Suppr超能文献

局部应用地塞米松后,人牙髓对使用MTA进行直接盖髓和微型牙髓切断术的反应:一项随机临床试验

Human Pulp Response to Direct Pulp Capping and Miniature Pulpotomy with MTA after Application of Topical Dexamethasone: A Randomized Clinical Trial.

作者信息

Mousavi Seyed Amir, Ghoddusi Jamileh, Mohtasham Nooshin, Shahnaseri Shirin, Paymanpour Payam, Kinoshita Jun-Ichiro

机构信息

Torabinejad Dental Research Center, Department of Endodontics, Dental School, Isfahan University of Medical Sciences, Isfahan, Iran;

Dental Research Center, Dental School, Mashhad University of Medical Sciences, Mashhad, Iran;

出版信息

Iran Endod J. 2016 Spring;11(2):85-90. doi: 10.7508/iej.2016.02.002. Epub 2016 Mar 20.

Abstract

INTRODUCTION

The aim of this randomized clinical trial was to compare the histologic pulp tissue response to one-step direct pulp capping (DPC) and miniature pulpotomy (MP) with mineral trioxide aggregate (MTA) after application of dexamethasone in healthy human premolars.

METHODS AND MATERIALS

Forty intact premolars from 10 orthodontic patients, were randomly chosen for DPC (n=20) or MP (n=20). In 10 teeth from each group, after exposure of the buccal pulp horn, topical dexamethasone was applied over the pulp. In all teeth the exposed/miniaturely resected pulp tissue was covered with MTA and cavities were restored with glass ionomer. Teeth vitality was evaluated during the next 7, 21, 42, and 60 days. Signs and/or symptoms of irreversible pulpitis or pulp necrosis were considered as failure. According to the orthodontic schedule, after 60 days the teeth were extracted and submitted for histological examination. The Kruskal-Wallis and Fisher's exact tests were used for statistical analysis of the data (P=0.05).

RESULTS

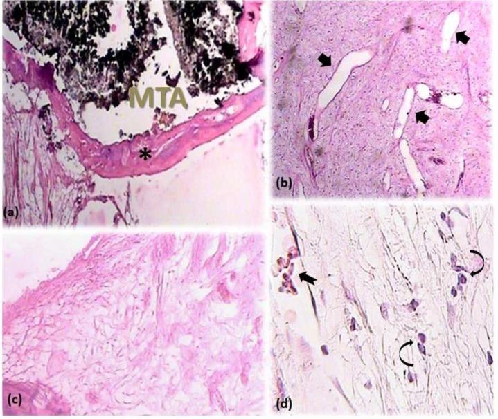
Although dexamethasone specimens showed less inflammation, calcified bridge, pulpal blood vasculature, collagen fibers and granulation tissue formation were not significantly different between the groups (P>0.05).

CONCLUSION

Topical dexamethasone did not hindered pulp healing but reduced the amount of underlying pulpal tissue inflammation after DPC and MP in healthy human premolars.

摘要

引言

本随机临床试验的目的是比较在健康人前磨牙应用地塞米松后,一步法直接盖髓术(DPC)和用三氧化矿物凝聚体(MTA)进行的微型牙髓切断术(MP)对牙髓组织的组织学反应。

方法和材料

从10名正畸患者中选取40颗完整的前磨牙,随机分为DPC组(n = 20)或MP组(n = 20)。每组10颗牙齿,在暴露颊侧牙髓角后,将地塞米松局部应用于牙髓。所有牙齿中,暴露/微型切除的牙髓组织均用MTA覆盖,窝洞用玻璃离子修复。在接下来的7、21、42和60天评估牙齿活力。不可逆性牙髓炎或牙髓坏死的体征和/或症状被视为失败。根据正畸计划,60天后拔除牙齿并进行组织学检查。采用Kruskal-Wallis检验和Fisher精确检验对数据进行统计分析(P = 0.05)。

结果

尽管地塞米松标本显示炎症较少,但两组之间钙化桥、牙髓血管系统、胶原纤维和肉芽组织形成无显著差异(P>0.05)。

结论

局部应用地塞米松并不妨碍牙髓愈合,但可减少健康人前磨牙DPC和MP后牙髓组织的炎症程度。

https://cdn.ncbi.nlm.nih.gov/pmc/blobs/1229/4841340/48ededcb8411/iej-11-085-g001.jpg

文献AI研究员

20分钟写一篇综述,助力文献阅读效率提升50倍。

立即体验

用中文搜PubMed

大模型驱动的PubMed中文搜索引擎

马上搜索

文档翻译

学术文献翻译模型,支持多种主流文档格式。

立即体验