Suppr超能文献

一例偶然诊断的 Erdheim-Chester 病病例。

A Case of Incidentally-diagnosed Erdheim-Chester Disease.

作者信息

Dave Atman A, Gutschow Susan E, Walker Christopher M

机构信息

Medical Education, Saint Luke's Hospital of Kansas City.

Department of Radiology, Saint Luke's Hospital of Kansas City.

出版信息

Cureus. 2016 Sep 13;8(9):e781. doi: 10.7759/cureus.781.

Abstract

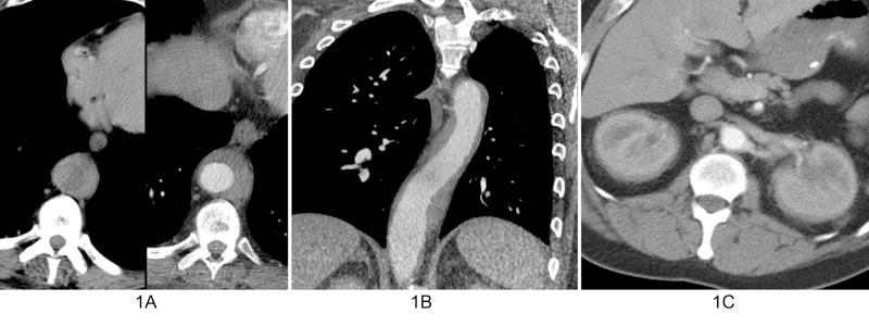
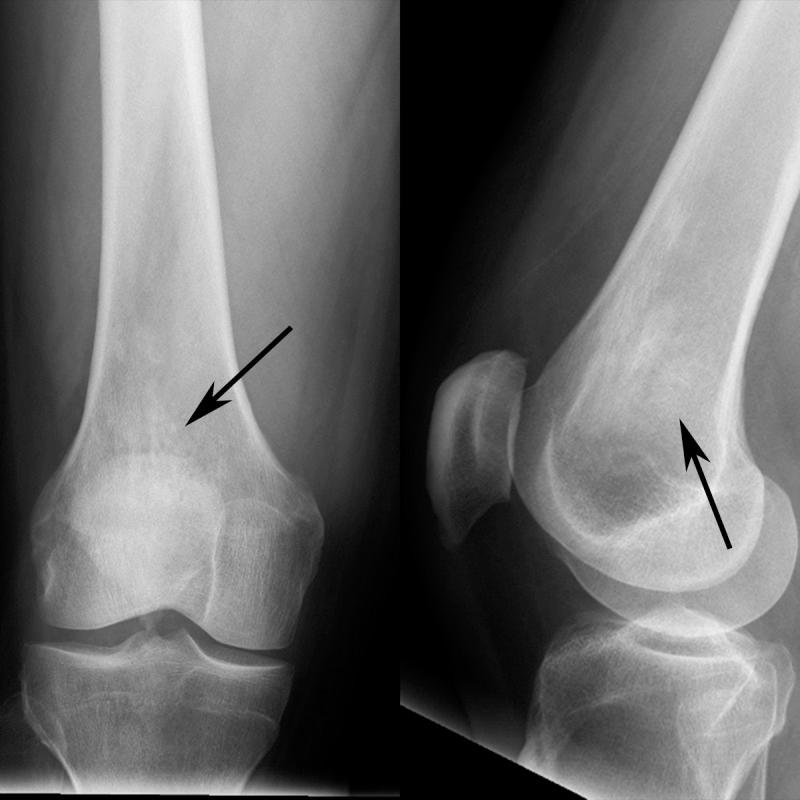
Erdheim-Chester disease (ECD) is a rare multisystemic non-Langerhans cell histiocytosis that may be clonal and inflammatory in origin. The hallmark of the disease is infiltration of various organ systems by CD68+/CD1a- histiocytes containing foamy lipid-laden inclusions. The manifestations and course of the disease are variable and depend on the organ systems that are affected. Patients may be asymptomatic or may develop life-threatening complications, including myocardial infarction. The most common clinical manifestation is lower extremity bone pain. Imaging manifestations of the disease include symmetric osteosclerosis of the distal long bones, circumferentially "coated" aorta, pleural and pericardial thickening/fluid, and perirenal encasement. Treatment for the disease is evolving, particularly with the use of molecular BRAF inhibition. We present a case of a patient with ECD initially suspected based on the imaging manifestations.

摘要

厄德里希-切斯特病(ECD)是一种罕见的多系统非朗格汉斯细胞组织细胞增多症,其起源可能是克隆性和炎症性的。该疾病的标志是含有泡沫状脂质包涵体的CD68+/CD1a-组织细胞浸润各种器官系统。疾病的表现和病程各不相同,取决于受影响的器官系统。患者可能无症状,也可能出现危及生命的并发症,包括心肌梗死。最常见的临床表现是下肢骨痛。该疾病的影像学表现包括远端长骨的对称性骨硬化、主动脉周围“包绕”、胸膜和心包增厚/积液以及肾周包裹。针对该疾病的治疗正在不断发展,尤其是使用分子BRAF抑制剂。我们报告一例最初根据影像学表现怀疑为ECD的患者病例。

https://cdn.ncbi.nlm.nih.gov/pmc/blobs/8723/5063637/9393c94d4779/cureus-0008-000000000781-i01.jpg

文献AI研究员

20分钟写一篇综述,助力文献阅读效率提升50倍。

立即体验

用中文搜PubMed

大模型驱动的PubMed中文搜索引擎

马上搜索

文档翻译

学术文献翻译模型,支持多种主流文档格式。

立即体验