Suppr超能文献

油桃中潜伏和可见桃褐腐病菌感染的微观分析

Microscopic Analyses of Latent and Visible Monilinia fructicola Infections in Nectarines.

作者信息

Garcia-Benitez Carlos, Melgarejo Paloma, De Cal Antonieta, Fontaniella Blanca

机构信息

Department of Plant Protection, Instituto Nacional de Investigación y Tecnología Agraria y Alimentaria (INIA), Madrid, Spain.

Department of Vegetal Biology I, Faculty of Biology, Complutense University of Madrid, Madrid, Spain.

出版信息

PLoS One. 2016 Aug 5;11(8):e0160675. doi: 10.1371/journal.pone.0160675. eCollection 2016.

Abstract

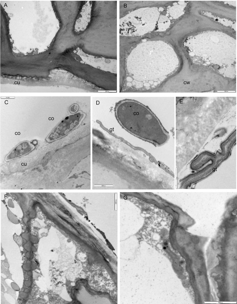
Little is known about the histologic features of a latent Monilinia fructicola infection and brown rot in infected fruit. This report informs on the results of an investigation whose aim was to analyze the microanatomy of nectarines with a latent and visible M. fructicola infection. Mature nectarines were inoculated with an M. fructicola isolate and incubated at 25°C for 0, 24, 48, 72, or 96 hours in the dark. For investigating the latent infection process, the inoculated nectarines were first incubated at 25°C for 24 hours in the dark and then incubated at 4°C for 72, 144, 216, and 288 hours in the dark. At the end of the incubation, samples of nectarine tissue were excised from the inoculation points and prepared for light and transmission electron microscopic examinations. No signs of disease were seen on the surface of nectarines with a latent infection over the 288-hour incubation period. When the tissue samples were microscopically examined, M. fructicola colonized the stomata and this stomatal colonization progressively increased over time and was associated with gradual collapse of the epidermal cells and colonization of the subepidermis. In nectarines with visible brown rot, the disease usually appeared after 24 hours on the surface and in the uppermost layers of epidermal cells, which began to collapse after 48 hours. Subsequently, the diseased tissues of the nectarines displayed (a) colonization of the epidermis and mesocarp by M. fructicola with thin and thick hyphae, (b) collapse and disruption of epidermal and mesocarpic cells, (c) lysogenic cavities in the subepidermis and mesocarp, (d) degradation of the cuticle and epidermis, and (e) M. fructicola sporulation. M. fructicola is active during latent infections because slow and progressive colonization of nectarine subcuticular cells by the fungus occurs.

摘要

关于潜伏性褐腐病菌感染和感染果实上的褐腐病的组织学特征,人们了解甚少。本报告介绍了一项调查结果,该调查旨在分析感染潜伏性和可见性褐腐病菌的油桃的微观解剖结构。将成熟油桃接种褐腐病菌分离株,并在25°C黑暗条件下培养0、24、48、72或96小时。为了研究潜伏感染过程,接种后的油桃先在25°C黑暗条件下培养24小时,然后在4°C黑暗条件下培养72、144、216和288小时。培养结束时,从接种点切取油桃组织样本,准备进行光学显微镜和透射电子显微镜检查。在288小时的培养期内,潜伏感染的油桃表面未出现病害迹象。当对组织样本进行显微镜检查时,发现褐腐病菌定殖于气孔,且这种气孔定殖随时间逐渐增加,并与表皮细胞逐渐塌陷和皮下组织定殖有关。在出现可见褐腐病的油桃中,病害通常在24小时后出现在表面和最上层的表皮细胞中,48小时后表皮细胞开始塌陷。随后,油桃的患病组织表现出:(a) 褐腐病菌以粗细菌丝定殖于表皮和中果皮;(b) 表皮和中果皮细胞塌陷和破坏;(c) 皮下组织和中果皮出现溶菌腔;(d) 角质层和表皮降解;(e) 褐腐病菌 sporulation。褐腐病菌在潜伏感染期间具有活性,因为真菌会缓慢且逐渐地定殖于油桃皮下细胞。

https://cdn.ncbi.nlm.nih.gov/pmc/blobs/7268/4975509/7c368b9bd9ce/pone.0160675.g001.jpg

文献AI研究员

20分钟写一篇综述,助力文献阅读效率提升50倍。

立即体验

用中文搜PubMed

大模型驱动的PubMed中文搜索引擎

马上搜索

文档翻译

学术文献翻译模型,支持多种主流文档格式。

立即体验