Mard Seyyed Ali, Mojadami Shahnaz, Farbood Yaghoob, Gharib Naseri Mohammad Kazem
Physiology Research Center (PRC), Research Center for Infectious Diseases of Digestive System, Department of Physiology, School of Medicine, Ahvaz Jundishapur University of Medical Sciences, Ahvaz, Iran;
Physiology Research Center (PRC), Department of Physiology, School of Medicine, Ahvaz Jundishapur University of Medical Sciences, Ahvaz, Iran.
Vet Res Forum. 2015 Fall;6(4):305-11. Epub 2015 Dec 15.
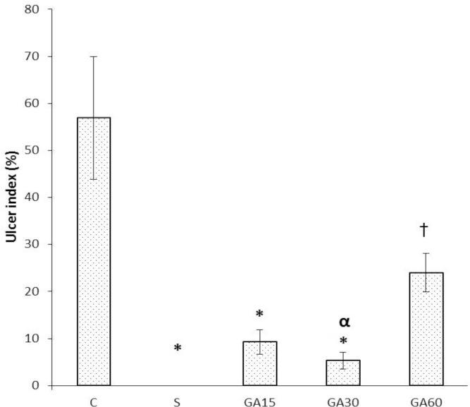
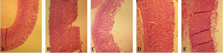
The present study aimed to evaluate the protective effect of gallic acid on gastric mucosal lesions caused by ischemia-reperfusion (I/R) injury in rat. Forty male rats were randomly divided into sham, control (I/R injury) and three gallic acid-pretreated groups. To induce I/R lesions, the celiac artery was clamped for 30 min and then the clamp was removed to allow reperfusion for 6 hr. Pretreated rats received gallic acid (15, 30 or 60 mg kg(-1), intraperitoneally) 30 min prior to the induction of I/R injury. Macroscopic and microscopic evaluations of the areas of ulceration were compared. Samples of gastric mucosa were collected to evaluate the protein expression of pro-apoptotic factor, caspase-3, and pro-inflammatory enzyme, inducible nitric oxide synthase (iNOS) using western blot. Pretreatment with gallic acid decreased the total area of gastric lesions. Gallic acid at 30 mg kg(-1) decreased the levels of protein expression of caspase-3 and iNOS induced by I/R injury. Our findings showed the protective effect of gallic acid on gastric mucosa against ischemia-reperfusion injury. This effect of gallic acid was mainly mediated by reducing protein expression of iNOS and caspase-3.
本研究旨在评估没食子酸对大鼠缺血再灌注(I/R)损伤所致胃黏膜损伤的保护作用。40只雄性大鼠被随机分为假手术组、对照组(I/R损伤组)和三个没食子酸预处理组。为诱导I/R损伤,夹闭腹腔动脉30分钟,然后移除夹子进行6小时的再灌注。预处理大鼠在诱导I/R损伤前30分钟腹腔注射没食子酸(15、30或60mg/kg)。比较溃疡面积的宏观和微观评估。收集胃黏膜样本,采用蛋白质印迹法评估促凋亡因子caspase-3和促炎酶诱导型一氧化氮合酶(iNOS)的蛋白质表达。没食子酸预处理可减少胃损伤的总面积。30mg/kg的没食子酸可降低I/R损伤诱导的caspase-3和iNOS的蛋白质表达水平。我们的研究结果表明没食子酸对胃黏膜缺血再灌注损伤具有保护作用。没食子酸的这种作用主要通过降低iNOS和caspase-3的蛋白质表达来介导。