Ahangarpour Akram, Lamoochi Zohreh, Fathi Moghaddam Hadi, Mansouri Seyed Mohamad Taghi
Health Research Institute, Diabetes Research Center, Department of Physiology, School of Medicine, Ahvaz Jundishapur University of Medical Sciences, Ahvaz, Iran.
Physiology Research Center. Department of Physiology, Ahvaz Jundishapur University of Medical Science, Ahvaz, Iran.
Int J Reprod Biomed. 2016 Mar;14(3):205-12.
Aging contains morphological and functional deterioration in biological systems. D-galactose (D-gal) generates free radicals and accelerates aging. Portulaca oleracea (Purslane) may have protective effect against oxidative stress.
Purslane ethanolic extract effects were evaluated on antioxidant indices and sex hormone in D-gal aging female mice.
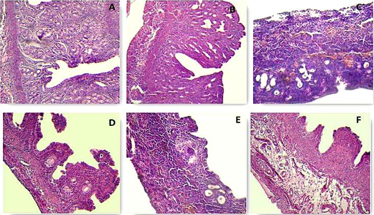
48 female NMRI mice (25-35 gr) were randomly divided into, 6 groups: 1- control (normal saline for 45 days), 2- Purslane (200 mg/kg for last 3 weeks), 3-D-gal (500 mg/kg for 45 days), 4-D-gal+Purslane, 5- Aging, 6-Aging+Purslane. Sex hormones, antioxidants and malondialdehyde (MDA) level of ovary and uterus were measured. Histological assessment was also done.
In D-gal treated and aging animals, LH and FSH levels were significantly increased (p<0.001) while estrogen and progesterone levels were significantly reduced (p<0.001) in comparison with control group. MDA contents were significantly increased in ovaries and uterus of D-gal and aging groups (p<0.01). Superoxide dismutase (SOD) (p<0.001) and catalase (p<0.01) activities were significantly decreased in both aging and D-gal treated animals. Ovarian follicles were degenerated and atrophy on uterine wall and endometrial glands was observed in D-gal and aging groups. Alteration in hormone levels, MDA contents and antioxidant activity were significantly reversed by Purslane (p<0.05). Purslane could also improve histological changes such as atrophy of endometrium.
These findings indicate that Purslane can attenuate aging alternations induced by D-gal and aging in female reproductive system.
衰老包含生物系统中的形态和功能退化。D-半乳糖(D-gal)会产生自由基并加速衰老。马齿苋可能对氧化应激具有保护作用。
评估马齿苋乙醇提取物对D-半乳糖致衰老雌性小鼠抗氧化指标和性激素的影响。
48只雌性NMRI小鼠(25 - 35克)随机分为6组:1-对照组(45天给予生理盐水),2-马齿苋组(最后3周给予200毫克/千克),3-D-半乳糖组(45天给予500毫克/千克),4-D-半乳糖+马齿苋组,5-衰老组,6-衰老+马齿苋组。测量卵巢和子宫的性激素、抗氧化剂和丙二醛(MDA)水平。还进行了组织学评估。
与对照组相比,D-半乳糖处理组和衰老动物组中,促黄体生成素(LH)和促卵泡生成素(FSH)水平显著升高(p<0.001),而雌激素和孕酮水平显著降低(p<0.001)。D-半乳糖组和衰老组的卵巢和子宫中MDA含量显著增加(p<0.01)。衰老组和D-半乳糖处理组的超氧化物歧化酶(SOD)(p<0.001)和过氧化氢酶(p<0.01)活性均显著降低。D-半乳糖组和衰老组观察到卵巢卵泡退化以及子宫壁萎缩和子宫内膜腺体萎缩。马齿苋可显著逆转激素水平、MDA含量和抗氧化活性的改变(p<0.05)。马齿苋还可改善组织学变化,如子宫内膜萎缩。
这些发现表明马齿苋可减轻D-半乳糖和衰老诱导的雌性生殖系统衰老变化。