• 文献检索
  • 文档翻译
  • 深度研究
  • 学术资讯
  • Suppr Zotero 插件Zotero 插件
  • 邀请有礼
  • 套餐&价格
  • 历史记录
应用&插件
Suppr Zotero 插件Zotero 插件浏览器插件Mac 客户端Windows 客户端微信小程序
定价
高级版会员购买积分包购买API积分包
服务
文献检索文档翻译深度研究API 文档MCP 服务
关于我们
关于 Suppr公司介绍联系我们用户协议隐私条款
关注我们

Suppr 超能文献

核心技术专利:CN118964589B侵权必究
粤ICP备2023148730 号-1Suppr @ 2026

文献检索

告别复杂PubMed语法,用中文像聊天一样搜索,搜遍4000万医学文献。AI智能推荐,让科研检索更轻松。

立即免费搜索

文件翻译

保留排版,准确专业,支持PDF/Word/PPT等文件格式,支持 12+语言互译。

免费翻译文档

深度研究

AI帮你快速写综述,25分钟生成高质量综述,智能提取关键信息,辅助科研写作。

立即免费体验

核糖体相关的Asc1/RACK1是核糖体停滞在无义mRNA 3'端诱导的核酸内切酶切割所必需的。

Ribosome-associated Asc1/RACK1 is required for endonucleolytic cleavage induced by stalled ribosome at the 3' end of nonstop mRNA.

作者信息

Ikeuchi Ken, Inada Toshifumi

机构信息

Graduate School of Pharmaceutical Science, Tohoku University, Aoba-ku, Sendai 980-8578, Japan.

出版信息

Sci Rep. 2016 Jun 17;6:28234. doi: 10.1038/srep28234.

DOI:10.1038/srep28234
PMID:27312062
原文链接:https://pmc.ncbi.nlm.nih.gov/articles/PMC4911565/
Abstract

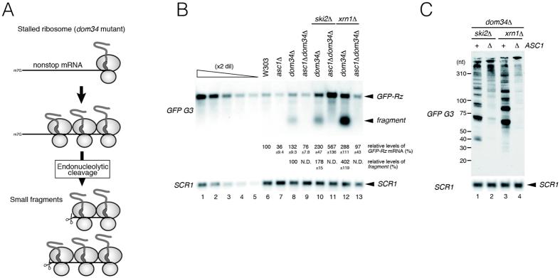
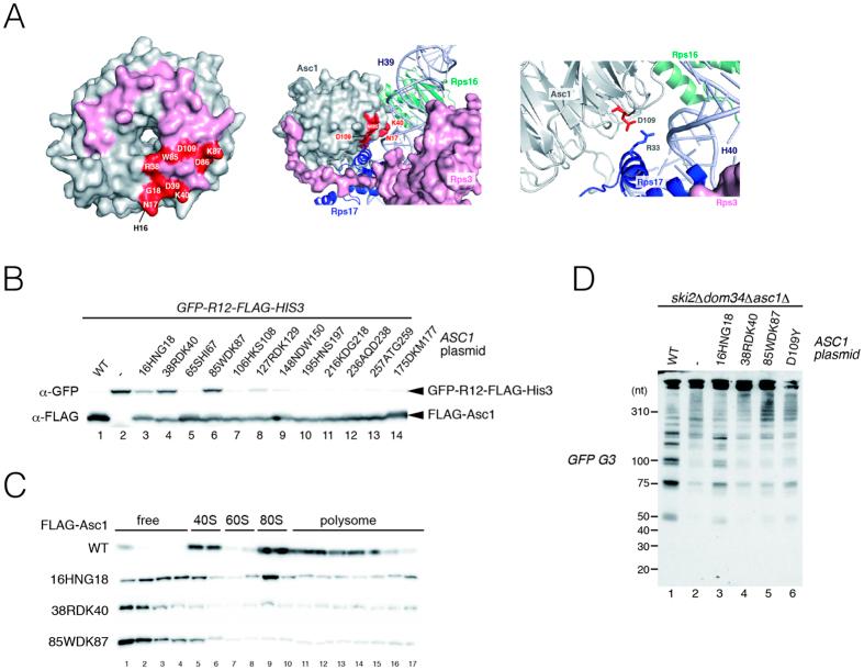
Dom34-Hbs1 stimulates degradation of aberrant mRNAs lacking termination codons by dissociating ribosomes stalled at the 3' ends, and plays crucial roles in Nonstop Decay (NSD) and No-Go Decay (NGD). In the dom34Δ mutant, nonstop mRNA is degraded by sequential endonucleolytic cleavages induced by a stalled ribosome at the 3' end. Here, we report that ribosome-associated Asc1/RACK1 is required for the endonucleolytic cleavage of nonstop mRNA by stalled ribosome at the 3' end of mRNA in dom34Δ mutant cells. Asc1/RACK1 facilitates degradation of truncated GFP-Rz mRNA in the absence of Dom34 and exosome-dependent decay. Asc1/RACK1 is required for the sequential endonucleolytic cleavages by the stalled ribosome in the dom34Δ mutant, depending on its ribosome-binding activity. The levels of peptidyl-tRNA derived from nonstop mRNA were elevated in dom34Δasc1Δ mutant cells, and overproduction of nonstop mRNA inhibited growth of mutant cells. E3 ubiquitin ligase Ltn1 degrades the arrest products from truncated GFP-Rz mRNA in dom34Δ and dom34Δasc1Δ mutant cells, and Asc1/RACK1 represses the levels of substrates for Ltn1-dependent degradation. These indicate that ribosome-associated Asc1/RACK1 facilitates endonucleolytic cleavage of nonstop mRNA by stalled ribosomes and represses the levels of aberrant products even in the absence of Dom34. We propose that Asc1/RACK1 acts as a fail-safe in quality control for nonstop mRNA.

摘要

Dom34-Hbs1通过解离停滞在3'端的核糖体来刺激缺乏终止密码子的异常mRNA的降解,在无义介导的mRNA降解(NSD)和无-go降解(NGD)中发挥关键作用。在dom34Δ突变体中,无义mRNA通过3'端停滞的核糖体诱导的顺序内切核酸酶切割而降解。在这里,我们报告核糖体相关的Asc1/RACK1是dom34Δ突变体细胞中3'端停滞的核糖体对无义mRNA进行内切核酸酶切割所必需的。在没有Dom34和外泌体依赖性降解的情况下,Asc1/RACK1促进截短的GFP-Rz mRNA降解。Asc1/RACK1是dom34Δ突变体中停滞核糖体进行顺序内切核酸酶切割所必需的,这取决于其核糖体结合活性。在dom34Δasc1Δ突变体细胞中,源自无义mRNA的肽基-tRNA水平升高,无义mRNA的过量产生抑制突变体细胞的生长。E3泛素连接酶Ltn1在dom34Δ和dom34Δasc1Δ突变体细胞中降解截短的GFP-Rz mRNA的停滞产物,并且Asc1/RACK1抑制Ltn1依赖性降解的底物水平。这些表明核糖体相关的Asc1/RACK1促进停滞核糖体对无义mRNA的内切核酸酶切割,并且即使在没有Dom34的情况下也抑制异常产物的水平。我们提出Asc1/RACK1在无义mRNA的质量控制中起安全保障作用。

https://cdn.ncbi.nlm.nih.gov/pmc/blobs/3ed1/4911565/1e0a474dc457/srep28234-f6.jpg
https://cdn.ncbi.nlm.nih.gov/pmc/blobs/3ed1/4911565/7ab74376269a/srep28234-f1.jpg
https://cdn.ncbi.nlm.nih.gov/pmc/blobs/3ed1/4911565/d9eed642dbda/srep28234-f2.jpg
https://cdn.ncbi.nlm.nih.gov/pmc/blobs/3ed1/4911565/bd05c6617f3e/srep28234-f3.jpg
https://cdn.ncbi.nlm.nih.gov/pmc/blobs/3ed1/4911565/3a2e3da0ba13/srep28234-f4.jpg
https://cdn.ncbi.nlm.nih.gov/pmc/blobs/3ed1/4911565/33985743981a/srep28234-f5.jpg
https://cdn.ncbi.nlm.nih.gov/pmc/blobs/3ed1/4911565/1e0a474dc457/srep28234-f6.jpg
https://cdn.ncbi.nlm.nih.gov/pmc/blobs/3ed1/4911565/7ab74376269a/srep28234-f1.jpg
https://cdn.ncbi.nlm.nih.gov/pmc/blobs/3ed1/4911565/d9eed642dbda/srep28234-f2.jpg
https://cdn.ncbi.nlm.nih.gov/pmc/blobs/3ed1/4911565/bd05c6617f3e/srep28234-f3.jpg
https://cdn.ncbi.nlm.nih.gov/pmc/blobs/3ed1/4911565/3a2e3da0ba13/srep28234-f4.jpg
https://cdn.ncbi.nlm.nih.gov/pmc/blobs/3ed1/4911565/33985743981a/srep28234-f5.jpg
https://cdn.ncbi.nlm.nih.gov/pmc/blobs/3ed1/4911565/1e0a474dc457/srep28234-f6.jpg

相似文献

1
Ribosome-associated Asc1/RACK1 is required for endonucleolytic cleavage induced by stalled ribosome at the 3' end of nonstop mRNA.核糖体相关的Asc1/RACK1是核糖体停滞在无义mRNA 3'端诱导的核酸内切酶切割所必需的。
Sci Rep. 2016 Jun 17;6:28234. doi: 10.1038/srep28234.
2
Dom34:hbs1 plays a general role in quality-control systems by dissociation of a stalled ribosome at the 3' end of aberrant mRNA.Dom34:hbs1 通过在异常 mRNA 的 3' 末端解离stalled 核糖体,在质量控制系统中发挥一般作用。
Mol Cell. 2012 May 25;46(4):518-29. doi: 10.1016/j.molcel.2012.03.013. Epub 2012 Apr 11.
3
Protein quality control systems associated with no-go and nonstop mRNA surveillance in yeast.与酵母中无终止和非终止 mRNA 监测相关的蛋白质质量控制系统。
Genes Cells. 2014 Jan;19(1):1-12. doi: 10.1111/gtc.12106. Epub 2013 Nov 21.
4
Conserved functions of human Pelota in mRNA quality control of nonstop mRNA.人Pelota在无义mRNA的mRNA质量控制中的保守功能。
FEBS Lett. 2016 Sep;590(18):3254-63. doi: 10.1002/1873-3468.12366. Epub 2016 Sep 7.
5
Interactions between the mRNA and Rps3/uS3 at the entry tunnel of the ribosomal small subunit are important for no-go decay.mRNA 与核糖体小亚基入口通道中的 Rps3/uS3 之间的相互作用对无义衰变很重要。
PLoS Genet. 2018 Nov 26;14(11):e1007818. doi: 10.1371/journal.pgen.1007818. eCollection 2018 Nov.
6
Dom34:Hbs1 promotes subunit dissociation and peptidyl-tRNA drop-off to initiate no-go decay.Dom34:Hbs1 促进亚基解离和肽酰-tRNA 脱落,以启动无意义衰变。
Science. 2010 Oct 15;330(6002):369-72. doi: 10.1126/science.1192430.
7
Roles of dom34:hbs1 in nonstop protein clearance from translocators for normal organelle protein influx.Dom34:hbs1 在非停蛋白清除中的作用:用于正常细胞器蛋白流入的转运蛋白。
Cell Rep. 2012 Sep 27;2(3):447-53. doi: 10.1016/j.celrep.2012.08.010. Epub 2012 Sep 13.
8
Multi-protein bridging factor 1(Mbf1), Rps3 and Asc1 prevent stalled ribosomes from frameshifting.多蛋白桥接因子 1(Mbf1)、Rps3 和 Asc1 可防止核糖体停滞导致移码。
Elife. 2018 Nov 22;7:e39637. doi: 10.7554/eLife.39637.
9
and : new actors in 18S nonfunctional rRNA decay.以及:18S无功能核糖体RNA衰变中的新参与者。
RNA. 2017 Dec;23(12):1946-1960. doi: 10.1261/rna.061671.117. Epub 2017 Sep 27.
10
Release factor eRF3 mediates premature translation termination on polylysine-stalled ribosomes in Saccharomyces cerevisiae.释放因子eRF3介导酿酒酵母中聚赖氨酸停滞核糖体上的过早翻译终止。
Mol Cell Biol. 2014 Nov;34(21):4062-76. doi: 10.1128/MCB.00799-14. Epub 2014 Aug 25.

引用本文的文献

1
High-resolution reconstruction of a ribosome sheds light on evolutionary dynamics and tissue specificity.核糖体的高分辨率重建揭示了进化动态和组织特异性。
RNA. 2024 Oct 16;30(11):1513-1528. doi: 10.1261/rna.080103.124.
2
The Beak of Eukaryotic Ribosomes: Life, Work and Miracles.真核生物核糖体的喙:生命、工作和奇迹。
Biomolecules. 2024 Jul 22;14(7):882. doi: 10.3390/biom14070882.
3
Transcriptional profile of ribosome-associated quality control components and their associated phenotypes in mammalian cells.核糖体相关质量控制成分的转录谱及其在哺乳动物细胞中的相关表型。

本文引用的文献

1
The ribosomal protein Asc1/RACK1 is required for efficient translation of short mRNAs.核糖体蛋白Asc1/RACK1是短mRNA高效翻译所必需的。
Elife. 2016 Apr 27;5:e11154. doi: 10.7554/eLife.11154.
2
Ribosome-associated protein quality control.核糖体相关蛋白质量控制
Nat Struct Mol Biol. 2016 Jan;23(1):7-15. doi: 10.1038/nsmb.3147.
3
Target Selection during Protein Quality Control.蛋白质质量控制过程中的靶标选择。
Sci Rep. 2024 Jan 16;14(1):1439. doi: 10.1038/s41598-023-50811-z.
4
The ribosome-associated protein RACK1 represses Kir4.1 translation in astrocytes and influences neuronal activity.核糖体相关蛋白 RACK1 抑制星形胶质细胞中 Kir4.1 的翻译并影响神经元活性。
Cell Rep. 2023 May 30;42(5):112456. doi: 10.1016/j.celrep.2023.112456. Epub 2023 Apr 30.
5
Contributions of Ccr4 and Gcn2 to the Translational Response of to Host-Relevant Stressors and Integrated Stress Response Induction.CCR4 和 GCN2 对 应对宿主相关应激源和综合应激反应诱导的翻译反应的贡献。
mBio. 2023 Apr 25;14(2):e0019623. doi: 10.1128/mbio.00196-23. Epub 2023 Apr 5.
6
Epitranscriptome changes triggered by ammonium nutrition regulate the proteome response of maritime pine roots.铵营养引发的表观转录组变化调控了海岸松根系的蛋白质组反应。
Front Plant Sci. 2022 Dec 22;13:1102044. doi: 10.3389/fpls.2022.1102044. eCollection 2022.
7
A distinct mammalian disome collision interface harbors K63-linked polyubiquitination of uS10 to trigger hRQT-mediated subunit dissociation.一个独特的哺乳动物二联体碰撞界面含有 K63 连接的多泛素化 uS10,以触发 hRQT 介导的亚基解离。
Nat Commun. 2022 Oct 27;13(1):6411. doi: 10.1038/s41467-022-34097-9.
8
A Multi-Perspective Proximity View on the Dynamic Head Region of the Ribosomal 40S Subunit.核糖体 40S 亚基动态头部区域的多角度邻近视角
Int J Mol Sci. 2021 Oct 28;22(21):11653. doi: 10.3390/ijms222111653.
9
Translational repression of NMD targets by GIGYF2 and EIF4E2.GIGYF2 和 EIF4E2 对 NMD 靶标进行翻译抑制。
PLoS Genet. 2021 Oct 19;17(10):e1009813. doi: 10.1371/journal.pgen.1009813. eCollection 2021 Oct.
10
Negative charge in the RACK1 loop broadens the translational capacity of the human ribosome.RACK1 环中的负电荷拓宽了人类核糖体的翻译能力。
Cell Rep. 2021 Sep 7;36(10):109663. doi: 10.1016/j.celrep.2021.109663.
Trends Biochem Sci. 2016 Feb;41(2):124-137. doi: 10.1016/j.tibs.2015.10.007. Epub 2015 Nov 25.
4
Asc1, homolog of human RACK1, prevents frameshifting in yeast by ribosomes stalled at CGA codon repeats.Asc1,人类RACK1的同源物,可防止核糖体在CGA密码子重复序列处停滞而导致的酵母移码。
RNA. 2015 May;21(5):935-45. doi: 10.1261/rna.049080.114. Epub 2015 Mar 19.
5
Structure and assembly pathway of the ribosome quality control complex.核糖体质量控制复合体的结构与组装途径。
Mol Cell. 2015 Feb 5;57(3):433-44. doi: 10.1016/j.molcel.2014.12.015. Epub 2015 Jan 8.
6
Protein synthesis. Rqc2p and 60S ribosomal subunits mediate mRNA-independent elongation of nascent chains.蛋白质合成。Rqc2p和60S核糖体亚基介导新生肽链的不依赖mRNA的延伸。
Science. 2015 Jan 2;347(6217):75-8. doi: 10.1126/science.1259724.
7
RACK1 controls IRES-mediated translation of viruses.RACK1 控制病毒 IRES 介导的翻译。
Cell. 2014 Nov 20;159(5):1086-1095. doi: 10.1016/j.cell.2014.10.041.
8
Reconstitution of a minimal ribosome-associated ubiquitination pathway with purified factors.用纯化的因子重建最小核糖体相关泛素化途径。
Mol Cell. 2014 Sep 18;55(6):880-890. doi: 10.1016/j.molcel.2014.07.006. Epub 2014 Aug 14.
9
Protecting the proteome: Eukaryotic cotranslational quality control pathways.保护蛋白质组:真核生物共翻译质量控制途径。
J Cell Biol. 2014 Feb 17;204(4):467-76. doi: 10.1083/jcb.201311103.
10
Protein quality control systems associated with no-go and nonstop mRNA surveillance in yeast.与酵母中无终止和非终止 mRNA 监测相关的蛋白质质量控制系统。
Genes Cells. 2014 Jan;19(1):1-12. doi: 10.1111/gtc.12106. Epub 2013 Nov 21.