Suppr超能文献

韩国一名患有加湿器消毒剂相关性间质性肺疾病儿童的首例成功心肺移植手术

The First Successful Heart-Lung Transplant in a Korean Child with Humidifier Disinfectant-Associated Interstitial Lung Disease.

作者信息

Jhang Won Kyoung, Park Seong Jong, Lee Eun, Yang Song I, Hong Soo Jong, Seo Ju-Hee, Kim Hyung-Young, Park Jeong-Jun, Yun Tae-Jin, Kim Hyeong Ryul, Kim Yong-Hee, Kim Dong Kwan, Park Seung-Il, Lee Sang-Oh, Hong Sang-Bum, Shim Tae-Sun, Choi In-Cheol, Yu Jinho

机构信息

Department of Pediatrics, Asan Medical Center Children's Hospital, College of Medicine, University of Ulsan, Seoul, Korea .

Department of Pediatrics, Korea Cancer Center Hospital, Seoul, Korea .

出版信息

J Korean Med Sci. 2016 May;31(5):817-21. doi: 10.3346/jkms.2016.31.5.817. Epub 2016 Mar 25.

Abstract

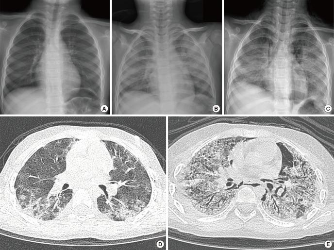
From 2006 to 2011, an outbreak of a particular type of childhood interstitial lung disease occurred in Korea. The condition was intractable and progressed to severe respiratory failure, with a high mortality rate. Moreover, in several familial cases, the disease affected young women and children simultaneously. Epidemiologic, animal, and post-interventional studies identified the cause as inhalation of humidifier disinfectants. Here, we report a 4-year-old girl who suffered from severe progressive respiratory failure. She could survive by 100 days of extracorporeal membrane oxygenation support and finally, underwent heart-lung transplantation. This is the first successful pediatric heart-lung transplantation carried out in Korea.

摘要

2006年至2011年期间,韩国爆发了一种特殊类型的儿童间质性肺病。这种疾病难以治疗,会发展为严重的呼吸衰竭,死亡率很高。此外,在一些家族病例中,该疾病同时影响年轻女性和儿童。流行病学、动物实验和干预后研究确定病因是吸入加湿器消毒剂。在此,我们报告一名患有严重进行性呼吸衰竭的4岁女孩。她通过100天的体外膜肺氧合支持得以存活,最终接受了心肺移植。这是韩国首例成功的小儿心肺移植手术。

https://cdn.ncbi.nlm.nih.gov/pmc/blobs/0c20/4835612/c0213df81636/jkms-31-817-g001.jpg

文献AI研究员

20分钟写一篇综述,助力文献阅读效率提升50倍。

立即体验

用中文搜PubMed

大模型驱动的PubMed中文搜索引擎

马上搜索

文档翻译

学术文献翻译模型,支持多种主流文档格式。

立即体验