Suppr超能文献

迷迭香对大鼠后代脊髓中丙烯酰胺运动神经毒性的保护作用:产后随访研究

Protective effect of rosemary on acrylamide motor neurotoxicity in spinal cord of rat offspring: postnatal follow-up study.

作者信息

Al-Gholam Marwa A, Nooh Hanaa Zakaria, El-Mehi Abeer E, El-Barbary Abd El-Moneum, Fokar Ahmed Zo El

机构信息

Department of Anatomy and Embryology, Faculty of Medicine, Menoufia University, Shebeen El-Kom, Egypt.

出版信息

Anat Cell Biol. 2016 Mar;49(1):34-49. doi: 10.5115/acb.2016.49.1.34. Epub 2016 Mar 28.

Abstract

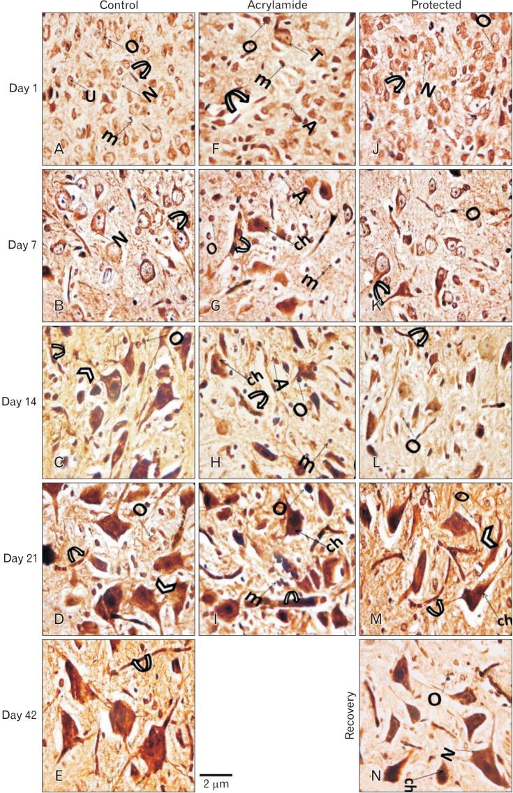
The direct interactive effects of rosemary and acrylamide on the development of motor neurons in the spinal cord remains unknown. Our goal is to confirm the protective effects of rosemary against motor neuronal degeneration induced by acrylamide in the developing postnatal rat spinal cord using a postnatal rat model. We assigned the offspring of treated female rats into control, rosemary; acrylamide group; and recovery groups. This work depended on clinical, histopathological, morphometrically, immunohistochemical and genetic methods. In the acrylamide group, we observed oxidation, motor neuron degeneration, apoptosis, myelin degeneration, neurofilament reduction, reactive gliosis. Whoever, concomitant rosemary intake and withdrawal of acrylamide modulate these effects. These findings proof that dietary rosemary can directly protect motor neuron against acrylamide toxicity in the mammalian developing spinal cord.

摘要

迷迭香和丙烯酰胺对脊髓运动神经元发育的直接交互作用尚不清楚。我们的目标是使用新生大鼠模型,确认迷迭香对新生大鼠发育中的脊髓中丙烯酰胺诱导的运动神经元变性的保护作用。我们将经处理的雌性大鼠的后代分为对照组、迷迭香组、丙烯酰胺组和恢复组。这项工作依赖于临床、组织病理学、形态计量学、免疫组织化学和遗传学方法。在丙烯酰胺组中,我们观察到氧化、运动神经元变性、凋亡、髓鞘变性、神经丝减少、反应性胶质增生。然而,同时摄入迷迭香并停用丙烯酰胺可调节这些效应。这些发现证明,在哺乳动物发育中的脊髓中,膳食迷迭香可直接保护运动神经元免受丙烯酰胺毒性的影响。

https://cdn.ncbi.nlm.nih.gov/pmc/blobs/4ee1/4819076/835a9d8526c0/acb-49-34-g001.jpg

相似文献

1
Protective effect of rosemary on acrylamide motor neurotoxicity in spinal cord of rat offspring: postnatal follow-up study.
Anat Cell Biol. 2016 Mar;49(1):34-49. doi: 10.5115/acb.2016.49.1.34. Epub 2016 Mar 28.
2
Neurobehavioral alterations and histopathological changes in brain and spinal cord of rats intoxicated with acrylamide.
Toxicol Ind Health. 2016 Mar;32(3):526-40. doi: 10.1177/0748233713505893. Epub 2013 Nov 5.
3
Neuroprotective effect of vitamin e supplementation in wistar rat treated with acrylamide.
Toxicol Int. 2012 Jan;19(1):1-8. doi: 10.4103/0971-6580.94505.
4
Influence of acrylamide on the gastric mucosa of adult albino rats and the possible protective role of rosemary.
Tissue Cell. 2015 Jun;47(3):273-83. doi: 10.1016/j.tice.2015.03.005. Epub 2015 Apr 1.
5
Effect of acrylamide on neurological recovery following spinal cord injury in rats.
Acta Neurochir (Wien). 1999;141(9):989-98; discussion 998-9. doi: 10.1007/s007010050406.
6
Acrylamide neuropathy. II. Spatiotemporal characteristics of nerve cell damage in brainstem and spinal cord.
Neurotoxicology. 2002 Sep;23(3):415-29. doi: 10.1016/s0161-813x(02)00080-3.
7
Acrylamide neuropathy. II. Spatiotemporal characteristics of nerve cell damage in brainstem and spinal cord.
Neurotoxicology. 2003 Jan;24(1):109-23. doi: 10.1016/s0161-813x(02)00192-4.
8
Metformin Protects against Experimental Acrylamide Neuropathy in Rats.
Drug Dev Res. 2017 Nov;78(7):349-359. doi: 10.1002/ddr.21400. Epub 2017 Aug 3.
9
Selenomethionine protects against neuronal degeneration by methylmercury in the developing rat cerebrum.
Environ Sci Technol. 2013 Mar 19;47(6):2862-8. doi: 10.1021/es304226h. Epub 2013 Feb 25.

本文引用的文献

1
Neuroprotective Effect of Calpeptin on Acrylamide-Induced Neuropathy in Rats.
Neurochem Res. 2015 Nov;40(11):2325-32. doi: 10.1007/s11064-015-1722-y. Epub 2015 Sep 30.
3
Acrylamide exposure impairs blood-cerebrospinal fluid barrier function.
Neural Regen Res. 2014 Mar 1;9(5):555-60. doi: 10.4103/1673-5374.130080.
4
Effects of rutin on acrylamide-induced neurotoxicity.
Daru. 2014 Feb 13;22(1):27. doi: 10.1186/2008-2231-22-27.
5
Myricitrin inhibits acrylamide-mediated cytotoxicity in human Caco-2 cells by preventing oxidative stress.
Biomed Res Int. 2013;2013:724183. doi: 10.1155/2013/724183. Epub 2013 Oct 9.
7
Protein targets of acrylamide adduct formation in cultured rat dopaminergic cells.
Toxicol Lett. 2013 Jun 7;219(3):279-87. doi: 10.1016/j.toxlet.2013.03.031. Epub 2013 Apr 6.
8
Prenatal and perinatal acrylamide disrupts the development of cerebellum in rat: Biochemical and morphological studies.
Toxicol Ind Health. 2011 May;27(4):291-306. doi: 10.1177/0748233710386412. Epub 2011 Feb 10.
9
[General survey of mechanisms of acrylamide neurotoxicity].
Wei Sheng Yan Jiu. 2010 May;39(3):282-5.
10
Estimation of the dietary acrylamide exposure of the Polish population.
Food Chem Toxicol. 2010 Aug-Sep;48(8-9):2090-6. doi: 10.1016/j.fct.2010.05.009. Epub 2010 May 12.

文献AI研究员

20分钟写一篇综述,助力文献阅读效率提升50倍。

立即体验

用中文搜PubMed

大模型驱动的PubMed中文搜索引擎

马上搜索

文档翻译

学术文献翻译模型,支持多种主流文档格式。

立即体验