• 文献检索
  • 文档翻译
  • 深度研究
  • 学术资讯
  • Suppr Zotero 插件Zotero 插件
  • 邀请有礼
  • 套餐&价格
  • 历史记录
应用&插件
Suppr Zotero 插件Zotero 插件浏览器插件Mac 客户端Windows 客户端微信小程序
定价
高级版会员购买积分包购买API积分包
服务
文献检索文档翻译深度研究API 文档MCP 服务
关于我们
关于 Suppr公司介绍联系我们用户协议隐私条款
关注我们

Suppr 超能文献

核心技术专利:CN118964589B侵权必究
粤ICP备2023148730 号-1Suppr @ 2026

文献检索

告别复杂PubMed语法,用中文像聊天一样搜索,搜遍4000万医学文献。AI智能推荐,让科研检索更轻松。

立即免费搜索

文件翻译

保留排版,准确专业,支持PDF/Word/PPT等文件格式,支持 12+语言互译。

免费翻译文档

深度研究

AI帮你快速写综述,25分钟生成高质量综述,智能提取关键信息,辅助科研写作。

立即免费体验

结直肠癌和肝转移中的钠钾ATP酶同工酶

Na,K-ATPase Isozymes in Colorectal Cancer and Liver Metastases.

作者信息

Baker Bechmann Marc, Rotoli Deborah, Morales Manuel, Maeso María Del Carmen, García María Del Pino, Ávila Julio, Mobasheri Ali, Martín-Vasallo Pablo

机构信息

Laboratorio de Biología del Desarrollo, UD de Bioquímica y Biología Molecular and Centro de Investigaciones Biomédicas de Canarias, Universidad de La Laguna Santa Cruz de Tenerife, Spain.

Laboratorio de Biología del Desarrollo, UD de Bioquímica y Biología Molecular and Centro de Investigaciones Biomédicas de Canarias, Universidad de La LagunaSanta Cruz de Tenerife, Spain; Institute of Endocrinology and Experimental Oncology, National Research CouncilNaples, Italy.

出版信息

Front Physiol. 2016 Jan 29;7:9. doi: 10.3389/fphys.2016.00009. eCollection 2016.

DOI:10.3389/fphys.2016.00009
PMID:26858653
原文链接:https://pmc.ncbi.nlm.nih.gov/articles/PMC4731494/
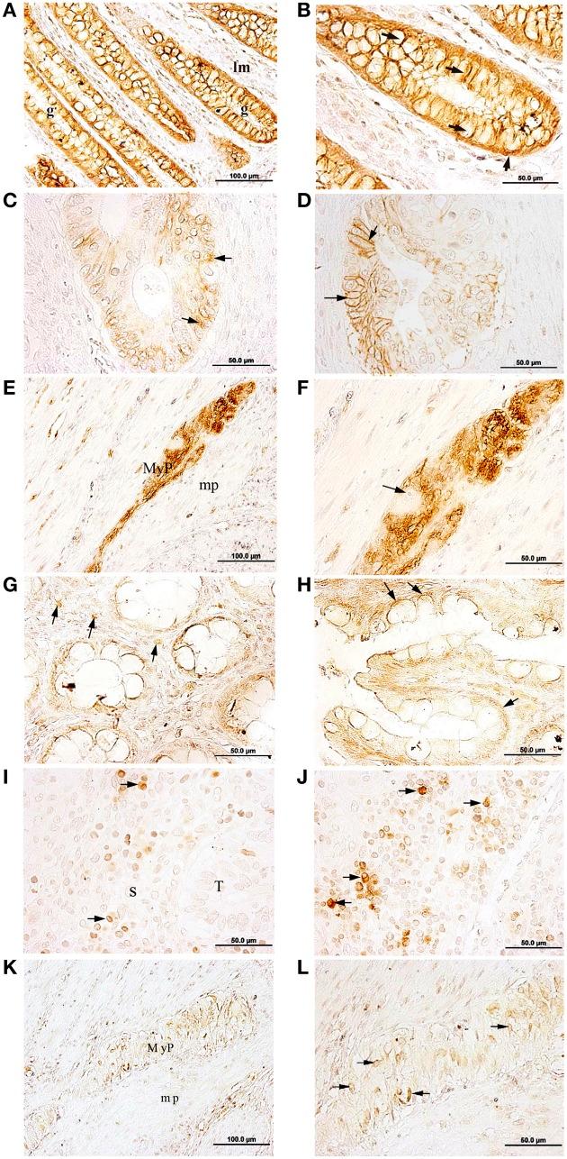
Abstract

The goal of this study was to define Na,K-ATPase α and β subunit isoform expression and isozyme composition in colorectal cancer cells and liver metastases. The α1, α3, and β1 isoforms were the most highly expressed in tumor cells and metastases; in the plasma membrane of non-neoplastic cells and mainly in a cytoplasmic location in tumor cells. α1β1 and α3β1 isozymes found in tumor and metastatic cells exhibit the highest and lowest Na(+) affinity respectively and the highest K(+) affinity. Mesenchymal cell isozymes possess an intermediate Na(+) affinity and a low K(+) affinity. In cancer, these ions are likely to favor optimal conditions for the function of nuclear enzymes involved in mitosis, especially a high intra-nuclear K(+) concentration. A major and striking finding of this study was that in liver, metastasized CRC cells express the α3β1 isozyme. Thus, the α3β1 isozyme could potentially serve as a novel exploratory biomarker of CRC metastatic cells in liver.

摘要

本研究的目的是确定结直肠癌细胞和肝转移灶中钠钾ATP酶α和β亚基同工型的表达及同工酶组成。α1、α3和β1同工型在肿瘤细胞和转移灶中表达最高;在非肿瘤细胞的质膜中,而在肿瘤细胞中主要位于细胞质中。在肿瘤细胞和转移细胞中发现的α1β1和α3β1同工酶分别表现出最高和最低的钠亲和力以及最高的钾亲和力。间充质细胞同工酶具有中等的钠亲和力和低的钾亲和力。在癌症中,这些离子可能有利于有丝分裂中涉及的核酶功能的最佳条件,尤其是高核内钾浓度。本研究的一个主要且显著的发现是,在肝脏中,转移的结直肠癌细胞表达α3β1同工酶。因此,α3β1同工酶有可能作为肝脏中结直肠癌转移细胞的一种新型探索性生物标志物。

https://cdn.ncbi.nlm.nih.gov/pmc/blobs/dc69/4731494/763755f41ca9/fphys-07-00009-g0006.jpg
https://cdn.ncbi.nlm.nih.gov/pmc/blobs/dc69/4731494/99a2dd0a0a3e/fphys-07-00009-g0001.jpg
https://cdn.ncbi.nlm.nih.gov/pmc/blobs/dc69/4731494/c5d467eb6456/fphys-07-00009-g0002.jpg
https://cdn.ncbi.nlm.nih.gov/pmc/blobs/dc69/4731494/76c91add5d54/fphys-07-00009-g0003.jpg
https://cdn.ncbi.nlm.nih.gov/pmc/blobs/dc69/4731494/29266ba0861c/fphys-07-00009-g0004.jpg
https://cdn.ncbi.nlm.nih.gov/pmc/blobs/dc69/4731494/6057bcd5e814/fphys-07-00009-g0005.jpg
https://cdn.ncbi.nlm.nih.gov/pmc/blobs/dc69/4731494/763755f41ca9/fphys-07-00009-g0006.jpg
https://cdn.ncbi.nlm.nih.gov/pmc/blobs/dc69/4731494/99a2dd0a0a3e/fphys-07-00009-g0001.jpg
https://cdn.ncbi.nlm.nih.gov/pmc/blobs/dc69/4731494/c5d467eb6456/fphys-07-00009-g0002.jpg
https://cdn.ncbi.nlm.nih.gov/pmc/blobs/dc69/4731494/76c91add5d54/fphys-07-00009-g0003.jpg
https://cdn.ncbi.nlm.nih.gov/pmc/blobs/dc69/4731494/29266ba0861c/fphys-07-00009-g0004.jpg
https://cdn.ncbi.nlm.nih.gov/pmc/blobs/dc69/4731494/6057bcd5e814/fphys-07-00009-g0005.jpg
https://cdn.ncbi.nlm.nih.gov/pmc/blobs/dc69/4731494/763755f41ca9/fphys-07-00009-g0006.jpg

相似文献

1
Na,K-ATPase Isozymes in Colorectal Cancer and Liver Metastases.结直肠癌和肝转移中的钠钾ATP酶同工酶
Front Physiol. 2016 Jan 29;7:9. doi: 10.3389/fphys.2016.00009. eCollection 2016.
2
Differential regulation of Na,K-ATPase isozymes by protein kinases and arachidonic acid.蛋白激酶和花生四烯酸对钠钾ATP酶同工酶的差异调节。
Arch Biochem Biophys. 1998 Nov 15;359(2):139-50. doi: 10.1006/abbi.1998.0904.
3
Comparison of the enzymatic properties of the Na,K-ATPase alpha 3 beta 1 and alpha 3 beta 2 isozymes.钠钾ATP酶α3β1和α3β2同工酶的酶学特性比较。
Biochemistry. 1995 Aug 8;34(31):9897-903. doi: 10.1021/bi00031a011.
4
Isoforms of Na+, K+-ATPase in human prostate; specificity of expression and apical membrane polarization.人类前列腺中钠钾ATP酶的同工型;表达特异性与顶端膜极化
Histol Histopathol. 2001 Jan;16(1):141-54. doi: 10.14670/HH-16.141.
5
Sodium pump isoform expression in heart failure: implication for treatment.钠泵同工型在心力衰竭中的表达:对治疗的意义。
Basic Res Cardiol. 2002;97 Suppl 1:I25-30. doi: 10.1007/s003950200025.
6
Isozymes of the Na-K-ATPase: heterogeneity in structure, diversity in function.钠钾ATP酶的同工酶:结构的异质性,功能的多样性。
Am J Physiol. 1998 Nov;275(5):F633-50. doi: 10.1152/ajprenal.1998.275.5.F633.
7
Na,K-ATPase subunit heterogeneity as a mechanism for tissue-specific ion regulation.钠钾ATP酶亚基异质性作为组织特异性离子调节的一种机制。
Semin Nephrol. 2005 Sep;25(5):292-303. doi: 10.1016/j.semnephrol.2005.03.004.
8
Importance of the Voltage Dependence of Cardiac Na/K ATPase Isozymes.心脏钠/钾ATP酶同工酶电压依赖性的重要性。
Biophys J. 2015 Nov 3;109(9):1852-62. doi: 10.1016/j.bpj.2015.09.015.
9
[Structural peculiarities of Na+,K+-ATPase isozymes from the calf brain].[来自小牛大脑的钠钾ATP酶同工酶的结构特性]
Bioorg Khim. 2003 Mar-Apr;29(2):146-58. doi: 10.1023/a:1023204330931.
10
Human corneal endothelial cell expression of Na+,K+-adenosine triphosphatase isoforms.人角膜内皮细胞中钠钾-三磷酸腺苷同工型的表达
Arch Ophthalmol. 2003 Jun;121(6):840-5. doi: 10.1001/archopht.121.6.840.

引用本文的文献

1
Oxidative Stress in the Regulation of Autosis-Related Proteins.自噬相关蛋白调控中的氧化应激
Antioxidants (Basel). 2025 Aug 4;14(8):958. doi: 10.3390/antiox14080958.
2
Molecular Basis of Na, K-ATPase Regulation of Diseases: Hormone and FXYD2 Interactions.钠钾ATP酶疾病调节的分子基础:激素与FXYD2的相互作用
Int J Mol Sci. 2024 Dec 13;25(24):13398. doi: 10.3390/ijms252413398.
3
Na,K-ATPase activity promotes macropinocytosis in colon cancer via Wnt signaling.钠钾-ATP 酶活性通过 Wnt 信号通路促进结肠癌中的巨胞饮作用。

本文引用的文献

1
Moonlighting proteins in cancer.癌症中的兼职蛋白
Cancer Lett. 2016 Jan 1;370(1):108-16. doi: 10.1016/j.canlet.2015.09.022. Epub 2015 Oct 20.
2
Differential transcriptome profile of peripheral white cells to identify biomarkers involved in oxaliplatin induced neuropathy.外周血白细胞差异转录组谱鉴定奥沙利铂诱导神经病变相关的生物标志物。
J Pers Med. 2014 Jun 5;4(2):282-96. doi: 10.3390/jpm4020282.
3
An introduction to protein moonlighting.蛋白质兼职现象简介。
Biol Open. 2024 May 15;13(5). doi: 10.1242/bio.060269. Epub 2024 May 21.
4
Cardenolide glycosides sensitize gefitinib-induced apoptosis in non-small cell lung cancer: inhibition of Na/K-ATPase serving as a switch-on mechanism.卡烯内酯糖苷增敏吉非替尼诱导非小细胞肺癌细胞凋亡:钠钾-ATP 酶抑制作为一种开关机制。
Naunyn Schmiedebergs Arch Pharmacol. 2024 Sep;397(9):6533-6550. doi: 10.1007/s00210-024-03031-9. Epub 2024 Mar 7.
5
Aptamers Targeting Membrane Proteins for Sensor and Diagnostic Applications.适体靶向膜蛋白的传感器和诊断应用。
Molecules. 2023 Apr 26;28(9):3728. doi: 10.3390/molecules28093728.
6
Identification of lymph node metastasis-related genes and patterns of immune infiltration in colon adenocarcinoma.结肠癌中淋巴结转移相关基因的鉴定及免疫浸润模式
Front Oncol. 2023 Jan 16;12:907464. doi: 10.3389/fonc.2022.907464. eCollection 2022.
7
Identification and Verification of a Novel MAGI2-AS3/miRNA-374-5p/FOXO1 Network Associated with HBV-Related HCC.鉴定和验证与乙型肝炎病毒相关 HCC 相关的新型 MAGI2-AS3/miRNA-374-5p/FOXO1 网络。
Cells. 2022 Nov 2;11(21):3466. doi: 10.3390/cells11213466.
8
Displacement of Native FXYD Protein From Na/K-ATPase With Novel FXYD Peptide Derivatives: Effects on Doxorubicin Cytotoxicity.新型FXYD肽衍生物使天然FXYD蛋白从钠钾ATP酶上移位:对阿霉素细胞毒性的影响。
Front Oncol. 2022 Mar 17;12:859216. doi: 10.3389/fonc.2022.859216. eCollection 2022.
9
Inhibition of the proliferation, invasion, migration, and epithelial-mesenchymal transition of prostate cancer cells through the action of on the TGF-β/Smad pathway.通过作用于TGF-β/Smad信号通路抑制前列腺癌细胞的增殖、侵袭、迁移及上皮-间质转化。
Transl Androl Urol. 2022 Jan;11(1):53-66. doi: 10.21037/tau-21-1117.
10
ATPase Activity of the Subcellular Fractions of Colorectal Cancer Samples under the Action of Nicotinic Acid Adenine Dinucleotide Phosphate.烟酰胺腺嘌呤二核苷酸磷酸作用下结直肠癌样本亚细胞组分的ATP酶活性
Biomedicines. 2021 Nov 30;9(12):1805. doi: 10.3390/biomedicines9121805.
Biochem Soc Trans. 2014 Dec;42(6):1679-83. doi: 10.1042/BST20140226.
4
Cardiac glycoside activities link Na(+)/K(+) ATPase ion-transport to breast cancer cell migration via correlative SAR.强心苷活性通过相关构效关系将Na(+)/K(+) ATP酶离子转运与乳腺癌细胞迁移联系起来。
ACS Chem Biol. 2015 Feb 20;10(2):561-9. doi: 10.1021/cb500665r. Epub 2014 Nov 26.
5
Metastatic dormancy: a complex network between cancer stem cells and their microenvironment.转移性休眠:癌症干细胞与其微环境之间的复杂网络。
Histol Histopathol. 2014 Dec;29(12):1499-510. doi: 10.14670/HH-29.1499. Epub 2014 Jun 2.
6
The search for treatments to reduce chemotherapy-induced peripheral neuropathy.寻找减少化疗引起的周围神经病变的治疗方法。
J Clin Invest. 2014 Jan;124(1):72-4. doi: 10.1172/JCI73908. Epub 2013 Dec 20.
7
Cellular location and expression of Na+, K+ -ATPase α subunits affect the anti-proliferative activity of oleandrin.钠钾-ATP 酶 α 亚基的细胞定位和表达影响欧夹竹桃苷的抗增殖活性。
Mol Carcinog. 2014 Apr;53(4):253-63. doi: 10.1002/mc.21968. Epub 2012 Oct 16.
8
Na+, K+-ATPase genes are down-regulated during adipose stem cell differentiation.钠钾ATP酶基因在脂肪干细胞分化过程中表达下调。
Front Biosci (Elite Ed). 2011 Jun 1;3(4):1229-40. doi: 10.2741/e326.
9
Estimates of worldwide burden of cancer in 2008: GLOBOCAN 2008.2008 年全球癌症负担估计值:GLOBOCAN 2008。
Int J Cancer. 2010 Dec 15;127(12):2893-917. doi: 10.1002/ijc.25516.
10
Global cancer statistics.全球癌症统计数据。
CA Cancer J Clin. 2011 Mar-Apr;61(2):69-90. doi: 10.3322/caac.20107. Epub 2011 Feb 4.