Suppr超能文献

肝上皮样血管内皮瘤的典型CT和MRI表现。

Typical CT and MRI signs of hepatic epithelioid hemangioendothelioma.

作者信息

Gan L U, Chang Ruiping, Jin Hualan, Yang L I

机构信息

Department of Radiology, Chinese People's Liberation Army General Hospital, Beijing 100853, P.R. China.

出版信息

Oncol Lett. 2016 Mar;11(3):1699-1706. doi: 10.3892/ol.2016.4149. Epub 2016 Jan 26.

Abstract

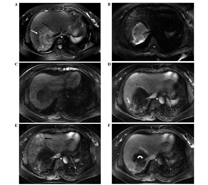
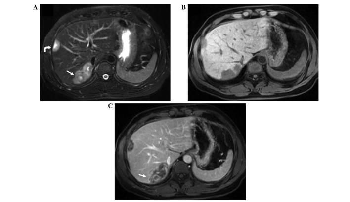
To investigate the typical magnetic resonance imaging (MRI) and computed tomography (CT) features of hepatic epithelioid hemangioendothelioma (HEH), the CT and MRI findings of 14 histopathologically confirmed cases of HEH were retrospectively analyzed. Non-contrast and dynamic contrast-enhanced scans were conducted in all cases. A total of 229 lesions were detected in the 14 cases. All cases were classified as one of three types: (i) Solitary nodular type (1 case, 7%); (ii) multifocal nodular type (11 cases, 79%); or (iii) diffuse type (2 cases, 14%). The diameter of the lesions ranged from 5 to 105 mm. For the first two types (solitary and multifocal nodular types), the CT findings included low density lesions with clear margins on non-contrast scans, centripetal enhancement in arterial phase, and homogeneous enhancement in the portal venous and delay phases. The findings of non-contrast MRI scans for these two types included low signal intensity on T1-weighted images, heterogeneous high signal intensity on T2-weighted images, and heterogeneous high signal intensity on diffusion-weighted images. The lesions were predominantly located in submarginal areas. On contrast-enhanced MRI, the findings for the first two types included peripheral ring-like enhancement with a central low signal intensity ('black target-like' sign) and a central enhanced core surrounded by a low signal intensity halo ('white target-like' sign). The findings for the third HEH type (diffuse type) on CT and MRI scans included low density or heterogeneous signal intensity lesions involving regions of part or the whole liver, coalescent lesions ('strip-like' sign), and gradual enhancement along central vessels ('lollipop' sign). Collectively, these findings indicate that the 'white target-like' sign, 'black target-like' sign, 'lollipop' sign and 'strip-like' sign, in addition to capsular contraction and submarginal location, on CT and MRI imaging may have implications for the diagnosis of HEH. Furthermore, a variety of MRI sequences may provide additional information for the differential diagnosis of HEH.

摘要

为研究肝上皮样血管内皮瘤(HEH)的典型磁共振成像(MRI)及计算机断层扫描(CT)特征,对14例经组织病理学确诊的HEH患者的CT和MRI表现进行回顾性分析。所有病例均行平扫及动态增强扫描。14例患者共检出229个病灶。所有病例分为以下三种类型之一:(i)孤立结节型(1例,7%);(ii)多灶结节型(11例,79%);或(iii)弥漫型(2例,14%)。病灶直径5~105 mm。前两种类型(孤立结节型和多灶结节型),CT表现为平扫低密度病灶,边界清晰,动脉期向心性强化,门静脉期及延迟期均匀强化。这两种类型的MRI平扫表现为T1加权像低信号,T2加权像不均匀高信号,扩散加权像不均匀高信号。病灶主要位于边缘下区域。增强MRI表现为前两种类型有周边环形强化,中央低信号(“黑靶征”)及中央强化灶周围有低信号晕(“白靶征”)。第三种HEH类型(弥漫型)的CT和MRI表现为低密度或信号不均匀的病灶累及部分或整个肝脏区域,融合病灶(“条带征”),沿中央血管逐渐强化(“棒棒糖征”)。总体而言,这些表现表明CT和MRI成像上的“白靶征”“黑靶征”“棒棒糖征”及“条带征”,以及包膜皱缩和边缘下位置,可能对HEH的诊断有提示意义。此外,多种MRI序列可为HEH的鉴别诊断提供更多信息。

https://cdn.ncbi.nlm.nih.gov/pmc/blobs/af96/4774430/22edbaf37d60/ol-11-03-1699-g01.jpg

文献AI研究员

20分钟写一篇综述,助力文献阅读效率提升50倍。

立即体验

用中文搜PubMed

大模型驱动的PubMed中文搜索引擎

马上搜索

文档翻译

学术文献翻译模型,支持多种主流文档格式。

立即体验