Suppr超能文献

硬化性胆管炎:临床病理特征、影像学表现及鉴别诊断的系统方法

Sclerosing Cholangitis: Clinicopathologic Features, Imaging Spectrum, and Systemic Approach to Differential Diagnosis.

作者信息

Seo Nieun, Kim So Yeon, Lee Seung Soo, Byun Jae Ho, Kim Jin Hee, Kim Hyoung Jung, Lee Moon-Gyu

机构信息

Department of Radiology, Research Institute of Radiological Science, Severance Hospital, Yonsei University College of Medicine, Seoul 03722, Korea.

Department of Radiology and Research Institute of Radiology, Asan Medical Center, University of Ulsan College of Medicine, Seoul 05505, Korea.

出版信息

Korean J Radiol. 2016 Jan-Feb;17(1):25-38. doi: 10.3348/kjr.2016.17.1.25. Epub 2016 Jan 6.

Abstract

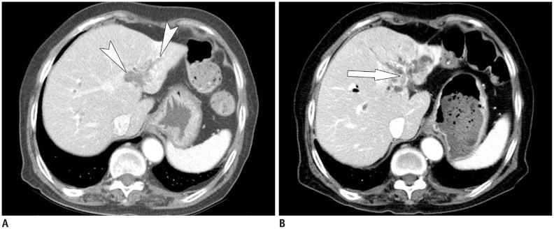
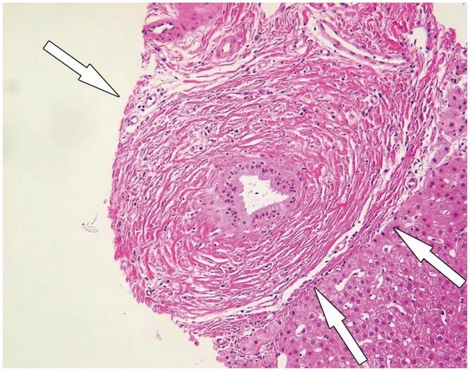
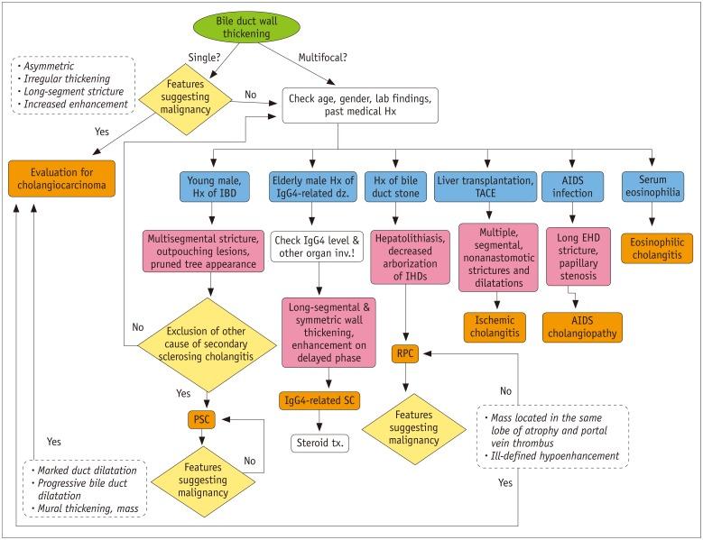
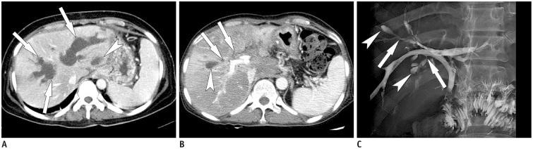
Sclerosing cholangitis is a spectrum of chronic progressive cholestatic liver disease characterized by inflammation, fibrosis, and stricture of the bile ducts, which can be classified as primary and secondary sclerosing cholangitis. Primary sclerosing cholangitis is a chronic progressive liver disease of unknown cause. On the other hand, secondary sclerosing cholangitis has identifiable causes that include immunoglobulin G4-related sclerosing disease, recurrent pyogenic cholangitis, ischemic cholangitis, acquired immunodeficiency syndrome-related cholangitis, and eosinophilic cholangitis. In this review, we suggest a systemic approach to the differential diagnosis of sclerosing cholangitis based on the clinical and laboratory findings, as well as the typical imaging features on computed tomography and magnetic resonance (MR) imaging with MR cholangiography. Familiarity with various etiologies of sclerosing cholangitis and awareness of their typical clinical and imaging findings are essential for an accurate diagnosis and appropriate management.

摘要

硬化性胆管炎是一种慢性进行性胆汁淤积性肝病,其特征为胆管炎症、纤维化和狭窄,可分为原发性硬化性胆管炎和继发性硬化性胆管炎。原发性硬化性胆管炎是一种病因不明的慢性进行性肝病。另一方面,继发性硬化性胆管炎有可识别的病因,包括免疫球蛋白G4相关硬化性疾病、复发性化脓性胆管炎、缺血性胆管炎、获得性免疫缺陷综合征相关胆管炎和嗜酸性胆管炎。在本综述中,我们基于临床和实验室检查结果以及计算机断层扫描和磁共振(MR)成像(包括MR胆管造影)的典型影像学特征,提出一种系统性的硬化性胆管炎鉴别诊断方法。熟悉硬化性胆管炎的各种病因并了解其典型的临床和影像学表现对于准确诊断和恰当处理至关重要。

https://cdn.ncbi.nlm.nih.gov/pmc/blobs/c642/4720808/1732481fbbe6/kjr-17-25-g001.jpg

文献AI研究员

20分钟写一篇综述,助力文献阅读效率提升50倍。

立即体验

用中文搜PubMed

大模型驱动的PubMed中文搜索引擎

马上搜索

文档翻译

学术文献翻译模型,支持多种主流文档格式。

立即体验