Suppr超能文献

含有超保守基因组区域8的长链非编码RNA促进膀胱癌的肿瘤发生。

Long non-coding RNA containing ultraconserved genomic region 8 promotes bladder cancer tumorigenesis.

作者信息

Olivieri Michele, Ferro Matteo, Terreri Sara, Durso Montano, Romanelli Alessandra, Avitabile Concetta, De Cobelli Ottavio, Messere Anna, Bruzzese Dario, Vannini Ivan, Marinelli Luciana, Novellino Ettore, Zhang Wei, Incoronato Mariarosaria, Ilardi Gennaro, Staibano Stefania, Marra Laura, Franco Renato, Perdonà Sisto, Terracciano Daniela, Czerniak Bogdan, Liguori Giovanna L, Colonna Vincenza, Fabbri Muller, Febbraio Ferdinando, Calin George A, Cimmino Amelia

机构信息

Institute of Genetics and Biophysics "A. Buzzati Traverso", National Research Council (CNR), Naples, Italy.

Division of Urology, European Institute of Oncology, Milan, Italy.

出版信息

Oncotarget. 2016 Apr 12;7(15):20636-54. doi: 10.18632/oncotarget.7833.

Abstract

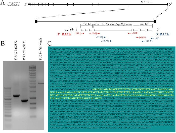
Ultraconserved regions (UCRs) have been shown to originate non-coding RNA transcripts (T-UCRs) that have different expression profiles and play functional roles in the pathophysiology of multiple cancers. The relevance of these functions to the pathogenesis of bladder cancer (BlCa) is speculative. To elucidate this relevance, we first used genome-wide profiling to evaluate the expression of T-UCRs in BlCa tissues. Analysis of two datasets comprising normal bladder tissues and BlCa specimens with a custom T-UCR microarray identified ultraconserved RNA (uc.) 8+ as the most upregulated T-UCR in BlCa tissues, although its expression was lower than in pericancerous bladder tissues. These results were confirmed on BlCa tissues by real-time PCR and by in situ hybridization. Although uc.8+ is located within intron 1 of CASZ1, a zinc-finger transcription factor, the transcribed non-coding RNA encoding uc.8+ is expressed independently of CASZ1. In vitro experiments evaluating the effects of uc.8+ silencing, showed significantly decreased capacities for cancer cell invasion, migration, and proliferation. From this, we proposed and validated a model of interaction in which uc.8+ shuttles from the nucleus to the cytoplasm of BlCa cells, interacts with microRNA (miR)-596, and cooperates in the promotion and development of BlCa. Using computational analysis, we investigated the miR-binding domain accessibility, as determined by base-pairing interactions within the uc.8+ predicted secondary structure, RNA binding affinity, and RNA species abundance in bladder tissues and showed that uc.8+ is a natural decoy for miR-596. Thus uc.8+ upregulation results in increased expression of MMP9, increasing the invasive potential of BlCa cells. These interactions between evolutionarily conserved regions of DNA suggest that natural selection has preserved this potentially regulatory layer that uses RNA to modulate miR levels, opening up the possibility for development of useful markers for early diagnosis and prognosis as well as for development of new RNA-based cancer therapies.

摘要

超保守区域(UCRs)已被证明可产生具有不同表达谱且在多种癌症的病理生理学中发挥功能作用的非编码RNA转录本(T-UCRs)。这些功能与膀胱癌(BlCa)发病机制的相关性尚属推测。为阐明这种相关性,我们首先使用全基因组分析来评估T-UCRs在BlCa组织中的表达。通过定制的T-UCR微阵列对包含正常膀胱组织和BlCa标本的两个数据集进行分析,确定超保守RNA(uc.)8+是BlCa组织中上调最明显的T-UCR,尽管其表达低于癌旁膀胱组织。这些结果通过实时PCR和原位杂交在BlCa组织上得到证实。尽管uc.8+位于锌指转录因子CASZ1的第1内含子内,但编码uc.8+的转录非编码RNA的表达独立于CASZ1。评估uc.8+沉默效果的体外实验表明,癌细胞的侵袭、迁移和增殖能力显著下降。据此,我们提出并验证了一种相互作用模型,即uc.8+从BlCa细胞核穿梭至细胞质,与微小RNA(miR)-596相互作用,并协同促进BlCa的发生和发展。通过计算分析,我们研究了uc.8+预测二级结构内碱基配对相互作用所决定的miR结合域可及性、RNA结合亲和力以及膀胱组织中的RNA种类丰度,结果表明uc.8+是miR-596的天然诱饵。因此,uc.8+上调导致基质金属蛋白酶9(MMP9)表达增加,从而增强了BlCa细胞的侵袭潜力。DNA进化保守区域之间的这些相互作用表明,自然选择保留了这种潜在的调控层,该调控层利用RNA调节miR水平,为开发早期诊断和预后的有用标志物以及基于RNA的新型癌症治疗方法开辟了可能性。

https://cdn.ncbi.nlm.nih.gov/pmc/blobs/84d5/4991481/1fe193f74441/oncotarget-07-20636-g001.jpg

文献AI研究员

20分钟写一篇综述,助力文献阅读效率提升50倍。

立即体验

用中文搜PubMed

大模型驱动的PubMed中文搜索引擎

马上搜索

文档翻译

学术文献翻译模型,支持多种主流文档格式。

立即体验