Suppr超能文献

丙硫氧嘧啶诱导的抗中性粒细胞胞质抗体血管炎伴红眼,继以肺出血:诊断和治疗注意事项。

Propylthiouracil-Induced Anti-Neutrophil Cytoplasmic Antibody Vasculitis Presenting with Red Eye Followed by Pulmonary Hemorrhage: Diagnostic and Management Considerations.

机构信息

Department of Internal Medicine, Hackensack Meridian Health, Jersey Shore University Medical Center, Neptune, NJ, USA.

Department of Endocrinology, Hackensack Meridian Health, Jersey Shore University Medical Center, Neptune, NJ, USA.

出版信息

Am J Case Rep. 2020 Dec 9;21:e925200. doi: 10.12659/AJCR.925200.

Abstract

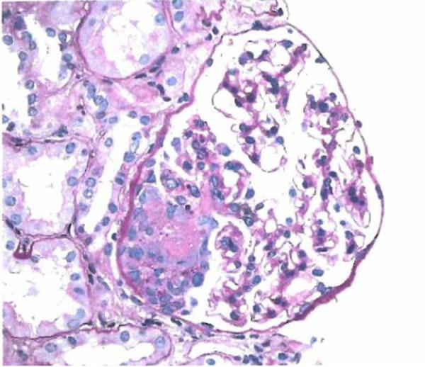
BACKGROUND Drug-induced anti-neutrophil cytoplasmic antibody (ANCA)-associated vasculitis (AAV) should be suspected in patients on certain medications who present with inflammatory ocular, constitutional, pulmonary, and/or renal manifestations. Here, we present a case of propylthiouracil (PTU)-induced AAV presenting initially with red eye, and review important diagnostic and management considerations for this uncommon disorder. CASE REPORT A 34-year-old woman with hyperthyroidism taking PTU presented with red eye, later followed by fevers and hemoptysis. She was found to have episcleritis, diffuse alveolar hemorrhage, and microhematuria. The infectious diseases workup was unrevealing. Laboratory evaluations were notable for a high-titer perinuclear ANCA and elevated anti-myeloperoxidase antibodies. Renal function was normal. She was ultimately diagnosed with PTU-induced AAV. PTU was promptly discontinued and she was treated with pulse-dose methylprednisolone for 3 days, followed by prednisone 60 mg daily. A kidney biopsy revealed pauci-immune focal segmental necrotizing and crescentic glomerulonephritis. Given an allergy to methimazole, she underwent thyroidectomy and was ultimately treated with rituximab. Her steroid doses are progressively being tapered and she has complete resolution of symptoms. CONCLUSIONS PTU-induced AAV is a rare and serious condition. Our patient presented with ocular symptoms prior to more commonly recognized pulmonary and renal manifestations. Patients may have favorable outcomes if PTU is discontinued promptly, but patients with vital-organ involvement may require treatment with steroids and may need additional immunosuppression.

摘要

背景

在使用某些药物的患者中,如果出现炎症性眼部、全身、肺部和/或肾脏表现,应怀疑药物诱导的抗中性粒细胞胞质抗体(ANCA)相关性血管炎(AAV)。在此,我们报告了一例丙硫氧嘧啶(PTU)诱导的 AAV 病例,最初表现为眼红,并回顾了这种罕见疾病的重要诊断和治疗注意事项。

病例报告

一名 34 岁患有甲状腺功能亢进症的女性正在服用 PTU,出现眼红,随后出现发热和咯血。她被发现患有巩膜炎、弥漫性肺泡出血和镜下血尿。传染病检查无异常。实验室评估的特点是核周型 ANCA 滴度高和抗髓过氧化物酶抗体升高。肾功能正常。她最终被诊断为 PTU 诱导的 AAV。立即停用 PTU,并给予 3 天脉冲剂量甲基强的松龙,随后每天给予泼尼松 60mg。肾活检显示为少免疫性局灶性节段坏死性和新月体肾小球肾炎。由于对甲巯咪唑过敏,她接受了甲状腺切除术,最终接受了利妥昔单抗治疗。她的类固醇剂量逐渐减少,症状完全缓解。

结论

PTU 诱导的 AAV 是一种罕见且严重的疾病。我们的患者在更常见的肺部和肾脏表现之前出现眼部症状。如果迅速停用 PTU,患者可能会有较好的预后,但有重要器官受累的患者可能需要类固醇治疗,可能需要额外的免疫抑制治疗。

https://cdn.ncbi.nlm.nih.gov/pmc/blobs/734b/7733149/212f04a3d400/amjcaserep-21-e925200-g001.jpg

文献AI研究员

20分钟写一篇综述,助力文献阅读效率提升50倍。

立即体验

用中文搜PubMed

大模型驱动的PubMed中文搜索引擎

马上搜索

文档翻译

学术文献翻译模型,支持多种主流文档格式。

立即体验