Talhaoui Ibtissam, Lebedeva Natalia A, Zarkovic Gabriella, Saint-Pierre Christine, Kutuzov Mikhail M, Sukhanova Maria V, Matkarimov Bakhyt T, Gasparutto Didier, Saparbaev Murat K, Lavrik Olga I, Ishchenko Alexander A
Laboratoire «Stabilité Génétique et Oncogenèse» CNRS, UMR 8200, Univ. Paris-Sud, Université Paris-Saclay, F-94805 Villejuif, France.
Gustave Roussy, Université Paris-Saclay, F-94805 Villejuif, France.
Nucleic Acids Res. 2016 Nov 2;44(19):9279-9295. doi: 10.1093/nar/gkw675. Epub 2016 Jul 28.
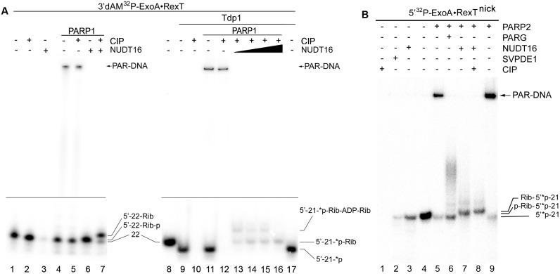
Poly(ADP-ribose) polymerases (PARPs/ARTDs) use nicotinamide adenine dinucleotide (NAD) to catalyse the synthesis of a long branched poly(ADP-ribose) polymer (PAR) attached to the acceptor amino acid residues of nuclear proteins. PARPs act on single- and double-stranded DNA breaks by recruiting DNA repair factors. Here, in in vitro biochemical experiments, we found that the mammalian PARP1 and PARP2 proteins can directly ADP-ribosylate the termini of DNA oligonucleotides. PARP1 preferentially catalysed covalent attachment of ADP-ribose units to the ends of recessed DNA duplexes containing 3'-cordycepin, 5'- and 3'-phosphate and also to 5'-phosphate of a single-stranded oligonucleotide. PARP2 preferentially ADP-ribosylated the nicked/gapped DNA duplexes containing 5'-phosphate at the double-stranded termini. PAR glycohydrolase (PARG) restored native DNA structure by hydrolysing PAR-DNA adducts generated by PARP1 and PARP2. Biochemical and mass spectrometry analyses of the adducts suggested that PARPs utilise DNA termini as an alternative to 2'-hydroxyl of ADP-ribose and protein acceptor residues to catalyse PAR chain initiation either via the 2',1″-O-glycosidic ribose-ribose bond or via phosphodiester bond formation between C1' of ADP-ribose and the phosphate of a terminal deoxyribonucleotide. This new type of post-replicative modification of DNA provides novel insights into the molecular mechanisms underlying biological phenomena of ADP-ribosylation mediated by PARPs.
聚(ADP - 核糖)聚合酶(PARPs/ARTDs)利用烟酰胺腺嘌呤二核苷酸(NAD)催化合成附着于核蛋白受体氨基酸残基的长链分支聚(ADP - 核糖)聚合物(PAR)。PARPs通过招募DNA修复因子作用于单链和双链DNA断裂处。在此,在体外生化实验中,我们发现哺乳动物PARP1和PARP2蛋白可直接将ADP - 核糖基化修饰于DNA寡核苷酸的末端。PARP1优先催化将ADP - 核糖单元共价连接至含有3'-虫草素、5'-和3'-磷酸的凹陷DNA双链末端,以及单链寡核苷酸的5'-磷酸上。PARP2优先将ADP - 核糖基化修饰于双链末端含有5'-磷酸的切口/缺口DNA双链。PAR糖水解酶(PARG)通过水解PARP1和PARP2产生的PAR - DNA加合物来恢复天然DNA结构。对加合物的生化和质谱分析表明,PARPs利用DNA末端替代ADP - 核糖的2'-羟基和蛋白质受体残基,通过2',1″-O - 糖苷核糖 - 核糖键或通过ADP - 核糖的C1'与末端脱氧核糖核苷酸的磷酸之间形成磷酸二酯键来催化PAR链起始。这种新型的DNA复制后修饰为PARPs介导的ADP - 核糖基化生物学现象背后的分子机制提供了新的见解。