Gothner Martin, Dudda Marcel, Kruppa Christiane, Schildhauer Thomas A, Swol Justyna
Department of General and Trauma Surgery, BG-University Hospital Bergmannsheil , Bochum, Germany.
Orthop Rev (Pavia). 2015 Sep 28;7(3):5825. doi: 10.4081/or.2015.5825.
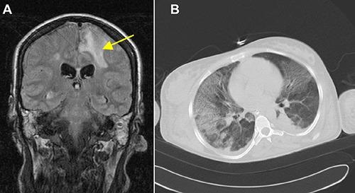
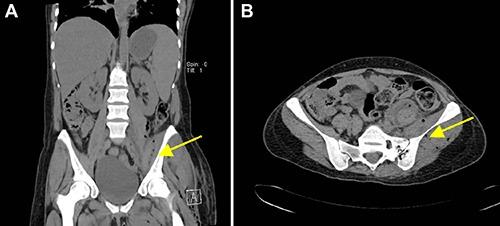
Necrotizing soft tissue infection of an extremity is a rare but life-threatening disease. The disease is an infection that involves the soft tissue layer and is characterized by rapidly spreading inflammation (especially of the fascial planes and the surrounding tissues) with a high mortality. Early diagnosis is essential for the outcome of the patients. Radical surgical debridement is the treatment of choice. The predisposing factors are immunosuppression, diabetes mellitus and drug abuse. This report presents a case of necrotizing fasciitis in the thigh, following an abscess of the sacro-iliac joint, as a rare complication in a young, immunosuppressed woman. The patient's history revealed intravenous drug abuse and hepatitis C. After immediate diagnosis by magnetic resonance imaging, radical surgical debridement was required and performed. Prior to soft tissue coverage with a split skin graft, five additional sequential debridements were necessary. During her hospital stay, the patient experienced further cerebral and pulmonary septic embolisms and an infection of the elbow. Six months after admission, the patient was discharged in good condition to a rehabilitation center. Necrotizing fasciitis is a life-threatening complication following an abscess of the sacro-iliac joint. Physicians must be vigilant to inflammatory signs and pain in immunosuppressed patients. An abscess of the sacro-iliac joint is rare, but complications of an untreated abscess can be fatal in these patients.
肢体坏死性软组织感染是一种罕见但危及生命的疾病。该疾病是一种累及软组织层的感染,其特征为炎症迅速扩散(尤其是筋膜平面和周围组织)且死亡率高。早期诊断对患者的预后至关重要。根治性手术清创是首选治疗方法。诱发因素包括免疫抑制、糖尿病和药物滥用。本报告介绍了一例年轻免疫抑制女性患者,在骶髂关节脓肿后发生大腿坏死性筋膜炎,这是一种罕见的并发症。患者病史显示有静脉药物滥用和丙型肝炎。经磁共振成像立即诊断后,需要并进行了根治性手术清创。在用分层皮片进行软组织覆盖之前,还需要进行五次连续清创。在住院期间,患者还出现了进一步的脑和肺脓毒性栓塞以及肘部感染。入院六个月后,患者状况良好地出院前往康复中心。骶髂关节脓肿后发生坏死性筋膜炎是一种危及生命的并发症。医生必须对免疫抑制患者的炎症体征和疼痛保持警惕。骶髂关节脓肿罕见,但未经治疗的脓肿并发症在这些患者中可能是致命的。