Suppr超能文献

安非他酮的一种罕见副作用:一例急性泛发性脓疱性皮病

An Uncommon Side Effect of Bupropion: A Case of Acute Generalized Exanthematous Pustulosis.

作者信息

Tak Hasan, Koçak Cengiz, Sarıcı Gülben, Dizen Namdar Nazlı, Kıdır Mehtap

机构信息

Department of Dermatology, Faculty of Medicine, Dumlupinar University, 43100 Kutahya, Turkey.

Department of Pathology, Faculty of Medicine, Dumlupinar University, 43100 Kutahya, Turkey.

出版信息

Case Rep Dermatol Med. 2015;2015:421765. doi: 10.1155/2015/421765. Epub 2015 Nov 24.

Abstract

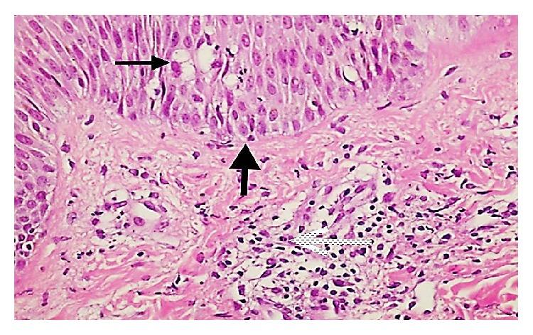
Acute generalized exanthematous pustulosis (AGEP) is a rare inflammatory dermatosis characterized by multiple nonfollicular pustules that occur on erythematous skin. Despite its similarity to pustular psoriasis and association with fever and leukocytosis, AGEP typically heals quickly. Etiologically, drugs and viruses have been suspected in most cases. Here, we present a case of AGEP, in a woman, that developed 1 day after starting bupropion for smoking cessation, as a rare side effect of the treatment.

摘要

急性泛发性发疹性脓疱病(AGEP)是一种罕见的炎症性皮肤病,其特征为在红斑皮肤上出现多个非毛囊性脓疱。尽管它与脓疱型银屑病相似且伴有发热和白细胞增多,但AGEP通常愈合迅速。从病因学角度来看,大多数病例怀疑与药物和病毒有关。在此,我们报告一例AGEP病例,患者为一名女性,在开始使用安非他酮戒烟1天后发病,这是该治疗罕见的副作用。

https://cdn.ncbi.nlm.nih.gov/pmc/blobs/d00f/4672104/03fd6f52f027/CRIDM2015-421765.001.jpg

文献AI研究员

20分钟写一篇综述,助力文献阅读效率提升50倍。

立即体验

用中文搜PubMed

大模型驱动的PubMed中文搜索引擎

马上搜索

文档翻译

学术文献翻译模型,支持多种主流文档格式。

立即体验