• 文献检索
  • 文档翻译
  • 深度研究
  • 学术资讯
  • Suppr Zotero 插件Zotero 插件
  • 邀请有礼
  • 套餐&价格
  • 历史记录
应用&插件
Suppr Zotero 插件Zotero 插件浏览器插件Mac 客户端Windows 客户端微信小程序
定价
高级版会员购买积分包购买API积分包
服务
文献检索文档翻译深度研究API 文档MCP 服务
关于我们
关于 Suppr公司介绍联系我们用户协议隐私条款
关注我们

Suppr 超能文献

核心技术专利:CN118964589B侵权必究
粤ICP备2023148730 号-1Suppr @ 2026

文献检索

告别复杂PubMed语法,用中文像聊天一样搜索,搜遍4000万医学文献。AI智能推荐,让科研检索更轻松。

立即免费搜索

文件翻译

保留排版,准确专业,支持PDF/Word/PPT等文件格式,支持 12+语言互译。

免费翻译文档

深度研究

AI帮你快速写综述,25分钟生成高质量综述,智能提取关键信息,辅助科研写作。

立即免费体验

伴肺转移的牙源性影细胞癌。

Odontogenic ghost cell carcinoma with pulmonary metastasis.

作者信息

Sukumaran Renu, Somanathan Thara, Kattoor Jayasree

机构信息

Regional Cancer Centre, Trivandrum, Kerala, India.

出版信息

J Oral Maxillofac Pathol. 2015 Sep-Dec;19(3):371-4. doi: 10.4103/0973-029X.174626.

DOI:10.4103/0973-029X.174626
PMID:26980967
原文链接:https://pmc.ncbi.nlm.nih.gov/articles/PMC4774292/
Abstract

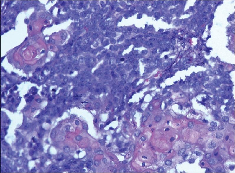
Odontogenic ghost cell carcinoma (OGCC) is an exceptionally rare malignant odontogenic epithelial tumor. It is characterized by ameloblastic-like islands of epithelial cells with aberrant keratinization in the form of ghost cells with varying amounts of dysplastic dentin. Malignant histological characteristics include infiltration, cellular pleomorphism, numerous mitosis and necrosis. Its biological behavior varies from slow-growing locally invasive lesions to rapidly growing highly aggressive tumors. OGCC metastasizing to distant sites is extremely rare. Only three cases of metastasis have been reported in literature. We are reporting the case of a 54-year-old male patient who presented with tender swelling in the malar region. Histopathological examination revealed OGCC and he received postoperative radiotherapy. Two years later, he presented with a lung mass. Biopsy from the lung lesion showed the same morphology as that of maxillary tumor with scattered ghost cells. This case points to the aggressive behavior of OGCC and its metastatic potential. It also highlights the need for long-term follow-up of these patients.

摘要

牙源性影细胞癌(OGCC)是一种极为罕见的恶性牙源性上皮肿瘤。其特征为上皮细胞呈成釉细胞样岛状排列,伴有异常角化,形成影细胞,并伴有不同程度的发育异常牙本质。恶性组织学特征包括浸润、细胞多形性、大量有丝分裂和坏死。其生物学行为从生长缓慢的局部浸润性病变到生长迅速的高度侵袭性肿瘤不等。OGCC转移至远处部位极为罕见。文献中仅报道了3例转移病例。我们报告一例54岁男性患者,其颧部出现压痛性肿胀。组织病理学检查显示为OGCC,患者接受了术后放疗。两年后,他出现肺部肿块。肺部病变活检显示与上颌肿瘤形态相同,可见散在的影细胞。该病例表明OGCC具有侵袭性生物学行为及其转移潜能。它还强调了对这些患者进行长期随访的必要性。

https://cdn.ncbi.nlm.nih.gov/pmc/blobs/36cd/4774292/6309dfa4ba66/JOMFP-19-371-g007.jpg
https://cdn.ncbi.nlm.nih.gov/pmc/blobs/36cd/4774292/6610fa135983/JOMFP-19-371-g001.jpg
https://cdn.ncbi.nlm.nih.gov/pmc/blobs/36cd/4774292/8bc059af3841/JOMFP-19-371-g002.jpg
https://cdn.ncbi.nlm.nih.gov/pmc/blobs/36cd/4774292/8e9aca8dbed5/JOMFP-19-371-g003.jpg
https://cdn.ncbi.nlm.nih.gov/pmc/blobs/36cd/4774292/5d8c072e0be6/JOMFP-19-371-g004.jpg
https://cdn.ncbi.nlm.nih.gov/pmc/blobs/36cd/4774292/c22453bd7fcf/JOMFP-19-371-g005.jpg
https://cdn.ncbi.nlm.nih.gov/pmc/blobs/36cd/4774292/059acb94d2c2/JOMFP-19-371-g006.jpg
https://cdn.ncbi.nlm.nih.gov/pmc/blobs/36cd/4774292/6309dfa4ba66/JOMFP-19-371-g007.jpg
https://cdn.ncbi.nlm.nih.gov/pmc/blobs/36cd/4774292/6610fa135983/JOMFP-19-371-g001.jpg
https://cdn.ncbi.nlm.nih.gov/pmc/blobs/36cd/4774292/8bc059af3841/JOMFP-19-371-g002.jpg
https://cdn.ncbi.nlm.nih.gov/pmc/blobs/36cd/4774292/8e9aca8dbed5/JOMFP-19-371-g003.jpg
https://cdn.ncbi.nlm.nih.gov/pmc/blobs/36cd/4774292/5d8c072e0be6/JOMFP-19-371-g004.jpg
https://cdn.ncbi.nlm.nih.gov/pmc/blobs/36cd/4774292/c22453bd7fcf/JOMFP-19-371-g005.jpg
https://cdn.ncbi.nlm.nih.gov/pmc/blobs/36cd/4774292/059acb94d2c2/JOMFP-19-371-g006.jpg
https://cdn.ncbi.nlm.nih.gov/pmc/blobs/36cd/4774292/6309dfa4ba66/JOMFP-19-371-g007.jpg

相似文献

1
Odontogenic ghost cell carcinoma with pulmonary metastasis.伴肺转移的牙源性影细胞癌。
J Oral Maxillofac Pathol. 2015 Sep-Dec;19(3):371-4. doi: 10.4103/0973-029X.174626.
2
Odontogenic ghost cell carcinoma.牙源性影细胞癌
Head Neck. 2004 Apr;26(4):378-81. doi: 10.1002/hed.10376.
3
Ghost cell odontogenic carcinoma: A rare case report and review of literature.牙源性透明细胞癌:1例罕见病例报告及文献复习
J Clin Exp Dent. 2014 Dec 1;6(5):e602-6. doi: 10.4317/jced.51809. eCollection 2014 Dec.
4
Recurrent odontogenic ghost cell carcinoma (OGCC) at a reconstructed fibular flap: a case report with immunohistochemical findings.复发性牙源性影细胞癌(OGCC)于重建腓骨瓣:一例伴有免疫组织化学表现的病例报告。
Med Oral Patol Oral Cir Bucal. 2011 Aug 1;16(5):e651-6. doi: 10.4317/medoral.17207.
5
Ghost Cell Odontogenic Carcinoma with Sarcomatous Transformation : Report of a Rare Case with Review of Literature.伴有肉瘤样转化的幽灵细胞牙源性癌:罕见病例报告及文献复习。
Gulf J Oncolog. 2023 Jan;1(41):111-116.
6
[Malignant odontogenic tumors].[恶性牙源性肿瘤]
Pathologe. 2008 May;29(3):205-13. doi: 10.1007/s00292-008-0998-y. Epub 2008 Apr 9.
7
Ghost Cell Odontogenic Carcinoma Arising Denovo with Distant Metastasis: A Case Report and Review of Literature.原发性伴远处转移的牙源性癌:一例报告并文献复习
J Clin Diagn Res. 2017 Aug;11(8):ZD01-ZD03. doi: 10.7860/JCDR/2017/28143.10445. Epub 2017 Aug 1.
8
Dentinogenic ghost cell tumor: Tumor in the garb of a cyst!牙源性影细胞肿瘤:伪装成囊肿的肿瘤!
J Oral Maxillofac Pathol. 2018 Jan-Apr;22(1):150. doi: 10.4103/jomfp.JOMFP_144_16.
9
Challenging pitfalls in frozen section pathology: a case of mandible ghost cell odontogenic carcinoma and the literature review.冰冻切片病理中的挑战陷阱:下颌骨幽灵细胞牙源性癌病例及文献复习。
BMC Oral Health. 2024 Apr 13;24(1):450. doi: 10.1186/s12903-024-04190-0.
10
An unusual presentation of ghost cell odontogenic carcinoma: A case report with review of literature.幽灵细胞牙源性癌的一种罕见表现:一例病例报告并文献复习
Indian J Dent Res. 2018 Mar-Apr;29(2):238-243. doi: 10.4103/ijdr.IJDR_442_17.

引用本文的文献

1
Ghost Cell Odontogenic Carcinoma of the Anterior Maxilla with ARID1A Mutation: A Case Report and Literature Review.伴有ARID1A突变的上颌前部幽灵细胞牙源性癌:一例报告及文献复习
Head Neck Pathol. 2025 Apr 25;19(1):46. doi: 10.1007/s12105-025-01785-z.
2
Case report: Ghost cell odontogenic carcinoma in a dog: diagnostics and surgical outcome.病例报告:犬牙源性幽灵细胞癌:诊断与手术结果
Front Vet Sci. 2023 Oct 19;10:1267222. doi: 10.3389/fvets.2023.1267222. eCollection 2023.
3
Comparative Analysis Between Dentinogenic Ghost Cell Tumor and Ghost Cell Odontogenic Carcinoma: A Systematic Review.

本文引用的文献

1
Ghost cell odontogenic carcinoma of the mandible: a case report demonstrating expression of tartrate-resistant acid phosphatase (TRAP) and vitronectin receptor.下颌骨幽灵细胞牙源性癌:一例显示抗酒石酸酸性磷酸酶(TRAP)和玻连蛋白受体表达的病例报告。
J Craniomaxillofac Surg. 2008 Oct;36(7):419-23. doi: 10.1016/j.jcms.2008.06.001. Epub 2008 Jul 31.
2
International collaborative study on ghost cell odontogenic tumours: calcifying cystic odontogenic tumour, dentinogenic ghost cell tumour and ghost cell odontogenic carcinoma.牙源性幽灵细胞肿瘤的国际协作研究:钙化囊性牙源性肿瘤、牙本质生成性幽灵细胞瘤和幽灵细胞牙源性癌。
J Oral Pathol Med. 2008 May;37(5):302-8. doi: 10.1111/j.1600-0714.2007.00623.x. Epub 2008 Jan 19.
3
牙源性影细胞瘤与影细胞性牙源性癌的对比分析:系统评价。
Head Neck Pathol. 2021 Dec;15(4):1265-1283. doi: 10.1007/s12105-021-01347-z. Epub 2021 Jun 14.
4
Ghost cell odontogenic carcinoma of anterior mandible: A rare case report with review of literature.下颌前部的牙源性透明细胞癌:1例罕见病例报告并文献复习
J Oral Maxillofac Pathol. 2021 Mar;25(Suppl 1):S99-S108. doi: 10.4103/jomfp.JOMFP_195_20. Epub 2021 Mar 19.
5
Ghost Cell Odontogenic Carcinoma Arising Denovo with Distant Metastasis: A Case Report and Review of Literature.原发性伴远处转移的牙源性癌:一例报告并文献复习
J Clin Diagn Res. 2017 Aug;11(8):ZD01-ZD03. doi: 10.7860/JCDR/2017/28143.10445. Epub 2017 Aug 1.
Ghost cell odontogenic carcinoma.
牙源性影细胞癌
Int J Oral Maxillofac Surg. 2007 May;36(5):455-8. doi: 10.1016/j.ijom.2006.10.007. Epub 2006 Dec 1.
4
Clinical and radiological features of odontogenic ghost cell carcinoma: review of the literature and report of four new cases.牙源性影细胞癌的临床和影像学特征:文献综述及4例新病例报告
Dentomaxillofac Radiol. 2004 May;33(3):152-7. doi: 10.1259/dmfr/67909783.
5
Odontogenic ghost cell carcinoma.牙源性影细胞癌
Head Neck. 2004 Apr;26(4):378-81. doi: 10.1002/hed.10376.
6
The calcifying odontogenic cyst--a possible analogue of the cutaneous calcifying epithelioma of Malherbe. An analysis of fifteen cases.钙化性牙源性囊肿——可能类似于马尔赫贝皮肤钙化上皮瘤。15例病例分析。
Oral Surg Oral Med Oral Pathol. 1962 Oct;15:1235-43. doi: 10.1016/0030-4220(62)90159-7.
7
Odontogenic ghost cell carcinoma: report of four new cases and review of the literature.牙源性影细胞癌:4例新病例报告及文献复习
J Oral Pathol Med. 1999 Aug;28(7):323-9. doi: 10.1111/j.1600-0714.1999.tb02048.x.
8
Maxillary odontogenic carcinoma with distant metastasis to axillary skin, brain, and lung: case report.上颌牙源性癌伴腋窝皮肤、脑和肺远处转移:病例报告
Int J Oral Maxillofac Surg. 1995 Jun;24(3):229-32. doi: 10.1016/s0901-5027(06)80134-7.
9
Calcifying odontogenic cyst. Range, variations and neoplastic potential.牙源性钙化囊肿。范围、变异及肿瘤潜能。
Acta Odontol Scand. 1981;39(4):227-40. doi: 10.3109/00016358109162284.
10
Simultaneous occurrence of a calcifying odontogenic cyst and its malignant transformation.牙源性钙化囊肿及其恶性转化的同时发生。
Cancer. 1985 Dec 15;56(12):2861-4. doi: 10.1002/1097-0142(19851215)56:12<2861::aid-cncr2820561224>3.0.co;2-l.