• 文献检索
  • 文档翻译
  • 深度研究
  • 学术资讯
  • Suppr Zotero 插件Zotero 插件
  • 邀请有礼
  • 套餐&价格
  • 历史记录
应用&插件
Suppr Zotero 插件Zotero 插件浏览器插件Mac 客户端Windows 客户端微信小程序
定价
高级版会员购买积分包购买API积分包
服务
文献检索文档翻译深度研究API 文档MCP 服务
关于我们
关于 Suppr公司介绍联系我们用户协议隐私条款
关注我们

Suppr 超能文献

核心技术专利:CN118964589B侵权必究
粤ICP备2023148730 号-1Suppr @ 2026

文献检索

告别复杂PubMed语法,用中文像聊天一样搜索,搜遍4000万医学文献。AI智能推荐,让科研检索更轻松。

立即免费搜索

文件翻译

保留排版,准确专业,支持PDF/Word/PPT等文件格式,支持 12+语言互译。

免费翻译文档

深度研究

AI帮你快速写综述,25分钟生成高质量综述,智能提取关键信息,辅助科研写作。

立即免费体验

丙硫氧嘧啶诱发的血管炎伴肺泡出血:经临床、实验室、计算机断层扫描及支气管镜检查结果证实的病例报告及文献综述

Propylthiouracil-Induced Vasculitis With Alveolar Hemorrhage Confirmed by Clinical, Laboratory, Computed Tomography, and Bronchoscopy Findings: A Case Report and Literature Review.

作者信息

Chen Bo, Yang Xiaoqing, Sun Shihai, Guo Weina, Li Xiaosheng, Zhang Lei, Guo Zhongliang, Han Jie, Li Ning

机构信息

Department of Radiologic Medicine, Shanghai East Hospital, Tongji University School of Medicine, Shanghai, China.

Department of Internal Medicine, Shanghai East Hospital, Tongji University School of Medicine, Shanghai, China.

出版信息

Iran Red Crescent Med J. 2016 Feb 1;18(4):e23320. doi: 10.5812/ircmj.23320. eCollection 2016 Apr.

DOI:10.5812/ircmj.23320
PMID:27257510
原文链接:https://pmc.ncbi.nlm.nih.gov/articles/PMC4888935/
Abstract

INTRODUCTION

Propylthiouracil (PTU) is commonly used to treat hyperthyroidism and can induce antineutrophil cytoplasmic antibody (ANCA)-associated vasculitis. Although this is a rare side effect, ANCA-associated vasculitis can progress to severe disease if its diagnosis and treatment are delayed, leading to a poor prognosis.

CASE PRESENTATION

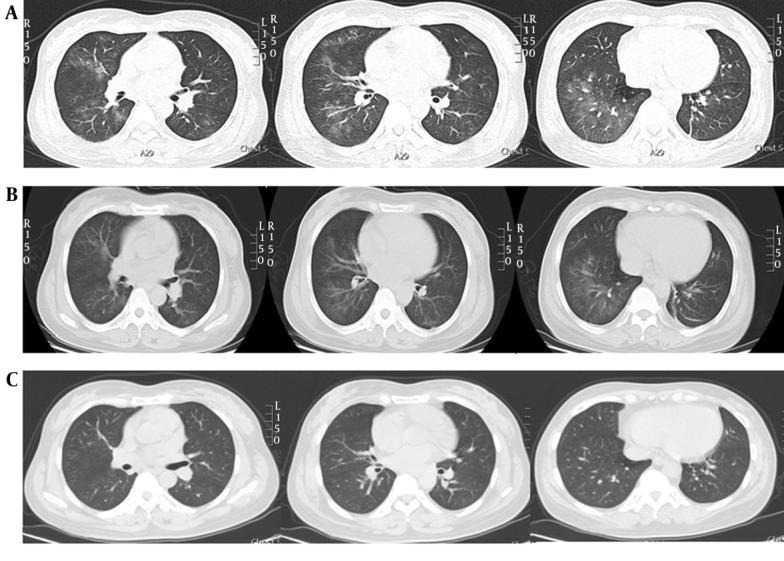
A 43-year-old woman with Graves' disease developed pulmonary vasculitis and diffuse alveolar hemorrhage (DAH) associated with ANCA against myeloperoxidase and proteinase-3 that was confirmed by computed tomography (CT) and bronchoscopy and treated with PTU. The symptoms and signs of alveolar hemorrhage were rapidly resolved after PTU withdrawal and treatment with corticosteroids. After 6 months of follow-up, the patient maintained complete ANCA-negative clinical remission status, as confirmed by normal CT and bronchoscopy findings. To our knowledge, this is the first documented case of bronchoscopic comparison of PTU-induced DAH before and after steroid treatment.

CONCLUSIONS

Patients treated with PTU should be closely monitored and followed up, even if the drug has been used for several years. When patients develop progressive dyspnea with alveolar opacities on chest imaging that cannot be explained otherwise, alveolar hemorrhage should be an important differential diagnosis while investigating the case. Early diagnosis and prompt discontinuation of the PTU treatment are essential for improving patient outcomes.

摘要

引言

丙硫氧嘧啶(PTU)常用于治疗甲状腺功能亢进症,可诱发抗中性粒细胞胞浆抗体(ANCA)相关性血管炎。尽管这是一种罕见的副作用,但如果ANCA相关性血管炎的诊断和治疗延迟,病情可能进展为重症,导致预后不良。

病例报告

一名43岁的格雷夫斯病女性患者出现了与抗髓过氧化物酶和蛋白酶-3的ANCA相关的肺血管炎和弥漫性肺泡出血(DAH),通过计算机断层扫描(CT)和支气管镜检查得以确诊,患者此前接受PTU治疗。停用PTU并给予糖皮质激素治疗后,肺泡出血的症状和体征迅速缓解。经过6个月的随访,患者维持完全的ANCA阴性临床缓解状态,CT和支气管镜检查结果均正常证实了这一点。据我们所知,这是首例记录了类固醇治疗前后PTU诱导的DAH的支气管镜比较的病例。

结论

即使已经使用PTU数年,接受PTU治疗的患者也应密切监测和随访。当患者出现进行性呼吸困难且胸部影像学显示肺泡模糊,而无法用其他原因解释时,在调查病例时肺泡出血应作为重要的鉴别诊断。早期诊断并及时停用PTU治疗对于改善患者预后至关重要。

https://cdn.ncbi.nlm.nih.gov/pmc/blobs/9c9d/4888935/66316d2db7ce/ircmj-18-04-23320-g002.jpg
https://cdn.ncbi.nlm.nih.gov/pmc/blobs/9c9d/4888935/6682556f425e/ircmj-18-04-23320-g001.jpg
https://cdn.ncbi.nlm.nih.gov/pmc/blobs/9c9d/4888935/66316d2db7ce/ircmj-18-04-23320-g002.jpg
https://cdn.ncbi.nlm.nih.gov/pmc/blobs/9c9d/4888935/6682556f425e/ircmj-18-04-23320-g001.jpg
https://cdn.ncbi.nlm.nih.gov/pmc/blobs/9c9d/4888935/66316d2db7ce/ircmj-18-04-23320-g002.jpg

相似文献

1
Propylthiouracil-Induced Vasculitis With Alveolar Hemorrhage Confirmed by Clinical, Laboratory, Computed Tomography, and Bronchoscopy Findings: A Case Report and Literature Review.丙硫氧嘧啶诱发的血管炎伴肺泡出血:经临床、实验室、计算机断层扫描及支气管镜检查结果证实的病例报告及文献综述
Iran Red Crescent Med J. 2016 Feb 1;18(4):e23320. doi: 10.5812/ircmj.23320. eCollection 2016 Apr.
2
Antineutrophil cytoplasmic antibody (ANCA)-positive cutaneous leukocytoclastic vasculitis induced by propylthiouracil confirmed by positive patch test: a case report and review of the literature.通过斑贴试验阳性确诊的丙硫氧嘧啶诱发的抗中性粒细胞胞浆抗体(ANCA)阳性皮肤白细胞破碎性血管炎:一例报告并文献复习
Cutan Ocul Toxicol. 2011 Jun;30(2):147-53. doi: 10.3109/15569527.2010.533318. Epub 2010 Nov 24.
3
Diffuse alveolar hemorrhage associated with antineutrophil cytoplasmic antibody levels in a pregnant woman taking propylthiouracil.一名服用丙硫氧嘧啶的孕妇中与抗中性粒细胞胞浆抗体水平相关的弥漫性肺泡出血
Korean J Intern Med. 2006 Dec;21(4):240-3. doi: 10.3904/kjim.2006.21.4.240.
4
Clinical Characteristics and Outcomes of Propylthiouracil-Induced Antineutrophil Cytoplasmic Antibody-Associated Vasculitis in Patients with Graves' Disease: A Median 38-Month Retrospective Cohort Study from a Single Institution in China.中国单中心回顾性队列研究:丙硫氧嘧啶诱导的 Graves 病患者抗中性粒细胞胞浆抗体相关性血管炎的临床特征和转归:中位随访 38 个月。
Thyroid. 2017 Dec;27(12):1469-1474. doi: 10.1089/thy.2017.0468.
5
Frequency of appearance of myeloperoxidase-antineutrophil cytoplasmic antibody (MPO-ANCA) in Graves' disease patients treated with propylthiouracil and the relationship between MPO-ANCA and clinical manifestations.丙硫氧嘧啶治疗的格雷夫斯病患者中髓过氧化物酶抗中性粒细胞胞浆抗体(MPO-ANCA)的出现频率及MPO-ANCA与临床表现的关系。
Clin Endocrinol (Oxf). 2001 May;54(5):651-4. doi: 10.1046/j.1365-2265.2001.01282.x.
6
The onset of antineutrophil cytoplasmic antibody-associated vasculitis immediately after methimazole was switched to propylthiouracil in a woman with Graves' disease who wished to become pregnant.一位患有 Graves 病并希望怀孕的女性在将甲巯咪唑换用丙硫氧嘧啶后,立即出现抗中性粒细胞胞质抗体相关性血管炎。
Endocr J. 2013;60(3):383-8. doi: 10.1507/endocrj.ej12-0212. Epub 2012 Nov 16.
7
[Myeloperoxidase-antineutrophil cytoplasmic antibody positive alveolar hemorrhage during propylthiouracil therapy for hyperthyroidism].[丙硫氧嘧啶治疗甲状腺功能亢进症期间髓过氧化物酶-抗中性粒细胞胞浆抗体阳性肺泡出血]
Nihon Kokyuki Gakkai Zasshi. 2000 Mar;38(3):201-5.
8
Antineutrophilic cytoplasmic antibody-positive systemic vasculitis associated with propylthiouracil therapy: report of 2 children with Graves' disease.与丙硫氧嘧啶治疗相关的抗中性粒细胞胞浆抗体阳性系统性血管炎:2例格雷夫斯病患儿的报告
J Med Assoc Thai. 2002 Nov;85 Suppl 4:S1295-301.
9
Antineutrophil cytoplasmic antibody positive alveolar haemorrhage during propylthiouracil therapy for hyperthyroidism.抗中性粒细胞胞浆抗体阳性的肺泡出血发生于丙硫氧嘧啶治疗甲状腺功能亢进期间。
Respirology. 2003 Dec;8(4):532-5. doi: 10.1046/j.1440-1843.2003.00499.x.
10
Propylthiouracil (PTU)-induced vasculitis associated with antineutrophil antibody against myeloperoxidase (MPO-ANCA).丙硫氧嘧啶(PTU)诱发的血管炎,与抗髓过氧化物酶抗中性粒细胞抗体(MPO-ANCA)相关。
Intern Med. 2003 Jun;42(6):529-33. doi: 10.2169/internalmedicine.42.529.

引用本文的文献

1
A disproportionality analysis of FDA adverse event reporting system (FAERS) events for methimazole and propylthiouracil.对甲巯咪唑和丙硫氧嘧啶的美国食品药品监督管理局不良事件报告系统(FAERS)事件进行的不成比例性分析。
PLoS One. 2025 Aug 14;20(8):e0328889. doi: 10.1371/journal.pone.0328889. eCollection 2025.
2
An Unusual Presentation of Propylthiouracil-Induced Immunoglobulin A Vasculitis With Positive Anti-proteinase-3 and Anti-myeloperoxidase Antibodies.丙硫氧嘧啶诱发的免疫球蛋白A血管炎伴抗蛋白酶3和抗髓过氧化物酶抗体阳性的不寻常表现
Cureus. 2024 Apr 18;16(4):e58535. doi: 10.7759/cureus.58535. eCollection 2024 Apr.
3
Propylthiouracil-induced vasculitis.

本文引用的文献

1
Alveolar hemorrhage in vasculitis: primary and secondary.血管炎中的肺泡出血:原发性和继发性。
Semin Respir Crit Care Med. 2011 Jun;32(3):310-21. doi: 10.1055/s-0031-1279827. Epub 2011 Jun 14.
2
Propylthiouracil-induced nonspecific interstitial pneumonia.丙硫氧嘧啶致非特异性间质性肺炎。
Chest. 2011 Mar;139(3):687-690. doi: 10.1378/chest.10-1558.
3
Propylthiouracil-induced autoimmune syndromes: 11 case report.丙硫氧嘧啶致自身免疫综合征:11 例报告。
丙硫氧嘧啶诱发的血管炎。
Proc (Bayl Univ Med Cent). 2023 Jul 24;36(5):647-649. doi: 10.1080/08998280.2023.2230830. eCollection 2023.
4
Propylthiouracil-Induced Anti-Neutrophil Cytoplasmic Antibody Vasculitis Presenting with Red Eye Followed by Pulmonary Hemorrhage: Diagnostic and Management Considerations.丙硫氧嘧啶诱导的抗中性粒细胞胞质抗体血管炎伴红眼,继以肺出血:诊断和治疗注意事项。
Am J Case Rep. 2020 Dec 9;21:e925200. doi: 10.12659/AJCR.925200.
5
Hepatitis B Virus-associated Vasculitis: Multiple Cavitary Masses in the Lung Mimicking Granulomatous Polyangiitis.乙型肝炎病毒相关性血管炎:肺部多发空洞性肿块酷似肉芽肿性多血管炎。
Intern Med. 2019 Oct 15;58(20):3013-3017. doi: 10.2169/internalmedicine.3012-19. Epub 2019 Jun 27.
Rheumatol Int. 2012 Mar;32(3):679-81. doi: 10.1007/s00296-010-1675-z. Epub 2010 Dec 7.
4
Occult pulmonary hemorrhage as a rare presentation of propylthiouracil-induced vasculitis.隐匿性肺出血:丙硫氧嘧啶诱导血管炎的罕见表现。
Pediatrics. 2011 Jan;127(1):e245-9. doi: 10.1542/peds.2010-0138. Epub 2010 Dec 6.
5
Antineutrophil cytoplasmic antibody (ANCA)-positive cutaneous leukocytoclastic vasculitis induced by propylthiouracil confirmed by positive patch test: a case report and review of the literature.通过斑贴试验阳性确诊的丙硫氧嘧啶诱发的抗中性粒细胞胞浆抗体(ANCA)阳性皮肤白细胞破碎性血管炎:一例报告并文献复习
Cutan Ocul Toxicol. 2011 Jun;30(2):147-53. doi: 10.3109/15569527.2010.533318. Epub 2010 Nov 24.
6
Propylthiouracil-induced anti-neutrophil cytoplasmic antibodies (ANCA) skin vasculitis: the first case reported in Croatia.丙硫氧嘧啶诱发的抗中性粒细胞胞浆抗体(ANCA)相关性皮肤血管炎:克罗地亚首例报告病例
Acta Dermatovenerol Croat. 2010;18(2):104-6.
7
A Case of p-ANCA-Positive Propylthiouracil-Induced Pyoderma Gangrenosum.1例抗中性粒细胞胞浆抗体(p-ANCA)阳性的丙硫氧嘧啶诱发的坏疽性脓皮病
Ann Dermatol. 2010 Feb;22(1):48-50. doi: 10.5021/ad.2010.22.1.48. Epub 2010 Feb 28.
8
When to suspect pulmonary vasculitis: radiologic and clinical clues.何时怀疑肺血管炎:放射学和临床线索。
Radiographics. 2010 Jan;30(1):33-53. doi: 10.1148/rg.301095103.
9
Propylthiouracil-induced DRESS syndrome confirmed by a positive patch test.斑贴试验阳性确诊丙硫氧嘧啶诱发的药物超敏反应伴嗜酸性粒细胞增多和系统症状(DRESS)综合征
Allergy. 2010 Mar;65(3):407-9. doi: 10.1111/j.1398-9995.2009.02183.x. Epub 2009 Oct 1.
10
Propylthiouracil-induced leucocytoclastic vasculitis with pulmonary hemorrhage treated with plasmapheresis.丙硫氧嘧啶诱发的白细胞破碎性血管炎伴肺出血,采用血浆置换治疗。
Am J Med Sci. 2009 Jun;337(6):470-2. doi: 10.1097/MAJ.0b013e31819241a2.