Suppr超能文献

人表皮中所有CD44转录本的分离及其受多种因子调控的表达

Isolation of All CD44 Transcripts in Human Epidermis and Regulation of Their Expression by Various Agents.

作者信息

Teye Kwesi, Numata Sanae, Ishii Norito, Krol Rafal P, Tsuchisaka Atsunari, Hamada Takahiro, Koga Hiroshi, Karashima Tadashi, Ohata Chika, Tsuruta Daisuke, Saya Hideyuki, Haftek Marek, Hashimoto Takashi

机构信息

Department of Dermatology, Kurume University School of Medicine, and Kurume University Institute of Cutaneous Cell Biology, Kurume, Fukuoka, 830-0011, Japan.

Department of Dermatology, Osaka City University Graduate School of Medicine, Osaka, Japan.

出版信息

PLoS One. 2016 Aug 9;11(8):e0160952. doi: 10.1371/journal.pone.0160952. eCollection 2016.

Abstract

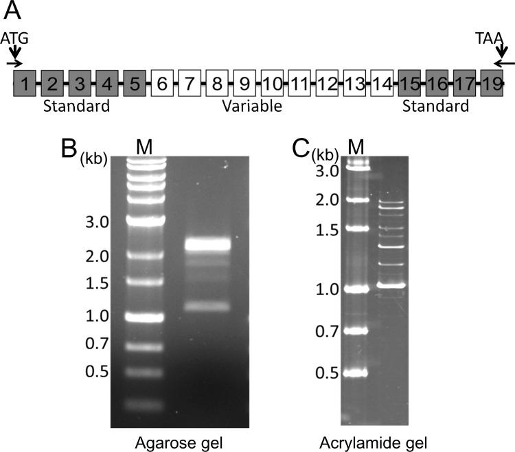
CD44, a cell surface proteoglycan, is involved in many biological events. CD44 transcripts undergo complex alternative splicing, resulting in many functionally distinct isoforms. To date, however, the nature of these isoforms in human epidermis has not been adequately determined. In this study, we isolated all CD44 transcripts from normal human epidermis, and studied how their expressions are regulated. By RT-PCR, we found that a number of different CD44 transcripts were expressed in human epidermis, and we obtained all these transcripts from DNA bands in agarose and acrylamide gels by cloning. Detailed sequence analysis revealed 18 CD44 transcripts, 3 of which were novel. Next, we examined effects of 10 different agents on the expression of CD44 transcripts in cultured human keratinocytes, and found that several agents, particularly epidermal growth factor, hydrogen peroxide, phorbol 12-myristate 13-acetate, retinoic acid, calcium and fetal calf serum differently regulated their expressions in various patterns. Furthermore, normal and malignant keratinocytes were found to produce different CD44 transcripts upon serum stimulation and subsequent starvation, suggesting that specific CD44 isoforms are involved in tumorigenesis via different CD44-mediated biological pathways.

摘要

CD44是一种细胞表面蛋白聚糖,参与许多生物学事件。CD44转录本经历复杂的可变剪接,产生许多功能不同的异构体。然而,迄今为止,人类表皮中这些异构体的性质尚未得到充分确定。在本研究中,我们从正常人表皮中分离出所有CD44转录本,并研究它们的表达是如何调控的。通过逆转录聚合酶链反应(RT-PCR),我们发现人类表皮中表达了许多不同的CD44转录本,并且我们通过克隆从琼脂糖和丙烯酰胺凝胶中的DNA条带获得了所有这些转录本。详细的序列分析揭示了18种CD44转录本,其中3种是新的。接下来,我们研究了10种不同试剂对培养的人角质形成细胞中CD44转录本表达的影响,发现几种试剂,特别是表皮生长因子、过氧化氢、佛波酯12-肉豆蔻酸酯13-乙酸酯、视黄酸、钙和胎牛血清以不同模式不同程度地调节它们的表达。此外,发现正常和恶性角质形成细胞在血清刺激和随后的饥饿后产生不同的CD44转录本,这表明特定的CD44异构体通过不同的CD44介导的生物学途径参与肿瘤发生。

https://cdn.ncbi.nlm.nih.gov/pmc/blobs/ceb6/4978388/d712e563b600/pone.0160952.g001.jpg

文献AI研究员

20分钟写一篇综述,助力文献阅读效率提升50倍。

立即体验

用中文搜PubMed

大模型驱动的PubMed中文搜索引擎

马上搜索

文档翻译

学术文献翻译模型,支持多种主流文档格式。

立即体验