Thompson P D, Miller D, Gledhill R F, Rossor M N
University Department of Neurology King's College Hospital Medical School, London, UK.
J Neurol Neurosurg Psychiatry. 1989 May;52(5):675-7. doi: 10.1136/jnnp.52.5.675.
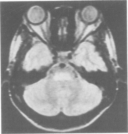
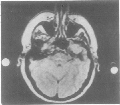
Magnetic resonance imaging (MRI) was performed in two patients in whom a clinical diagnosis of central pontine myelinolysis (CPM) had been made. MRI showed lesions in the pons in both cases about 2 years after the illness, at a time when the spastic quadriparesis and pseudobulbar palsy had recovered. The persisting abnormal signals in CPM are likely to be due to fibrillary gliosis. Persistence of lesions on MRI means that the diagnosis of CPM may be electively, after the acute illness has resolved.