Suppr超能文献

以外阴转移性蕈样溃疡性肿物为表现特征的子宫颈癌:1例罕见病例报告

Metastatic Fungating Ulcerative Growth on Vulva as a Presenting Feature of Carcinoma Cervix: A Rare Case Report.

作者信息

Naswa Smriti, Marfatia Yogesh S

机构信息

Department of Dermatology and Cosmetic Dermatology, Fortis Hospital (Mulund), Mumbai, Maharashtra, India.

Department of Skin-V.D., Baroda Medical College, Vadodara, Gujarat, India.

出版信息

Indian J Dermatol. 2015 Nov-Dec;60(6):600-2. doi: 10.4103/0019-5154.169134.

Abstract

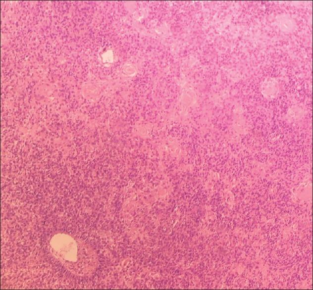
Carcinoma of the cervix is the second to fourth most common malignancy in women. It metastasizes most often to the lungs, bones, and liver. Skin involvement originating from cervical cancer is rare, even in the terminal stages of the disease. Cutaneous metastasis of cervical cancer usually presents as cutaneous nodules, papules/plaques, maculopapular rash, and diffuse inflammatory rash. We report a rare case (only the second reported case to the best of our knowledge) of a 50-year-old woman with cutaneous metastasis in form of fungating ulcerative growth on mons pubis as presenting feature of carcinoma cervix.

摘要

宫颈癌是女性中第二至第四常见的恶性肿瘤。它最常转移至肺、骨和肝脏。即使在疾病晚期,宫颈癌累及皮肤也很罕见。宫颈癌的皮肤转移通常表现为皮肤结节、丘疹/斑块、斑丘疹和弥漫性炎性皮疹。我们报告了一例罕见病例(据我们所知仅为第二例报告病例),一名50岁女性,以耻骨上蕈样溃疡性生长形式的皮肤转移作为宫颈癌的首发表现。

https://cdn.ncbi.nlm.nih.gov/pmc/blobs/e7ec/4681201/5d3411003ec9/IJD-60-600-g001.jpg

文献AI研究员

20分钟写一篇综述,助力文献阅读效率提升50倍。

立即体验

用中文搜PubMed

大模型驱动的PubMed中文搜索引擎

马上搜索

文档翻译

学术文献翻译模型,支持多种主流文档格式。

立即体验