• 文献检索
  • 文档翻译
  • 深度研究
  • 学术资讯
  • Suppr Zotero 插件Zotero 插件
  • 邀请有礼
  • 套餐&价格
  • 历史记录
应用&插件
Suppr Zotero 插件Zotero 插件浏览器插件Mac 客户端Windows 客户端微信小程序
定价
高级版会员购买积分包购买API积分包
服务
文献检索文档翻译深度研究API 文档MCP 服务
关于我们
关于 Suppr公司介绍联系我们用户协议隐私条款
关注我们

Suppr 超能文献

核心技术专利:CN118964589B侵权必究
粤ICP备2023148730 号-1Suppr @ 2026

文献检索

告别复杂PubMed语法,用中文像聊天一样搜索,搜遍4000万医学文献。AI智能推荐,让科研检索更轻松。

立即免费搜索

文件翻译

保留排版,准确专业,支持PDF/Word/PPT等文件格式,支持 12+语言互译。

免费翻译文档

深度研究

AI帮你快速写综述,25分钟生成高质量综述,智能提取关键信息,辅助科研写作。

立即免费体验

脑曲霉病的磁共振成像:影像学与病理对照

Magnetic Resonance Imaging of Cerebral Aspergillosis: Imaging and Pathological Correlations.

作者信息

Marzolf Guillaume, Sabou Marcela, Lannes Béatrice, Cotton François, Meyronet David, Galanaud Damien, Cottier Jean-Philippe, Grand Sylvie, Desal Hubert, Kreutz Julie, Schenck Maleka, Meyer Nicolas, Schneider Francis, Dietemann Jean-Louis, Koob Meriam, Herbrecht Raoul, Kremer Stéphane

机构信息

Département de Neuroradiologie, Hôpitaux Universitaires de Strasbourg, Strasbourg, France.

Laboratoire de Parasitologie et de Mycologie Médicale, Hôpitaux Universitaires de Strasbourg, Strasbourg, France.

出版信息

PLoS One. 2016 Apr 20;11(4):e0152475. doi: 10.1371/journal.pone.0152475. eCollection 2016.

DOI:10.1371/journal.pone.0152475
PMID:27097323
原文链接:https://pmc.ncbi.nlm.nih.gov/articles/PMC4838310/
Abstract

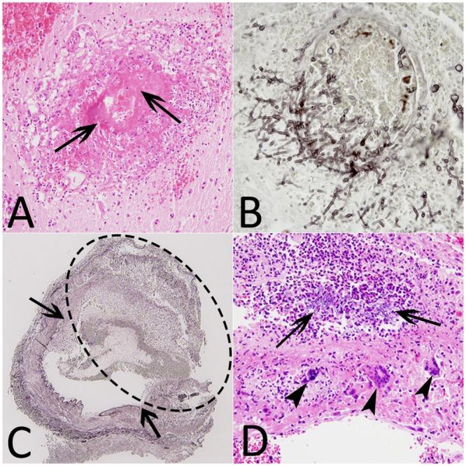
Cerebral aspergillosis is associated with a significant morbidity and mortality rate. The imaging data present different patterns and no full consensus exists on typical imaging characteristics of the cerebral lesions. We reviewed MRI findings in 21 patients with cerebral aspergillosis and correlated them to the immune status of the patients and to neuropathological findings when tissue was available. The lesions were characterized by their number, topography, and MRI signal. Dissemination to the brain resulted from direct spread from paranasal sinuses in 8 patients, 6 of them being immunocompetent. Hematogenous dissemination was observed in 13 patients, all were immunosuppressed. In this later group we identified a total of 329 parenchymal abscesses involving the whole brain with a predilection for the corticomedullary junction. More than half the patients had a corpus callosum lesion. Hemorrhagic lesions accounted for 13% and contrast enhancement was observed in 61% of the lesions. Patients with hematogenous dissemination were younger (p = 0.003), had more intracranial lesions (p = 0.0004) and had a higher 12-week mortality rate (p = 0.046) than patients with direct spread from paranasal sinuses. Analysis of 12 aneurysms allowed us to highlight two distinct situations. In case of direct spread from the paranasal sinuses, aneurysms are saccular and located on the proximal artery portions, while the hematogenous dissemination in immunocompromised patients is more frequently associated with distal and fusiform aneurysms. MRI is the exam of choice for cerebral aspergillosis. Number and type of lesions are different according to the mode of dissemination of the infection.

摘要

脑曲霉病与较高的发病率和死亡率相关。影像学数据呈现出不同的模式,对于脑病变的典型影像学特征尚无完全一致的看法。我们回顾了21例脑曲霉病患者的MRI表现,并将其与患者的免疫状态以及有组织样本时的神经病理学结果进行关联。病变通过数量、部位和MRI信号进行特征描述。8例患者的脑部感染是由鼻窦直接蔓延所致,其中6例免疫功能正常。13例患者观察到血行播散,均为免疫抑制患者。在这后一组中,我们共识别出329个脑实质脓肿,累及全脑,以皮质髓质交界区最为常见。超过半数患者有胼胝体病变。出血性病变占13%,61%的病变有强化表现。血行播散的患者比鼻窦直接蔓延的患者更年轻(p = 0.003),颅内病变更多(p = 0.0004),12周死亡率更高(p = 0.046)。对12个动脉瘤的分析使我们能够突出两种不同情况。鼻窦直接蔓延时,动脉瘤呈囊状,位于动脉近端部分,而免疫功能低下患者的血行播散更常与远端梭形动脉瘤相关。MRI是脑曲霉病的首选检查方法。根据感染的播散方式,病变的数量和类型有所不同。

https://cdn.ncbi.nlm.nih.gov/pmc/blobs/2ca3/4838310/591129660ea9/pone.0152475.g008.jpg
https://cdn.ncbi.nlm.nih.gov/pmc/blobs/2ca3/4838310/554c58e74693/pone.0152475.g001.jpg
https://cdn.ncbi.nlm.nih.gov/pmc/blobs/2ca3/4838310/72bcfb5b95ac/pone.0152475.g002.jpg
https://cdn.ncbi.nlm.nih.gov/pmc/blobs/2ca3/4838310/00917159f42d/pone.0152475.g003.jpg
https://cdn.ncbi.nlm.nih.gov/pmc/blobs/2ca3/4838310/29a39132fe18/pone.0152475.g004.jpg
https://cdn.ncbi.nlm.nih.gov/pmc/blobs/2ca3/4838310/d1d546e6ea56/pone.0152475.g005.jpg
https://cdn.ncbi.nlm.nih.gov/pmc/blobs/2ca3/4838310/c1b10cb30134/pone.0152475.g006.jpg
https://cdn.ncbi.nlm.nih.gov/pmc/blobs/2ca3/4838310/2f97a20af4c0/pone.0152475.g007.jpg
https://cdn.ncbi.nlm.nih.gov/pmc/blobs/2ca3/4838310/591129660ea9/pone.0152475.g008.jpg
https://cdn.ncbi.nlm.nih.gov/pmc/blobs/2ca3/4838310/554c58e74693/pone.0152475.g001.jpg
https://cdn.ncbi.nlm.nih.gov/pmc/blobs/2ca3/4838310/72bcfb5b95ac/pone.0152475.g002.jpg
https://cdn.ncbi.nlm.nih.gov/pmc/blobs/2ca3/4838310/00917159f42d/pone.0152475.g003.jpg
https://cdn.ncbi.nlm.nih.gov/pmc/blobs/2ca3/4838310/29a39132fe18/pone.0152475.g004.jpg
https://cdn.ncbi.nlm.nih.gov/pmc/blobs/2ca3/4838310/d1d546e6ea56/pone.0152475.g005.jpg
https://cdn.ncbi.nlm.nih.gov/pmc/blobs/2ca3/4838310/c1b10cb30134/pone.0152475.g006.jpg
https://cdn.ncbi.nlm.nih.gov/pmc/blobs/2ca3/4838310/2f97a20af4c0/pone.0152475.g007.jpg
https://cdn.ncbi.nlm.nih.gov/pmc/blobs/2ca3/4838310/591129660ea9/pone.0152475.g008.jpg

相似文献

1
Magnetic Resonance Imaging of Cerebral Aspergillosis: Imaging and Pathological Correlations.脑曲霉病的磁共振成像:影像学与病理对照
PLoS One. 2016 Apr 20;11(4):e0152475. doi: 10.1371/journal.pone.0152475. eCollection 2016.
2
Aspergillosis of the brain and paranasal sinuses in immunocompromised patients: CT and MR imaging findings.免疫功能低下患者的脑和鼻窦曲霉菌病:CT和MR成像表现
AJR Am J Roentgenol. 1994 Jan;162(1):155-9. doi: 10.2214/ajr.162.1.8273655.
3
Diagnostic MR imaging features of craniocerebral Aspergillosis of sino-nasal origin in immunocompetent patients.免疫功能正常患者鼻窦源性颅脑曲霉菌病的诊断性磁共振成像特征
Acta Neurochir (Wien). 2006 Feb;148(2):155-66; discussion 166. doi: 10.1007/s00701-005-0659-3. Epub 2005 Nov 9.
4
Conventional and diffusion-weighted MR imaging of cerebral aspergillosis.脑曲霉病的传统磁共振成像和扩散加权磁共振成像
Diagn Interv Radiol. 2005 Dec;11(4):199-201.
5
Invasive central nervous system aspergillosis in bone marrow transplantation recipients: an overview.骨髓移植受者的侵袭性中枢神经系统曲霉病:概述
Eur Radiol. 2003 Feb;13(2):377-88. doi: 10.1007/s00330-002-1480-5. Epub 2002 Jun 28.
6
Disseminated aspergillosis involving the brain: distribution and imaging characteristics.播散性曲霉病累及脑部:分布及影像学特征
AJNR Am J Neuroradiol. 1999 Oct;20(9):1597-604.
7
Relevant imaging findings of cerebral aspergillosis on MRI: a retrospective case-based study in immunocompromised patients.脑曲霉病在MRI上的相关影像学表现:一项针对免疫功能低下患者的回顾性病例研究
Eur J Neurol. 2007 May;14(5):548-55. doi: 10.1111/j.1468-1331.2007.01755.x.
8
[Cerebral aspergillosis in immunocompetent patients: three case reports].[免疫功能正常患者的脑曲霉病:三例报告]
Rev Neurol (Paris). 2009 Nov;165(11):957-61. doi: 10.1016/j.neurol.2009.02.008. Epub 2009 Oct 9.
9
CT and MR findings of brain aspergillosis.脑曲霉病的CT和MR表现
Comput Med Imaging Graph. 2003 Nov-Dec;27(6):489-92. doi: 10.1016/s0895-6111(03)00033-8.
10
[Focal brain lesion due to cerebral aspergillosis in a patient with AIDS. Case report and literature review].[艾滋病患者脑曲霉病所致局灶性脑病变。病例报告及文献综述]
Rev Chilena Infectol. 2017 Oct;34(5):502-506. doi: 10.4067/S0716-10182017000500502.

引用本文的文献

1
Angiographically occult catastrophe: A rare case of aspergillus-induced subarachnoid hemorrhage without mycotic aneurysms following apparent bacterial abscess resolution.血管造影隐匿性灾难:1例罕见的曲霉属感染导致蛛网膜下腔出血,在明显的细菌性脓肿消退后未出现真菌性动脉瘤。
Med Mycol Case Rep. 2025 Jun 10;49:100714. doi: 10.1016/j.mmcr.2025.100714. eCollection 2025 Sep.
2
CNS Aspergillosis: A Downside of Corticosteroid Use.中枢神经系统曲霉病:使用皮质类固醇的一个不利方面。
Cureus. 2024 Jun 9;16(6):e62018. doi: 10.7759/cureus.62018. eCollection 2024 Jun.
3
Aneurysm, meningitis, and subarachnoid hemorrhage secondary to intracranial in an immunocompetent patient: a case description.

本文引用的文献

1
The etiology of ring lesions on diffusion-weighted imaging.扩散加权成像上环形病变的病因
Neuroradiol J. 2014 Jun;27(3):280-7. doi: 10.15274/NRJ-2014-10036. Epub 2014 Jun 17.
2
MRI of CNS fungal infections: review of aspergillosis to histoplasmosis and everything in between.中枢神经系统真菌感染的磁共振成像:从曲霉病到组织胞浆菌病及其间所有疾病的综述
Clin Neuroradiol. 2014 Sep;24(3):217-30. doi: 10.1007/s00062-014-0305-7. Epub 2014 May 29.
3
Cerebral aspergillosis with multiple enhancing nodules in the right cerebral hemisphere in the immune-competent patient.
免疫功能正常患者颅内继发的动脉瘤、脑膜炎和蛛网膜下腔出血:病例描述
Quant Imaging Med Surg. 2024 Mar 15;14(3):2713-2720. doi: 10.21037/qims-23-1404. Epub 2024 Mar 4.
4
Evolution of neuroimaging findings in angioinvasive cerebral aspergillosis in a pediatric patient with leukemia during long-term observation.在长期观察期间,白血病患儿罹患血管侵袭性脑曲霉病的神经影像学表现演变。
BMC Infect Dis. 2023 Nov 17;23(1):811. doi: 10.1186/s12879-023-08483-7.
5
Imaging Findings in Aspergillosis: From Head to Toe.曲霉病的影像学表现:从头到脚
Mycopathologia. 2023 Oct;188(5):623-641. doi: 10.1007/s11046-023-00766-6. Epub 2023 Jun 28.
6
Invasive Fungal Infections after Liver Transplantation.肝移植术后侵袭性真菌感染
J Clin Med. 2023 Apr 30;12(9):3238. doi: 10.3390/jcm12093238.
7
Infection due to Aspergillus flavus and Rhizopus oryzae complex in a patient with diabetes mellitus.黄曲霉和米根霉复合感染 1 例糖尿病患者
Biomedica. 2023 Mar 30;43(1):27-36. doi: 10.7705/biomedica.6358.
8
Successful Multimodal Therapy with Intracerebral Liposomal Amphotericin B and Systemic High-Dose Isavuconazole in Proven Disseminated Aspergillosis.脑内注射脂质体两性霉素B联合全身高剂量艾沙康唑成功治疗确诊的播散性曲霉病
J Fungi (Basel). 2023 Mar 7;9(3):327. doi: 10.3390/jof9030327.
9
cerebral abscess and sphenoid sinus osteomyelitis in an immunocompetent patient following previous nasopharyngeal carcinoma and radiotherapy.一名既往有鼻咽癌及放疗史的免疫功能正常患者发生脑脓肿和蝶窦骨髓炎。
J Surg Case Rep. 2021 Sep 22;2021(9):rjab402. doi: 10.1093/jscr/rjab402. eCollection 2021 Sep.
10
Invasive sinus aspergillosis with mycotic aneurysm of the vertebral artery and subarachnoid hemorrhage - Case report.侵袭性鼻窦曲霉菌病伴椎动脉霉菌性动脉瘤及蛛网膜下腔出血——病例报告
Radiol Case Rep. 2021 Jul 16;16(9):2651-2657. doi: 10.1016/j.radcr.2021.06.041. eCollection 2021 Sep.
免疫功能正常的患者右侧大脑半球出现多个强化结节的脑曲霉病。
J Korean Neurosurg Soc. 2013 May;53(5):312-5. doi: 10.3340/jkns.2013.53.5.312. Epub 2013 May 31.
4
Mycotic aneurysm due to Aspergillus sinusitis.曲霉菌性鼻窦炎所致霉菌性动脉瘤。
Int J Hematol. 2013 Jul;98(1):4-5. doi: 10.1007/s12185-013-1369-x. Epub 2013 May 21.
5
Disseminated Trichosporon mycotoxinivorans, Aspergillus fumigatus, and Scedosporium apiospermum coinfection after lung and liver transplantation in a cystic fibrosis patient.肺和肝移植后囊性纤维化患者播散性毛孢子菌属霉菌毒素分解菌、烟曲霉和枝顶孢属感染。
J Clin Microbiol. 2012 Dec;50(12):4168-70. doi: 10.1128/JCM.01928-12. Epub 2012 Oct 3.
6
Invasive aspergillosis of the brain: radiologic-pathologic correlation.脑侵袭性曲霉病:影像学与病理学相关性
Radiographics. 2009 Mar-Apr;29(2):375-9. doi: 10.1148/rg.292075143.
7
Revised definitions of invasive fungal disease from the European Organization for Research and Treatment of Cancer/Invasive Fungal Infections Cooperative Group and the National Institute of Allergy and Infectious Diseases Mycoses Study Group (EORTC/MSG) Consensus Group.欧洲癌症研究与治疗组织/侵袭性真菌感染合作组和美国国立过敏与传染病研究所真菌病研究组(EORTC/MSG)共识组对侵袭性真菌病的修订定义。
Clin Infect Dis. 2008 Jun 15;46(12):1813-21. doi: 10.1086/588660.
8
Differentiating intracranial aspergillosis from a high grade glioma using MRI and MR spectroscopic imaging.
J Neuroimaging. 2007 Oct;17(4):361-6. doi: 10.1111/j.1552-6569.2007.00105.x.
9
Diffusion-weighted imaging in brain aspergillosis.脑部曲霉菌病的扩散加权成像
Eur J Neurol. 2007 Aug;14(8):912-6. doi: 10.1111/j.1468-1331.2007.01874.x.
10
Relevant imaging findings of cerebral aspergillosis on MRI: a retrospective case-based study in immunocompromised patients.脑曲霉病在MRI上的相关影像学表现:一项针对免疫功能低下患者的回顾性病例研究
Eur J Neurol. 2007 May;14(5):548-55. doi: 10.1111/j.1468-1331.2007.01755.x.