Ahmed Zohair, Rossi Maria L, Yong Sherri, Martin Daniel K, Walayat Saqib, Cashman Michael, Tsoraides Steven, Dhillon Sonu
Department of Medicine, University of Illinois Peoria Campus, OSF Saint Francis Medical Center, Peoria, IL, USA;
Department of Medicine, University of Illinois Peoria Campus, OSF Saint Francis Medical Center, Peoria, IL, USA.
J Community Hosp Intern Med Perspect. 2016 Feb 17;6(1):30362. doi: 10.3402/jchimp.v6.30362. eCollection 2016.
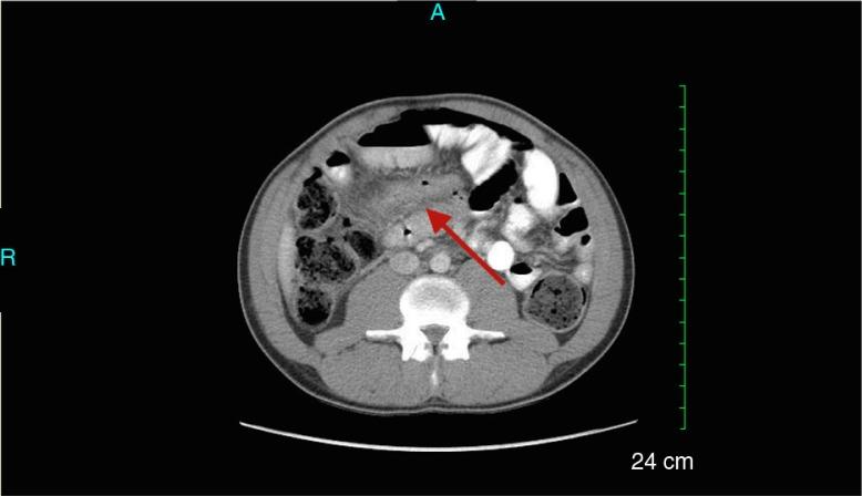
Behçet's disease (BD) is a chronic multisystem inflammatory disease most prevalent in Eastern Asia and along the Mediterranean basin, an area referred to as the 'Silk Road'. The diagnosis of BD is largely based on the International Study Group (ISG) criteria, which are more specific than sensitive. ISG criteria do not include intestinal manifestations, a feature more commonly seen in the West. Intestinal BD is one of several findings that are not typically seen along the 'Silk Road'. Herein we report a rare case of intestinal BD and compare Western versus traditional BD. A 25-year-old male with a history of painful oral aphthous ulcers, pericarditis, and diffuse papulopustular rash presented to the emergency department with two terminal ileal perforations. Pathology demonstrated mucosal necrosis with active inflammation and no chronic inflammatory changes. Post-surgical laboratory studies showed an elevated c-reactive protein of 35.57 mg/dL, erythrocyte sedimentation rate of 82 mm/h, and a positive anti-Saccharomyces cerevisiae antibody. Rheumatological workup including ANA, RF, PR3 antibody, MPO antibody, ANCA, SSA and SSB, Smith antibody, SCL-70, and anti-Jo-1 antibodies were all negative. His pericarditis symptoms improved with colchicine and prednisone prior to discharge. Our patient did not meet the current ISG criteria for traditional BD; however, he clearly showed findings typically seen in Western patients with BD, which include intestinal manifestations, cardiac involvement, and lack of pathergy reaction and ocular changes. Our investigation demonstrates that the clinical manifestations common to this disorder vary among geographic and ethnic populations. Commonly used criteria for the diagnosis of BD may not be sensitive for some populations, such as Western BD, potentially leading to underdiagnoses and mismanagement. Recognition and select inclusion of these differences may be one way to assist with diagnosing Western BD in the future. As our knowledge of BD continues to evolve, so must the population-specific criteria used to define BD.
白塞病(BD)是一种慢性多系统炎症性疾病,在东亚和地中海盆地(即所谓的“丝绸之路”地区)最为常见。BD的诊断主要依据国际研究小组(ISG)标准,该标准特异性较高但敏感性不足。ISG标准未涵盖肠道表现,而这一特征在西方更为常见。肠道BD是“丝绸之路”沿线不常见的表现之一。在此,我们报告一例罕见的肠道BD病例,并比较西方型与传统型BD。一名25岁男性,有疼痛性口腔溃疡、心包炎和弥漫性丘疹脓疱疹病史,因回肠末端两处穿孔就诊于急诊科。病理显示黏膜坏死伴活动性炎症,无慢性炎症改变。术后实验室检查显示C反应蛋白升高至35.57mg/dL,红细胞沉降率为82mm/h,抗酿酒酵母抗体阳性。包括抗核抗体(ANA)、类风湿因子(RF)、蛋白酶3抗体(PR3抗体)、髓过氧化物酶抗体(MPO抗体)、抗中性粒细胞胞浆抗体(ANCA)、抗干燥综合征A抗原抗体(SSA)、抗干燥综合征B抗原抗体(SSB)、史密斯抗体、SCL-70和抗Jo-1抗体在内的风湿病检查均为阴性。出院前,他的心包炎症状通过秋水仙碱和泼尼松得到改善。我们的患者不符合当前传统BD的ISG标准;然而,他明显表现出西方BD患者常见的表现,包括肠道表现、心脏受累,且无针刺反应和眼部改变。我们调查表明,该疾病的临床表现因地理和种族人群而异。常用的BD诊断标准对某些人群(如西方BD患者)可能不敏感,可能导致漏诊和管理不当。认识并选择纳入这些差异可能是未来协助诊断西方BD的一种方法。随着我们对白塞病的认识不断发展,用于定义BD的特定人群标准也必须不断完善。