Angiolilli Chiara, Kabala Pawel A, Grabiec Aleksander M, Van Baarsen Iris M, Ferguson Bradley S, García Samuel, Malvar Fernandez Beatriz, McKinsey Timothy A, Tak Paul P, Fossati Gianluca, Mascagni Paolo, Baeten Dominique L, Reedquist Kris A
Department of Experimental Immunology and Department of Clinical Immunology and Rheumatology, Academic Medical Center, University of Amsterdam, Amsterdam, The Netherlands.
Laboratory of Translational Immunology and Department of Rheumatology and Clinical Immunology, University Medical Center Utrecht, Utrecht, The Netherlands.
Ann Rheum Dis. 2017 Jan;76(1):277-285. doi: 10.1136/annrheumdis-2015-209064. Epub 2016 Jul 25.
Non-selective histone deacetylase (HDAC) inhibitors (HDACi) have demonstrated anti-inflammatory properties in both in vitro and in vivo models of rheumatoid arthritis (RA). Here, we investigated the potential contribution of specific class I and class IIb HDACs to inflammatory gene expression in RA fibroblast-like synoviocytes (FLS).
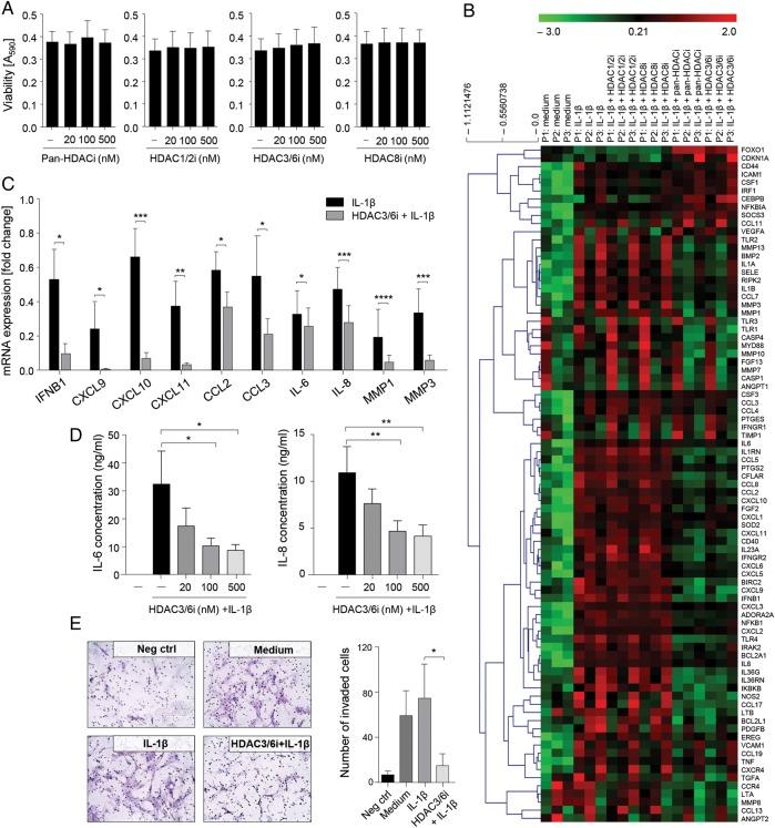
RA FLS were incubated with pan-HDACi (ITF2357, givinostat) or selective HDAC1/2i, HDAC3/6i, HDAC6i and HDAC8i. Alternatively, FLS were transfected with HDAC3, HDAC6 or interferon (IFN)-α/β receptor alpha chain (IFNAR1) siRNA. mRNA expression of interleukin (IL)-1β-inducible genes was measured by quantitative PCR (qPCR) array and signalling pathway activation by immunoblotting and DNA-binding assays.
HDAC3/6i, but not HDAC1/2i and HDAC8i, significantly suppressed the majority of IL-1β-inducible genes targeted by pan-HDACi in RA FLS. Silencing of HDAC3 expression reproduced the effects of HDAC3/6i on gene regulation, contrary to HDAC6-specific inhibition and HDAC6 silencing. Screening of the candidate signal transducers and activators of transcription (STAT)1 transcription factor revealed that HDAC3/6i abrogated STAT1 Tyr701 phosphorylation and DNA binding, but did not affect STAT1 acetylation. HDAC3 activity was required for type I IFN production and subsequent STAT1 activation in FLS. Suppression of type I IFN release by HDAC3/6i resulted in reduced expression of a subset of IFN-dependent genes, including the chemokines CXCL9 and CXCL11.
Inhibition of HDAC3 in RA FLS largely recapitulates the effects of pan-HDACi in suppressing inflammatory gene expression, including type I IFN production in RA FLS. Our results identify HDAC3 as a potential therapeutic target in the treatment of RA and type I IFN-driven autoimmune diseases.
非选择性组蛋白去乙酰化酶(HDAC)抑制剂(HDACi)已在类风湿关节炎(RA)的体外和体内模型中显示出抗炎特性。在此,我们研究了特定的I类和IIb类HDAC对RA成纤维样滑膜细胞(FLS)中炎症基因表达的潜在作用。
将RA FLS与泛HDACi(ITF2357、givinostat)或选择性HDAC1/2i、HDAC3/6i、HDAC6i和HDAC8i一起孵育。或者,用HDAC3、HDAC6或干扰素(IFN)-α/β受体α链(IFNAR1)小干扰RNA(siRNA)转染FLS。通过定量PCR(qPCR)阵列测量白细胞介素(IL)-1β诱导基因的mRNA表达,并通过免疫印迹和DNA结合试验检测信号通路激活情况。
HDAC3/6i而非HDAC1/2i和HDAC8i能显著抑制泛HDACi在RA FLS中靶向的大多数IL-1β诱导基因。与HDAC6特异性抑制和HDAC6沉默相反,HDAC3表达的沉默重现了HDAC3/6i对基因调控的作用。对候选信号转导和转录激活因子(STAT)1转录因子的筛选显示,HDAC3/6i消除了STAT1 Tyr701磷酸化和DNA结合,但不影响STAT1乙酰化。HDAC3活性是FLS中I型IFN产生及随后STAT1激活所必需的。HDAC3/6i对I型IFN释放的抑制导致包括趋化因子CXCL9和CXCL11在内的一部分IFN依赖性基因表达降低。
抑制RA FLS中的HDAC3在很大程度上重现了泛HDACi在抑制炎症基因表达方面的作用,包括RA FLS中I型IFN的产生。我们的结果确定HDAC3是治疗RA和I型IFN驱动的自身免疫性疾病的一个潜在治疗靶点。