Suppr超能文献

酚酸(没食子酸和鞣酸)调节大鼠的抗氧化状态和顺铂诱导的肾毒性。

Phenolic Acids (Gallic and Tannic Acids) Modulate Antioxidant Status and Cisplatin Induced Nephrotoxicity in Rats.

作者信息

Akomolafe Seun F, Akinyemi Ayodele J, Anadozie Scholarstical O

机构信息

Department of Biochemistry, Ekiti State University, P.M.B 5363, Ado Ekiti, Nigeria.

Department of Biochemistry, Afe Babalola University, P.M.B 5454, Ado Ekiti, Nigeria.

出版信息

Int Sch Res Notices. 2014 Aug 11;2014:984709. doi: 10.1155/2014/984709. eCollection 2014.

Abstract

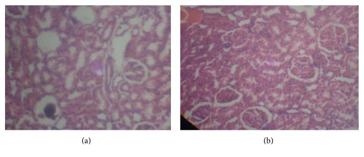
Cisplatin (cis-diamminedichloroplatinum (II) or CDDP), used in the treatment of many solid-tissue cancers, has its chief side-effect in nephrotoxicity. Hence, this study sought to investigate and compare the protective effect of gallic acid (GA) and tannic acid (TA) against cisplatin induced nephrotoxicity in rats. The rats were given a prophylactic treatment of GA and TA orally at a dose of 20 and 40 mg/kg body weight for 7 consecutive days before the administration of a single intraperitoneal (i.p.) injection of cisplatin (CP) at 7.5 mg/kg bwt. The protective effects of both GA and TA on CP induced nephrotoxicity were investigated by assaying renal function, oxidative stress biomarkers, and histopathological examination of kidney architecture. A single dose of cisplatin (7.5 mg/kg bwt) injected i.p. caused a significant increase in some biomarkers of renal function (creatinine, uric acid, and urea levels), with a marked elevation in malondialdehyde (MDA) content accompanied by a significant (P < 0.05) decrease in reduced glutathione (GSH) content (103.27%) of kidney tissue as compared to control group. Furthermore, a significant (P < 0.05) reduction in kidney antioxidant enzymes (SOD, catalase, GPx, and GST) activity was observed. However, pretreatment with oral administration of tannic acid and gallic acid at a dose of 20 and 40 mg/kg body weight, respectively, for 7 days prior to cisplatin administration reduced histological renal damage and suppressed the generation of ROS, lipid peroxidation, and oxidative stress in kidney tissues. These results indicate that both gallic and tannic acids could serve as a preventive strategy against cisplatin induced nephrotoxicity.

摘要

顺铂(顺二氨二氯铂(II)或CDDP)用于治疗多种实体组织癌症,其主要副作用是肾毒性。因此,本研究旨在调查和比较没食子酸(GA)和单宁酸(TA)对顺铂诱导的大鼠肾毒性的保护作用。在腹腔注射(i.p.)7.5mg/kg体重的顺铂(CP)之前,连续7天给大鼠口服20和40mg/kg体重剂量的GA和TA进行预防性治疗。通过测定肾功能、氧化应激生物标志物以及对肾脏结构进行组织病理学检查,研究GA和TA对CP诱导的肾毒性的保护作用。腹腔注射单剂量顺铂(7.5mg/kg体重)导致一些肾功能生物标志物(肌酐、尿酸和尿素水平)显著增加,丙二醛(MDA)含量明显升高,同时与对照组相比,肾组织中还原型谷胱甘肽(GSH)含量显著(P<0.05)降低(103.27%)。此外,观察到肾脏抗氧化酶(超氧化物歧化酶、过氧化氢酶、谷胱甘肽过氧化物酶和谷胱甘肽S-转移酶)活性显著(P<0.05)降低。然而,在顺铂给药前7天分别口服20和40mg/kg体重剂量的单宁酸和没食子酸进行预处理,可减轻肾脏组织学损伤,并抑制肾脏组织中活性氧的产生、脂质过氧化和氧化应激。这些结果表明,没食子酸和单宁酸均可作为预防顺铂诱导的肾毒性的策略。

https://cdn.ncbi.nlm.nih.gov/pmc/blobs/272a/4897306/37d54e5cfc13/ISRN2014-984709.001.jpg

文献AI研究员

20分钟写一篇综述,助力文献阅读效率提升50倍。

立即体验

用中文搜PubMed

大模型驱动的PubMed中文搜索引擎

马上搜索

文档翻译

学术文献翻译模型,支持多种主流文档格式。

立即体验