Suppr超能文献

皮脂腺痣中出现的四种不同肿瘤。

Four Different Tumors Arising in a Nevus Sebaceous.

作者信息

Namiki Takeshi, Miura Keiko, Ueno Makiko, Arima Yumi, Nishizawa Aya, Yokozeki Hiroo

机构信息

Department of Dermatology, Graduate School of Medical and Dental Sciences, Tokyo Medical and Dental University, Tokyo, Japan.

Department of Pathology, Graduate School of Medical and Dental Sciences, Tokyo Medical and Dental University, Tokyo, Japan.

出版信息

Case Rep Dermatol. 2016 Apr 20;8(1):75-9. doi: 10.1159/000445822. eCollection 2016 Jan-Apr.

Abstract

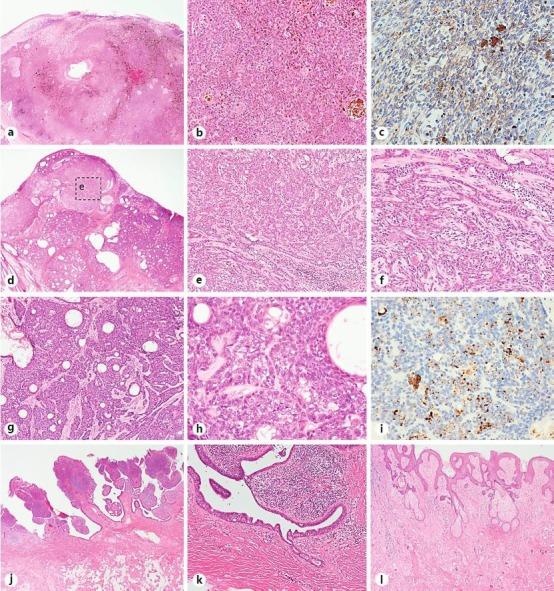
Nevus sebaceous is known by its association with one or more secondary tumors, but more than three multiple tumors arising from a nevus sebaceous is extremely rare. A 67-year-old female presented with a light brown plaque on the back of her head that contained a dome-shaped black node and an erosive lesion. Histopathological examination showed atypical basaloid cells in the black node. At the periphery of that node, structures resembling follicular germs extruded from interlacing cords in the upper portion and tumor nests with sebocytes were in the lower portion. In the erosive lesion, papillated structures with an apocrine epithelium were observed. In the light brown plaque, enlargement of sebaceous lobules was noted. From those histopathological features, a diagnosis of syringocystadenoma papilliferum, sebaceoma, trichoblastoma and basal cell carcinoma arising from a nevus sebaceous was made. We discuss the rarity of multiple tumors arising from a nevus sebaceous.

摘要

皮脂腺痣因其与一种或多种继发性肿瘤相关而为人所知,但由皮脂腺痣引发三种以上的多发性肿瘤极为罕见。一名67岁女性,其头后部出现一块浅褐色斑块,斑块上有一个圆顶状黑色结节和一个糜烂性病变。组织病理学检查显示黑色结节中有非典型基底样细胞。在该结节周边,上部有类似从交错索状结构中挤出的毛囊胚芽的结构,下部有含皮脂腺细胞的肿瘤巢。在糜烂性病变中,观察到具有大汗腺上皮的乳头状结构。在浅褐色斑块中,可见皮脂腺小叶增大。根据这些组织病理学特征,诊断为由皮脂腺痣引发的乳头状汗腺囊腺瘤、皮脂腺瘤、毛母细胞瘤和基底细胞癌。我们讨论了皮脂腺痣引发多发性肿瘤的罕见性。

https://cdn.ncbi.nlm.nih.gov/pmc/blobs/1778/4868937/af536ef19b1d/cde-0008-0075-g01.jpg

文献AI研究员

20分钟写一篇综述,助力文献阅读效率提升50倍。

立即体验

用中文搜PubMed

大模型驱动的PubMed中文搜索引擎

马上搜索

文档翻译

学术文献翻译模型,支持多种主流文档格式。

立即体验