Suppr超能文献

使用富含血小板血浆的骨髓间充质干细胞进行椎间盘再生:一项初步研究。

Intervertebral disc regeneration using platelet‑rich plasma‑containing bone marrow‑derived mesenchymal stem cells: A preliminary investigation.

作者信息

Wang Shan-Zheng, Jin Ji-Yang, Guo Yu-Dong, Ma Liang-Yu, Chang Qing, Peng Xin-Gui, Guo Fang-Fang, Zhang Hai-Xiang, Hu Xin-Feng, Wang Chen

机构信息

Department of Orthopaedics, Zhongda Hospital, Medical School of Southeast University, Nanjing, Jiangsu 210009, P.R. China.

Department of Radiology, Zhongda Hospital, Medical School of Southeast University, Nanjing, Jiangsu 210009, P.R. China.

出版信息

Mol Med Rep. 2016 Apr;13(4):3475-81. doi: 10.3892/mmr.2016.4983. Epub 2016 Mar 7.

Abstract

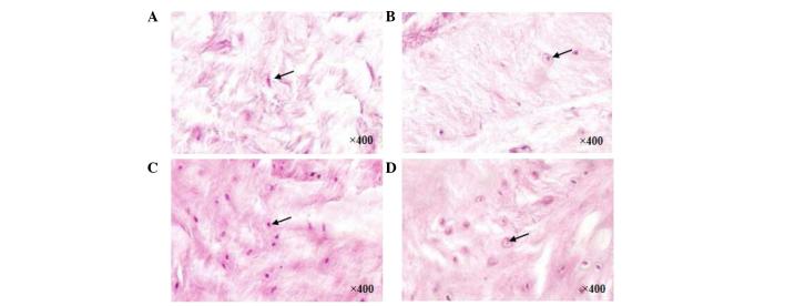
Platelet‑rich plasma (PRP) is a promising strategy for intervertebral disc degeneration (IDD). However, the short half‑life of growth factors released from PRP cannot continuously stimulate the degenerated discs. Thus, the present study hypothesized that the combined use of PRP and bone marrow‑derived mesenchymal stem cells (BMSCs) may repair the early degenerated discs in the long term for their synergistic reparative effect. In the present study, following the induction of early IDD by annular puncture in rabbits, PRP was prepared and mixed with BMSCs (PRP‑BMSC group) for injection into the early degenerated discs. As controls, phosphate‑buffered saline (PBS; PBS group) and PRP (PRP group) were similarly injected. Rabbits without any intervention served as a control group. At 8 weeks following treatment, histological changes of the injected discs were assessed. Magnetic resonance imaging (MRI) was used to detect the T2‑weighted signal intensity of the targeted discs at weeks 1, 2 and 8 following treatment. Annular puncture resulted in disc narrowing and decreased T2‑weighted signal intensity. At weeks 1 and 3, MRI examinations showed regenerative changes in the PRP‑BMSC group and PRP group, whereas the PBS group exhibited a continuous degenerative process of the discs. At 8 weeks post‑injection, the PRP‑BMSCs induced a statistically significant restoration of discs, as shown by MRI (PRP‑BMSCs, vs.PRP and PBS; P<0.05), which was also confirmed by histological evaluations. Thus, compared with PRP, the administration of PRP‑containing BMSCs resulted in a superior regenerative effect on the early degenerated discs, which may be a promising therapeutic strategy for the restoration of early degenerated discs.

摘要

富血小板血浆(PRP)是一种治疗椎间盘退变(IDD)很有前景的策略。然而,PRP释放的生长因子半衰期较短,无法持续刺激退变椎间盘。因此,本研究假设PRP与骨髓间充质干细胞(BMSCs)联合使用可能因其协同修复作用长期修复早期退变椎间盘。在本研究中,通过对兔进行环扎诱导早期IDD后,制备PRP并与BMSCs混合(PRP - BMSC组),然后注入早期退变椎间盘。作为对照,同样注入磷酸盐缓冲盐水(PBS;PBS组)和PRP(PRP组)。未进行任何干预的兔作为对照组。治疗8周后,评估注射椎间盘的组织学变化。在治疗后第1、2和8周,使用磁共振成像(MRI)检测目标椎间盘的T2加权信号强度。环扎导致椎间盘变窄和T2加权信号强度降低。在第1周和第3周,MRI检查显示PRP - BMSC组和PRP组有再生变化,而PBS组椎间盘呈现持续退变过程。注射后8周,MRI显示PRP - BMSCs诱导椎间盘有统计学意义的恢复(PRP - BMSCs与PRP和PBS相比;P<0.05),组织学评估也证实了这一点。因此,与PRP相比,含BMSCs的PRP对早期退变椎间盘具有更好的再生效果,这可能是恢复早期退变椎间盘的一种有前景的治疗策略。

https://cdn.ncbi.nlm.nih.gov/pmc/blobs/0c9a/4805096/b995aed2bcc4/MMR-13-04-3475-g00.jpg

文献AI研究员

20分钟写一篇综述,助力文献阅读效率提升50倍。

立即体验

用中文搜PubMed

大模型驱动的PubMed中文搜索引擎

马上搜索

文档翻译

学术文献翻译模型,支持多种主流文档格式。

立即体验