Arakawa Keiichi, Ishihara Soichiro, Kawai Kazushige, Shibata Junichi, Otani Kensuke, Yasuda Koji, Nishikawa Takeshi, Tanaka Toshiaki, Kiyomatsu Tomomichi, Hata Keisuke, Nozawa Hiroaki, Yamaguchi Hironori, Sunami Eiji, Kitayama Joji, Watanabe Toshiaki
Department of Surgical Oncology, University of Tokyo, 7-3-1 Hongo, Bunkyo-ku, Tokyo, 113-8655, Japan.
World J Surg Oncol. 2016 Jul 7;14(1):180. doi: 10.1186/s12957-016-0934-1.
We present a case of asynchronously occurring adenocarcinomas 29 and 36 years after ureterosigmoidostomy for bladder cancer, respectively, at both anastomosis sites.
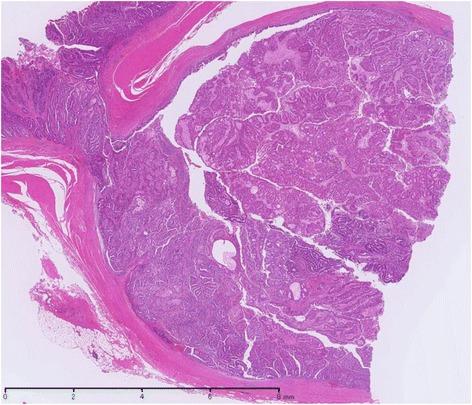
A colonoscopy that was performed on a 69-year-old man because of bloody stool and an elevated carcinoembryonic antigen (CEA) level revealed a polypoid lesion at the right ureterosigmoid anastomosis site 29 years after the patient's ureterosigmoidostomy. Endoscopic resection was performed, and the lesion was diagnosed as adenocarcinoma. Seven years later (36 years after ureterosigmoidostomy), an elevated lesion was detected at the left ureterosigmoid anastomosis site by colonoscopy performed after detection of high CEA levels. Biopsy revealed an adenocarcinoma that was immunohistologically positive for CDX2; sigmoidectomy and ureterectomy were subsequently performed. The pathological diagnosis of the second tumor was adenocarcinoma arising in the ureterosigmoid anastomosis site and invading the left ureter.
Diligent long-term follow-up of patients who underwent ureterosigmoidostomy is essential.
我们报告一例膀胱癌输尿管乙状结肠吻合术后分别于29年和36年在两个吻合部位异步发生腺癌的病例。
一名69岁男性因便血和癌胚抗原(CEA)水平升高接受结肠镜检查,结果显示在患者输尿管乙状结肠吻合术后29年,右侧输尿管乙状结肠吻合部位有一个息肉样病变。进行了内镜切除,病变被诊断为腺癌。7年后(输尿管乙状结肠吻合术后36年),在检测到CEA水平升高后进行结肠镜检查,发现左侧输尿管乙状结肠吻合部位有一个隆起病变。活检显示为腺癌,免疫组化检测CDX2呈阳性;随后进行了乙状结肠切除术和输尿管切除术。第二个肿瘤的病理诊断为起源于输尿管乙状结肠吻合部位并侵犯左侧输尿管的腺癌。
对接受输尿管乙状结肠吻合术的患者进行长期密切随访至关重要。