Suppr超能文献

蜂毒在BV2小胶质细胞中的抗炎活性:髓样分化因子88依赖的核因子κB信号通路的介导作用

Anti-Inflammatory Activity of Bee Venom in BV2 Microglial Cells: Mediation of MyD88-Dependent NF-κB Signaling Pathway.

作者信息

Im Eun Ju, Kim Su Jung, Hong Seung Bok, Park Jin-Kyu, Rhee Man Hee

机构信息

Laboratory of Veterinary Physiology and Cell Signaling, College of Veterinary Medicine, Kyungpook National University, Daegu 41566, Republic of Korea.

Department of Biomedical Laboratory Science, Daegu Health College, Daegu 41453, Republic of Korea.

出版信息

Evid Based Complement Alternat Med. 2016;2016:3704764. doi: 10.1155/2016/3704764. Epub 2016 Aug 3.

Abstract

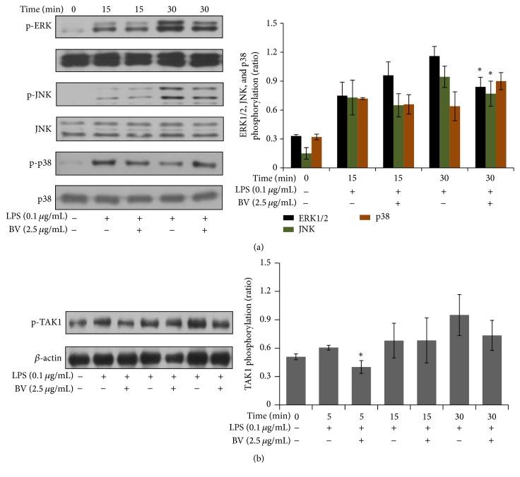
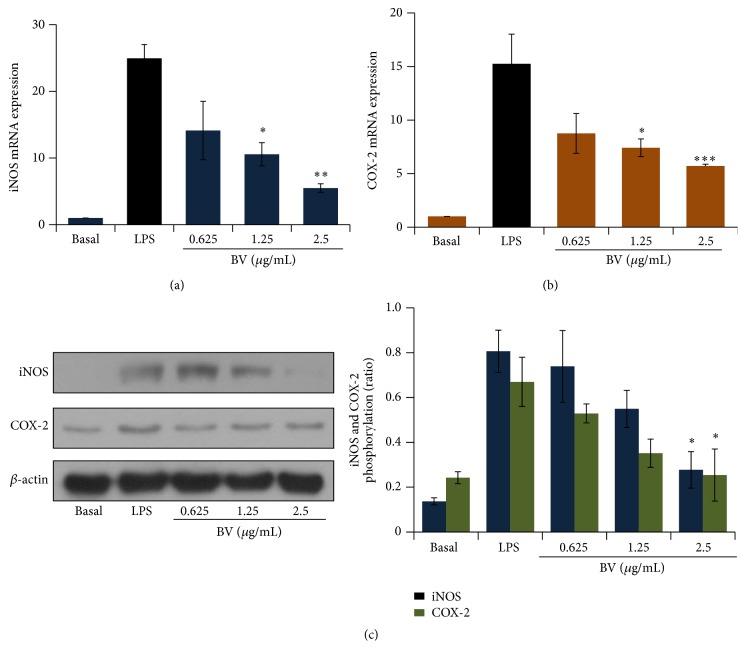
Bee venom has long been used as a traditional folk medicine in Korea. It has been reportedly used for the treatment of arthritis, cancer, and inflammation. Although its anti-inflammatory activity in lipopolysaccharide- (LPS-) stimulated inflammatory cells has been reported, the exact mechanism of its anti-inflammatory action has not been fully elucidated. Therefore, the aim of this study was to investigate the anti-inflammatory mechanism of bee venom in BV2 microglial cells. We first investigated whether NO production in LPS-activated BV2 cells was inhibited by bee venom, and further iNOS mRNA and protein expressions were determined. The mRNA and protein levels of proinflammatory cytokines were examined using semiquantitative RT-PCR and immunoblotting, respectively. Moreover, modulation of the transcription factor NF-κB by bee venom was also investigated using a luciferase assay. LPS-induced NO production in BV2 microglial cells was significantly inhibited in a concentration-dependent manner upon pretreatment with bee venom. Bee venom markedly reduced the mRNA expression of COX-2, TNF-α, IL-1β, and IL-6 and suppressed LPS-induced activation of MyD88 and IRAK1 and phosphorylation of TAK1. Moreover, NF-κB translocation by IKKα/β phosphorylation and subsequent IκB-α degradation were also attenuated. Thus, collectively, these results indicate that bee venom exerts its anti-inflammatory activity via the IRAK1/TAK1/NF-κB signaling pathway.

摘要

在韩国,蜂毒长期以来一直被用作传统民间药物。据报道,它被用于治疗关节炎、癌症和炎症。尽管已有报道称其在脂多糖(LPS)刺激的炎症细胞中具有抗炎活性,但其抗炎作用的确切机制尚未完全阐明。因此,本研究的目的是探讨蜂毒在BV2小胶质细胞中的抗炎机制。我们首先研究了蜂毒是否能抑制LPS激活的BV2细胞中一氧化氮(NO)的产生,并进一步测定了诱导型一氧化氮合酶(iNOS)的mRNA和蛋白表达。分别使用半定量逆转录聚合酶链反应(RT-PCR)和免疫印迹法检测促炎细胞因子的mRNA和蛋白水平。此外,还使用荧光素酶测定法研究了蜂毒对转录因子核因子κB(NF-κB)的调节作用。用蜂毒预处理后,LPS诱导的BV2小胶质细胞中NO的产生以浓度依赖的方式受到显著抑制。蜂毒显著降低了环氧化酶-2(COX-2)、肿瘤坏死因子-α(TNF-α)、白细胞介素-1β(IL-1β)和白细胞介素-6(IL-6)的mRNA表达,并抑制了LPS诱导的髓样分化因子88(MyD88)和白细胞介素-1受体相关激酶1(IRAK1)的激活以及转化生长因子β激活激酶1(TAK1)的磷酸化。此外,IKKα/β磷酸化导致的NF-κB易位以及随后IκB-α的降解也减弱。因此,总体而言,这些结果表明蜂毒通过IRAK1/TAK1/NF-κB信号通路发挥其抗炎活性。

https://cdn.ncbi.nlm.nih.gov/pmc/blobs/1a1c/4987476/6f4d1eab572a/ECAM2016-3704764.001.jpg

文献AI研究员

20分钟写一篇综述,助力文献阅读效率提升50倍。

立即体验

用中文搜PubMed

大模型驱动的PubMed中文搜索引擎

马上搜索

文档翻译

学术文献翻译模型,支持多种主流文档格式。

立即体验