• 文献检索
  • 文档翻译
  • 深度研究
  • 学术资讯
  • Suppr Zotero 插件Zotero 插件
  • 邀请有礼
  • 套餐&价格
  • 历史记录
应用&插件
Suppr Zotero 插件Zotero 插件浏览器插件Mac 客户端Windows 客户端微信小程序
定价
高级版会员购买积分包购买API积分包
服务
文献检索文档翻译深度研究API 文档MCP 服务
关于我们
关于 Suppr公司介绍联系我们用户协议隐私条款
关注我们

Suppr 超能文献

核心技术专利:CN118964589B侵权必究
粤ICP备2023148730 号-1Suppr @ 2026

文献检索

告别复杂PubMed语法,用中文像聊天一样搜索,搜遍4000万医学文献。AI智能推荐,让科研检索更轻松。

立即免费搜索

文件翻译

保留排版,准确专业,支持PDF/Word/PPT等文件格式,支持 12+语言互译。

免费翻译文档

深度研究

AI帮你快速写综述,25分钟生成高质量综述,智能提取关键信息,辅助科研写作。

立即免费体验

胰蛋白酶、胃蛋白酶和糜蛋白酶的浓度及反应时间对猪胎盘水解效率的影响

Effects of Concentration and Reaction Time of Trypsin, Pepsin, and Chymotrypsin on the Hydrolysis Efficiency of Porcine Placenta.

作者信息

Jung Kyung-Hun, Choi Ye-Chul, Chun Ji-Yeon, Min Sang-Gi, Hong Geun-Pyo

机构信息

Department of Bio-Industrial Technologies, Konkuk University, Seoul 143-701, Korea.

Department of Food Bioengineering, Jeju National University, Jeju 690-756, Korea.

出版信息

Korean J Food Sci Anim Resour. 2014;34(2):151-7. doi: 10.5851/kosfa.2014.34.2.151. Epub 2014 Apr 30.

DOI:10.5851/kosfa.2014.34.2.151
PMID:26760932
原文链接:https://pmc.ncbi.nlm.nih.gov/articles/PMC4597853/
Abstract

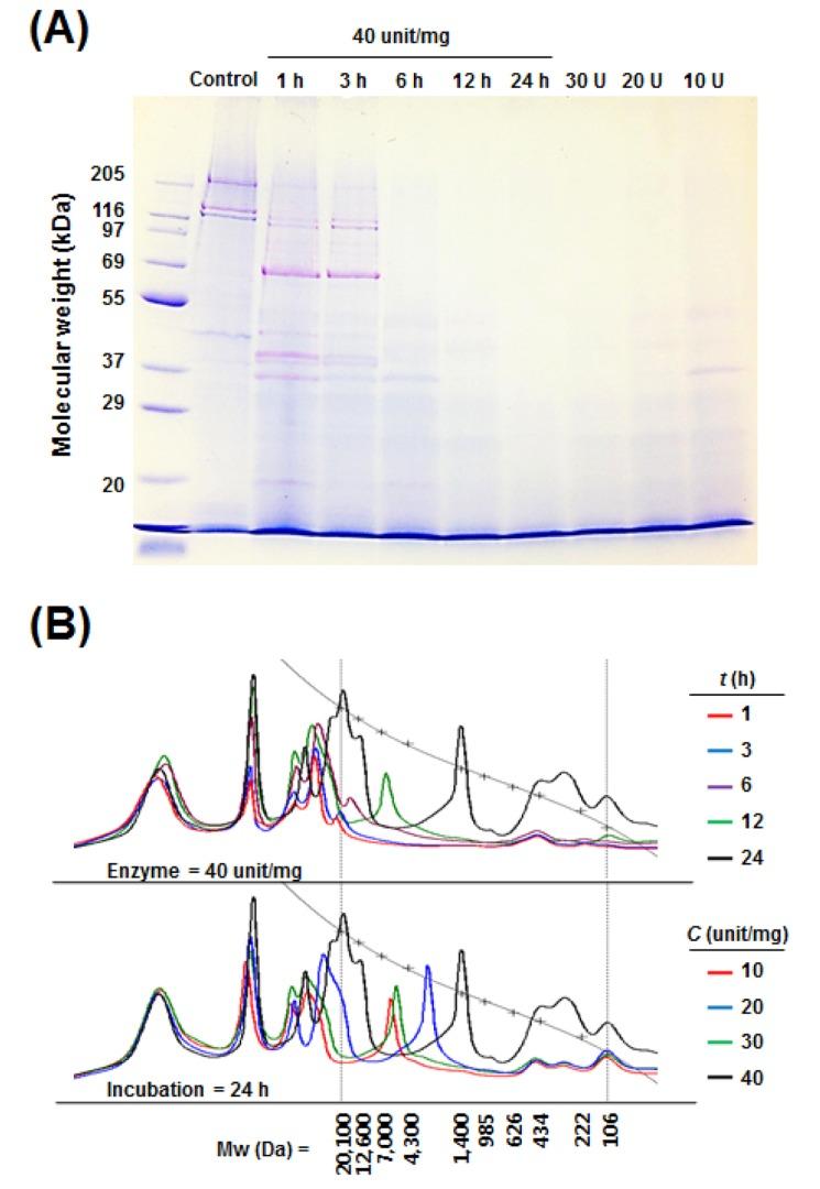
This study investigated the effects of three proteases (trypsin, pepsin and chymotrypsin) on the hydrolysis efficiency of porcine placenta and the molecular weight (Mw) distributions of the placental hydrolysates. Because placenta was made up of insoluble collagen, the placenta was gelatinized by applying thermal treatment at 90 ℃ for 1 h and used as the sample. The placental hydrolyzing activities of the enzymes at varying concentrations and incubation times were determined by sodium dodecyl sulfate polyacrylamide gel electrophoresis (SDS-PAGE) and gel permeation chromatography (GPC). Based on the SDS-PAGE, the best placental hydrolysis efficiency was observed in trypsin treatments where all peptide bands disappeared after 1 h of incubation as compared to 6 h of chymotrypsin. Pepsin hardly hydrolyzed the placenta as compared to the other two enzymes. The Mw distribution revealed that the trypsin produced placental peptides with Mw of 106 and 500 Da. Peptides produced by chymotrypsin exhibited broad ranges of Mw distribution (1-20 kDa), while the pepsin treatment showed Mw greater than 7 kDa. For comparisons of pre-treatments, the subcritical water processing (37.5 MPa and 200 ℃ of raw placenta improved the efficiency of tryptic digestions to a greater level than that of a preheating treatment (90 ℃ for 1 h). Consequently, subcritical water processing followed by enzymatic digestions has the potential of an advanced collagen hydrolysis technique.

摘要

本研究考察了三种蛋白酶(胰蛋白酶、胃蛋白酶和糜蛋白酶)对猪胎盘水解效率及胎盘水解产物分子量(Mw)分布的影响。由于胎盘由不溶性胶原蛋白组成,因此将胎盘在90℃热处理1小时使其胶化,并用作样品。通过十二烷基硫酸钠聚丙烯酰胺凝胶电泳(SDS-PAGE)和凝胶渗透色谱法(GPC)测定不同浓度和孵育时间下酶的胎盘水解活性。基于SDS-PAGE,在胰蛋白酶处理中观察到最佳的胎盘水解效率,与糜蛋白酶处理6小时相比,孵育1小时后所有肽带均消失。与其他两种酶相比,胃蛋白酶几乎不水解胎盘。Mw分布显示,胰蛋白酶产生的胎盘肽Mw为106和500 Da。糜蛋白酶产生的肽表现出较宽的Mw分布范围(1-20 kDa),而胃蛋白酶处理显示Mw大于7 kDa。为了比较预处理方法,亚临界水处理(37.5 MPa和200℃)对生胎盘进行处理,与预热处理(90℃1小时)相比,能将胰蛋白酶消化效率提高到更高水平。因此,亚临界水处理后进行酶消化具有成为一种先进的胶原蛋白水解技术的潜力。

https://cdn.ncbi.nlm.nih.gov/pmc/blobs/6240/4597853/d0248f86554f/kosfa-34-151-f005.jpg
https://cdn.ncbi.nlm.nih.gov/pmc/blobs/6240/4597853/cda59e233de6/kosfa-34-151-f001.jpg
https://cdn.ncbi.nlm.nih.gov/pmc/blobs/6240/4597853/2d8330a771fb/kosfa-34-151-f002.jpg
https://cdn.ncbi.nlm.nih.gov/pmc/blobs/6240/4597853/59cb30d5b74b/kosfa-34-151-f003.jpg
https://cdn.ncbi.nlm.nih.gov/pmc/blobs/6240/4597853/8541754e0bf3/kosfa-34-151-f004.jpg
https://cdn.ncbi.nlm.nih.gov/pmc/blobs/6240/4597853/d0248f86554f/kosfa-34-151-f005.jpg
https://cdn.ncbi.nlm.nih.gov/pmc/blobs/6240/4597853/cda59e233de6/kosfa-34-151-f001.jpg
https://cdn.ncbi.nlm.nih.gov/pmc/blobs/6240/4597853/2d8330a771fb/kosfa-34-151-f002.jpg
https://cdn.ncbi.nlm.nih.gov/pmc/blobs/6240/4597853/59cb30d5b74b/kosfa-34-151-f003.jpg
https://cdn.ncbi.nlm.nih.gov/pmc/blobs/6240/4597853/8541754e0bf3/kosfa-34-151-f004.jpg
https://cdn.ncbi.nlm.nih.gov/pmc/blobs/6240/4597853/d0248f86554f/kosfa-34-151-f005.jpg

相似文献

1
Effects of Concentration and Reaction Time of Trypsin, Pepsin, and Chymotrypsin on the Hydrolysis Efficiency of Porcine Placenta.胰蛋白酶、胃蛋白酶和糜蛋白酶的浓度及反应时间对猪胎盘水解效率的影响
Korean J Food Sci Anim Resour. 2014;34(2):151-7. doi: 10.5851/kosfa.2014.34.2.151. Epub 2014 Apr 30.
2
Effect of High Pressure on the Porcine Placenral Hydrolyzing Activity of Pepsin, Trypsin and Chymotrypsin.高压对胃蛋白酶、胰蛋白酶和糜蛋白酶的猪胎盘水解活性的影响
Korean J Food Sci Anim Resour. 2014;34(1):14-9. doi: 10.5851/kosfa.2014.34.1.14. Epub 2014 Feb 28.
3
Peptic and tryptic hydrolysis of native and heated whey protein to reduce its antigenicity.对天然和加热的乳清蛋白进行胃蛋白酶和胰蛋白酶水解以降低其抗原性。
J Dairy Sci. 2007 Sep;90(9):4043-50. doi: 10.3168/jds.2007-0169.
4
Screening of whey protein isolate hydrolysates for their dual functionality: influence of heat pre-treatment and enzyme specificity.乳清蛋白分离物水解产物的双重功能筛选:热预处理和酶特异性的影响。
Food Chem. 2013 Feb 15;136(3-4):1435-43. doi: 10.1016/j.foodchem.2012.09.053. Epub 2012 Sep 23.
5
Enzymatic hydrolysis of ovomucoid and the functional properties of its hydrolysates.卵类粘蛋白的酶促水解及其水解产物的功能特性
Poult Sci. 2015 Sep;94(9):2280-7. doi: 10.3382/ps/pev196. Epub 2015 Jul 20.
6
Detection of trypsin- and chymotrypsin-like proteases using p-nitroanilide substrates after sodium dodecyl sulphate polyacrylamide gel electrophoresis.在十二烷基硫酸钠聚丙烯酰胺凝胶电泳后,使用对硝基苯胺底物检测胰蛋白酶样和糜蛋白酶样蛋白酶。
J Chromatogr. 1989 May 26;470(2):401-6. doi: 10.1016/s0021-9673(01)83568-8.
7
Enzymatic hydrolysis of ovalbumin and the functional properties of the hydrolysates.卵清蛋白的酶促水解及其水解产物的功能特性
Poult Sci. 2014 Oct;93(10):2678-86. doi: 10.3382/ps.2014-04155. Epub 2014 Aug 1.
8
[Electrophoretic analysis on the proteolytic decomposition of of FSH preparations].[促卵泡素制剂蛋白水解分解的电泳分析]
Dtsch Tierarztl Wochenschr. 1995 Oct;102(10):396-9.
9
[Proteolysis of the barley protein, hordein].[大麦蛋白醇溶蛋白的蛋白水解作用]
Vopr Pitan. 1984 Nov-Dec(6):61-4.
10
Reversed-phase high-performance liquid chromatography of peptides of porcine pepsin prepared by the use of various forms of immobilized alpha-chymotrypsin.使用各种固定化α-糜蛋白酶制备的猪胃蛋白酶肽段的反相高效液相色谱法。
J Chromatogr B Biomed Sci Appl. 2001 Mar 25;753(1):37-43. doi: 10.1016/s0378-4347(00)00432-1.

引用本文的文献

1
Current Advancements on Oral Protein and Peptide Drug Delivery Approaches to Bioavailability: Extensive Review on Patents.口服蛋白和肽类药物传递方法生物利用度的最新进展:专利广泛综述。
Recent Adv Drug Deliv Formul. 2024;18(4):227-246. doi: 10.2174/0126673878299775240719061653.
2
Porcine placenta hydrolysate as an alternate functional food ingredient: In vitro antioxidant and antibacterial assessments.猪胎盘水解物作为一种替代功能性食品成分:体外抗氧化和抗菌评估。
PLoS One. 2021 Oct 25;16(10):e0258445. doi: 10.1371/journal.pone.0258445. eCollection 2021.
3
Mimicking the Hierarchical Organization of Natural Collagen: Toward the Development of Ideal Scaffolding Material for Tissue Regeneration.

本文引用的文献

1
Effects of sizes and conformations of fish-scale collagen peptides on facial skin qualities and transdermal penetration efficiency.鱼鳞胶原蛋白肽的大小和构象对面部皮肤质量及透皮渗透效率的影响。
J Biomed Biotechnol. 2010;2010:757301. doi: 10.1155/2010/757301. Epub 2010 Jun 8.
2
Value-added subcritical water hydrolysate from rice bran and soybean meal.来自米糠和豆粕的增值亚临界水水解产物。
Bioresour Technol. 2008 Sep;99(14):6207-13. doi: 10.1016/j.biortech.2007.12.021. Epub 2008 Jan 24.
3
Does trypsin cut before proline?胰蛋白酶会在脯氨酸之前切割吗?
模仿天然胶原蛋白的层次结构:迈向开发用于组织再生的理想支架材料
Front Bioeng Biotechnol. 2021 Apr 27;9:644595. doi: 10.3389/fbioe.2021.644595. eCollection 2021.
4
Purification and Identification of Novel Antioxidant Peptides from Enzymatically Hydrolysed Pupae.从酶解蚕蛹中纯化及鉴定新型抗氧化肽
Molecules. 2021 Apr 29;26(9):2588. doi: 10.3390/molecules26092588.
5
An optical biosensor for the determination of cathepsin B as a cancer-associated enzyme using nanoporous anodic alumina modified with human serum albumin-thionine.一种光学生物传感器,用于使用修饰有人血清白蛋白-苏氨酸的纳米多孔阳极氧化铝测定组织蛋白酶 B 作为一种与癌症相关的酶。
Mikrochim Acta. 2020 Mar 13;187(4):230. doi: 10.1007/s00604-020-4188-9.
6
Amphiphilic dextran-vinyl laurate-based nanoparticles: formation, characterization, encapsulation, and cytotoxicity on human intestinal cell line.基于月桂酸乙烯酯-葡聚糖的两亲性纳米颗粒:在人肠道细胞系中的形成、表征、包封及细胞毒性
Prog Biomater. 2020 Jun;9(1-2):15-23. doi: 10.1007/s40204-020-00128-1. Epub 2020 Feb 18.
7
Anti-Oxidative and Anti-Aging Activities of Porcine By-Product Collagen Hydrolysates Produced by Commercial Proteases: Effect of Hydrolysis and Ultrafiltration.商业蛋白酶制备猪副产品胶原蛋白水解物的抗氧化和抗衰老活性:水解和超滤的影响。
Molecules. 2019 Mar 20;24(6):1104. doi: 10.3390/molecules24061104.
8
Pepsin-Assisted Transglutaminase Modification of 
Functional Properties of a Protein Isolate Obtained 
from Industrial Sunflower Meal.胃蛋白酶辅助转谷氨酰胺酶对从工业向日葵粕中获得的分离蛋白功能特性的修饰
Food Technol Biotechnol. 2017 Sep;55(3):420-428. doi: 10.17113/ftb.55.03.17.5061.
9
Improving nitrogen source utilization from defatted soybean meal for nisin production by enhancing proteolytic function of Lactococcus lactis F44.通过增强乳球菌 F44 的蛋白水解功能来提高脱脂豆粕中氮源的利用率以生产乳链菌肽。
Sci Rep. 2017 Jul 21;7(1):6189. doi: 10.1038/s41598-017-06537-w.
10
Effect of Soy Protein Hydrolysates Prepared by Subcritical Water Processing on the Physicochemical Properties of Pork Patty during Chilled Storage.亚临界水法制备的大豆蛋白水解物对冷藏猪肉饼理化性质的影响
Korean J Food Sci Anim Resour. 2015;35(4):557-63. doi: 10.5851/kosfa.2015.35.4.557. Epub 2015 Aug 31.
J Proteome Res. 2008 Jan;7(1):300-5. doi: 10.1021/pr0705035. Epub 2007 Dec 8.
4
Activity/stability of human pepsin: implications for reflux attributed laryngeal disease.人胃蛋白酶的活性/稳定性:对反流性喉病的影响
Laryngoscope. 2007 Jun;117(6):1036-9. doi: 10.1097/MLG.0b013e31804154c3.
5
Specificity of trypsin and chymotrypsin: loop-motion-controlled dynamic correlation as a determinant.胰蛋白酶和胰凝乳蛋白酶的特异性:以环运动控制的动态相关性作为决定因素。
Biophys J. 2005 Aug;89(2):1183-93. doi: 10.1529/biophysj.104.057158. Epub 2005 May 27.
6
Role of S'1 loop residues in the substrate specificities of pepsin A and chymosin.S1环残基在胃蛋白酶A和凝乳酶底物特异性中的作用。
Biochemistry. 2004 Dec 7;43(48):15122-30. doi: 10.1021/bi048440g.
7
Trypsin cleaves exclusively C-terminal to arginine and lysine residues.胰蛋白酶仅在精氨酸和赖氨酸残基的C末端进行切割。
Mol Cell Proteomics. 2004 Jun;3(6):608-14. doi: 10.1074/mcp.T400003-MCP200. Epub 2004 Mar 19.
8
An effect of calcium ions on the activity, heat stability, and structure of trypsin.钙离子对胰蛋白酶活性、热稳定性及结构的影响。
Biochemistry. 1970 Jul 7;9(14):2766-75. doi: 10.1021/bi00816a003.
9
Cleavage of structural proteins during the assembly of the head of bacteriophage T4.在噬菌体T4头部组装过程中结构蛋白的切割
Nature. 1970 Aug 15;227(5259):680-5. doi: 10.1038/227680a0.
10
The specificity and mechanism of pepsin action.胃蛋白酶作用的特异性及机制。
Adv Enzymol Relat Areas Mol Biol. 1970;33:401-43. doi: 10.1002/9780470122785.ch9.