨噬细胞的表面标志物与趋化因子/细胞因子——矛盾与比较
Cancers (Basel). 2024 Aug 8;16(16):2801. doi: 10.3390/cancers16162801.
2
Diagnosis of malignant lymphoma - An overview.恶性淋巴瘤的诊断——综述。
J Oral Maxillofac Pathol. 2020 May-Aug;24(2):195-199. doi: 10.4103/0973-029X.294653. Epub 2020 Sep 9.
3
Identification of a novel monocytic phenotype in Classic Hodgkin Lymphoma tumor microenvironment.

本文引用的文献

1
Increased expression of C3b receptors on polymorphonuclear leukocytes induced by chemotactic factors and by purification procedures.趋化因子和纯化程序诱导多形核白细胞上C3b受体表达增加。
J Immunol. 1983 Jan;130(1):370-5.
2
Dendritic cells in the immune response: characteristics and recommended nomenclature (A report from the Reticuloendothelial Society Committee on Nomenclature).免疫反应中的树突状细胞:特征与推荐命名法(网状内皮细胞学会命名委员会报告)
J Reticuloendothel Soc. 1982 May;31(5):371-80.
3
Monocyte/macrophage-specific monoclonal antibody Ki-M1 recognizes interdigitating reticulum cells.
在经典霍奇金淋巴瘤肿瘤微环境中鉴定一种新型单核细胞表型。
PLoS One. 2019 Nov 12;14(11):e0224621. doi: 10.1371/journal.pone.0224621. eCollection 2019.
4
Diet-induced Generalized Periodontitis in Lewis Rats.饮食诱导的Lewis大鼠广泛性牙周炎
Comp Med. 2019 Oct 1;69(5):384-400. doi: 10.30802/AALAS-CM-18-000113.
5
Macrophages and Cardiovascular Health.巨噬细胞与心血管健康。
Physiol Rev. 2018 Oct 1;98(4):2523-2569. doi: 10.1152/physrev.00068.2017.
6
Immunohistochemistry in Dermatopathology and its Relevance in Clinical Practice.皮肤病理学中的免疫组织化学及其在临床实践中的相关性。
Indian Dermatol Online J. 2018 Jul-Aug;9(4):234-244. doi: 10.4103/idoj.IDOJ_8_18.
7
Prognostic significance of CD68, CD163 and Folate receptor-β positive macrophages in hepatocellular carcinoma.CD68、CD163和叶酸受体-β阳性巨噬细胞在肝细胞癌中的预后意义
Exp Ther Med. 2018 May;15(5):4465-4476. doi: 10.3892/etm.2018.5959. Epub 2018 Mar 14.
8
Liver macrophage-associated inflammation correlates with SIV burden and is substantially reduced following cART.肝巨噬细胞相关炎症与 SIV 负荷相关,在 cART 后显著减少。
PLoS Pathog. 2018 Feb 21;14(2):e1006871. doi: 10.1371/journal.ppat.1006871. eCollection 2018 Feb.
9
Brain large artery inflammation associated with HIV and large artery remodeling.与HIV相关的脑大动脉炎症和大动脉重塑。
AIDS. 2016 Jan 28;30(3):415-23. doi: 10.1097/QAD.0000000000000927.
10
Inflammation in the pathogenesis of lyme neuroborreliosis.莱姆病神经螺旋体病发病机制中的炎症
Am J Pathol. 2015 May;185(5):1344-60. doi: 10.1016/j.ajpath.2015.01.024. Epub 2015 Apr 16.
单核细胞/巨噬细胞特异性单克隆抗体Ki-M1可识别交错突网状细胞。
Am J Pathol. 1984 Dec;117(3):441-50.
4
Monoclonal antibodies specific for human monocytes, granulocytes and endothelium.对人类单核细胞、粒细胞和内皮细胞具有特异性的单克隆抗体。
Immunology. 1984 Dec;53(4):753-67.
5
Differential immunohistochemical resolution of the human mononuclear phagocyte system.人类单核吞噬细胞系统的免疫组织化学鉴别分辨率
Cell Immunol. 1983 Nov;82(1):174-83. doi: 10.1016/0008-8749(83)90151-x.
6
Immunoenzymatic labeling of monoclonal antibodies using immune complexes of alkaline phosphatase and monoclonal anti-alkaline phosphatase (APAAP complexes).使用碱性磷酸酶与单克隆抗碱性磷酸酶的免疫复合物(碱性磷酸酶抗碱性磷酸酶复合物,APAAP复合物)对单克隆抗体进行免疫酶标记。
J Histochem Cytochem. 1984 Feb;32(2):219-29. doi: 10.1177/32.2.6198355.
7
Specific antimononuclear phagocyte monoclonal antibodies. Application to the purification of dendritic cells and the tissue localization of macrophages.特异性抗单核吞噬细胞单克隆抗体。在树突状细胞纯化及巨噬细胞组织定位中的应用。
J Exp Med. 1983 Jul 1;158(1):126-45. doi: 10.1084/jem.158.1.126.
8
Immunolocalization of keratin polypeptides in human epidermis using monoclonal antibodies.使用单克隆抗体对人表皮中的角蛋白多肽进行免疫定位。
J Cell Biol. 1982 Nov;95(2 Pt 1):580-8. doi: 10.1083/jcb.95.2.580.
9
Dendritic cells: features and functions.树突状细胞:特征与功能
Immunol Rev. 1980;53:127-47. doi: 10.1111/j.1600-065x.1980.tb01042.x.
10
Cleavage of structural proteins during the assembly of the head of bacteriophage T4.在噬菌体T4头部组装过程中结构蛋白的切割
Nature. 1970 Aug 15;227(5259):680-5. doi: 10.1038/227680a0.