Suppr超能文献

急性外源性类脂性肺炎的研究。

Study of Acute Exogenous Lipoid Pneumonia.

作者信息

Lu Gen, Xie Yaping, Huang Li, Tong Zhijie, Xie Zhiwei, Yu Jialu, Wu Peiqiong

机构信息

Department of Respiratory Infection, Guangzhou Women and Children's Medical Center, Guangzhou Medical University, Guangzhou, 510120, China.

Department of Pediatric Intensive Care Unit, Guangzhou Women and Children's Medical Center, Guangzhou Medical University, Guangzhou, 510120, China.

出版信息

Indian J Pediatr. 2016 Aug;83(8):787-91. doi: 10.1007/s12098-015-2028-4. Epub 2016 Jan 29.

Abstract

OBJECTIVE

To analyze the clinical and imagenological characteristics of acute Exogenous lipoid pneumonia (ELP), explore its risk factors, and assess the potential role of multiple bronchoalveolar lavages (BALs) and steroid therapy in the treatment of children with acute ELP.

METHODS

Between May 2011 and July 2014, 33 pediatric patients with pneumonia caused by aspiration of oil-based substances were admitted to the Guangzhou Women and Children's Medical Center, Guangdong, China. Data on the demographics of these patients, as well as that on clinical presentations, imagenological characteristics, history of ingestion, laboratory observations, treatment protocol, response to therapy, BAL findings, and treatment outcomes were collected.

RESULTS

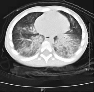
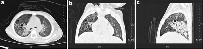
The study group consisted of 23 boys (69.7 %) and 10 girls (30.3 %), with ages ranging from 4 mo to 4 y. They were admitted to the hospital 2 h to 13 d after ingesting the oil-based substance. By the time of admission, most patients presented with respiratory distress and other symptoms, including tachypnea (n = 21), cough (n = 25), mild fever (n = 18), progressive dyspnea (n = 12), and pneumorrhagia (n = 5); six patients received mechanical ventilation because of complicated respiratory distress syndrome. The most common laboratory observations were leukocytosis (25 of 33, 75.8 %), neutrophilia (23 of 33, 69.7 %), and anemia (8 of 33, 24.2 %). Serum biochemical examination showed elevated sedimentation rates (24 of 33, 72.7 %), lactate dehydrogenase levels (18 of 33, 54.5 %), and C-reactive protein levels (17 of 33, 51.5 %). The most common finding on computed tomography (CT) scans was areas of consolidation. Within the follow-up duration of 2 wk to 6 mo, all patients with clinical symptoms of ELP experienced remission, and none died. The CT scans of most of the cases were normal by 1 to 3 mo, except for two patients who showed complete improvement 6 mo after treatment.

CONCLUSIONS

It was found that multiple BALs combined with steroid therapy result in significant improvement of clinical, radiologic, and laboratory parameters in children with acute ELP. Further, some traditional practices may predispose children to ELP, even in the absence of underlying risk factors. Finally, pneumorrhagia and acute respiratory distress syndrome may be the main complications of acute ELP in children.

摘要

目的

分析急性外源性类脂性肺炎(ELP)的临床及影像学特征,探讨其危险因素,并评估多次支气管肺泡灌洗(BAL)及类固醇治疗在儿童急性ELP治疗中的潜在作用。

方法

2011年5月至2014年7月,33例因吸入油性物质导致肺炎的儿科患者入住中国广东广州妇女儿童医疗中心。收集这些患者的人口统计学数据、临床表现、影像学特征、摄入史、实验室检查结果、治疗方案、治疗反应、BAL检查结果及治疗转归。

结果

研究组包括23例男孩(69.7%)和10例女孩(30.3%),年龄范围为4个月至4岁。他们在摄入油性物质后2小时至13天入院。入院时,大多数患者表现为呼吸窘迫及其他症状,包括呼吸急促(n = 21)、咳嗽(n = 25)、低热(n = 18)、进行性呼吸困难(n = 12)及肺出血(n = 5);6例患者因并发呼吸窘迫综合征接受机械通气。最常见的实验室检查结果为白细胞增多(33例中的25例,75.8%)、中性粒细胞增多(33例中的23例,69.7%)及贫血(33例中的8例,24.2%)。血清生化检查显示血沉升高(33例中的24例,72.7%)、乳酸脱氢酶水平升高(33例中的18例,54.5%)及C反应蛋白水平升高(33例中的17例,51.5%)。计算机断层扫描(CT)最常见的表现为实变区。在2周至6个月的随访期内,所有有ELP临床症状的患者症状均缓解,无死亡病例。大多数病例在1至3个月时CT扫描结果正常,2例患者在治疗6个月后完全恢复。

结论

发现多次BAL联合类固醇治疗可使儿童急性ELP的临床、影像学及实验室参数显著改善。此外,即使没有潜在危险因素,一些传统做法也可能使儿童易患ELP。最后,肺出血和急性呼吸窘迫综合征可能是儿童急性ELP的主要并发症。

https://cdn.ncbi.nlm.nih.gov/pmc/blobs/a688/7101684/e64755db2152/12098_2015_2028_Fig1_HTML.jpg

文献AI研究员

20分钟写一篇综述,助力文献阅读效率提升50倍。

立即体验

用中文搜PubMed

大模型驱动的PubMed中文搜索引擎

马上搜索

文档翻译

学术文献翻译模型,支持多种主流文档格式。

立即体验