Suppr超能文献

生物素对瑞士白化小鼠中链脲佐菌素诱导的1型糖尿病肝毒性和氧化应激的减轻作用

Attenuation of hepatotoxicity and oxidative stress in diabetes STZ-induced type 1 by biotin in Swiss albino mice.

作者信息

Aldahmash Badr Abdullah, El-Nagar Doaa Mohamed, Ibrahim Khalid Elfakki

机构信息

Zoology Department, College of Science, King Saud University, Riyadh, Saudi Arabia.

Zoology Department, College of Girls for Arts, Science and Education, Ain Shams University, Cairo, Egypt; Faculty of Science and Humanity Studies, Satam University, Hotat Bani Tamim, Saudi Arabia.

出版信息

Saudi J Biol Sci. 2016 Mar;23(2):311-7. doi: 10.1016/j.sjbs.2015.09.027. Epub 2015 Oct 9.

Abstract

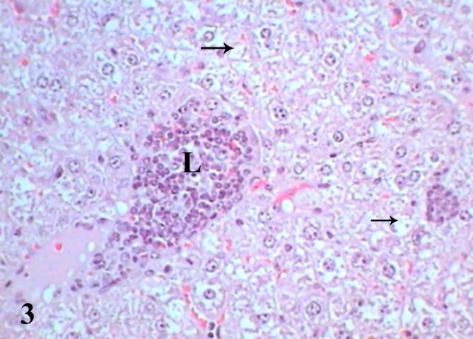
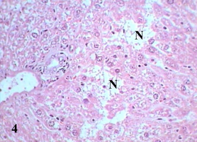
Diabetes mellitus is one of the major health problems. This study was designed to investigate the effect of biotin to regulate blood glucose level, reduced toxicity and oxidative stress in liver of diabetic mice STZ-induced type 1. Male mice were divided into three groups, the first one served as the control group, the second and the third groups received single ip dose of 150 mg/kg of STZ, the second group served as the untreated diabetic group, the third group received daily oral dose of 15 mg/kg of biotin, livers and liver index showed insignificant difference among groups. Blood glucose level showed a significant decrease in treated diabetic mice compared to untreated diabetic mice. Biochemical analysis showed a significant decrease in liver enzymes AST and ALT compared to the control group. Histopathological examination showed severe changes in untreated diabetic liver tissue manifested by dilated portal vein, leukocytic infiltration, fatty degeneration and moderate to severe histopathological score, whereas, treated diabetic mice with biotin showed reduction in hepatotoxicity represented by appearance of relative healthy hepatocytes and normal histopathological score. Immunohistochemistry of acrolein showed intense immunoreactions in liver section of untreated diabetic mice and faint immunoreactions in treated diabetic mice with biotin as evidence to oxidative stress reduction.

摘要

糖尿病是主要的健康问题之一。本研究旨在探讨生物素对调节血糖水平、降低1型链脲佐菌素诱导的糖尿病小鼠肝脏毒性和氧化应激的作用。雄性小鼠分为三组,第一组作为对照组,第二组和第三组腹腔注射150 mg/kg链脲佐菌素,第二组作为未治疗的糖尿病组,第三组每日口服15 mg/kg生物素,各组肝脏和肝脏指数无显著差异。与未治疗的糖尿病小鼠相比,治疗后的糖尿病小鼠血糖水平显著降低。生化分析显示,与对照组相比,肝脏酶AST和ALT显著降低。组织病理学检查显示,未治疗的糖尿病肝组织有严重变化,表现为门静脉扩张、白细胞浸润、脂肪变性和中度至重度组织病理学评分,而用生物素治疗的糖尿病小鼠肝毒性降低,表现为出现相对健康的肝细胞和正常的组织病理学评分。丙烯醛免疫组化显示,未治疗的糖尿病小鼠肝脏切片中有强烈的免疫反应,而用生物素治疗的糖尿病小鼠中有微弱的免疫反应,这证明氧化应激有所降低。

https://cdn.ncbi.nlm.nih.gov/pmc/blobs/4565/4778583/925a98e9a31f/gr1.jpg

文献AI研究员

20分钟写一篇综述,助力文献阅读效率提升50倍。

立即体验

用中文搜PubMed

大模型驱动的PubMed中文搜索引擎

马上搜索

文档翻译

学术文献翻译模型,支持多种主流文档格式。

立即体验