Suppr超能文献

筛查乳腺钼靶检查发现隐匿性原发性神经内分泌肿瘤转移至乳腺

Occult Primary Neuroendocrine Tumor Metastasis to the Breast Detected on Screening Mammogram.

作者信息

Policeni Fabiana, Pakalniskis Brittany, Yang Limin

机构信息

Department of Radiology, University of Iowa Hospitals and Clinics, Iowa City, IA, USA.

Department of Pathology, University of Washington, Seattle, WA, USA.

出版信息

J Clin Imaging Sci. 2016 Sep 29;6:41. doi: 10.4103/2156-7514.191439. eCollection 2016.

Abstract

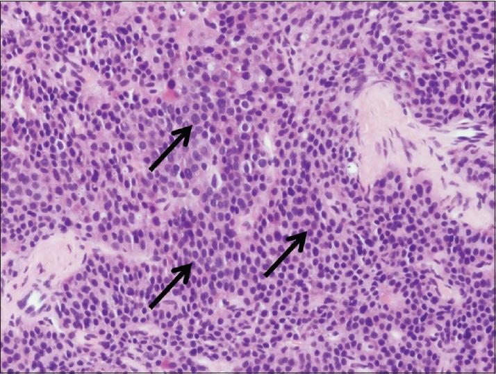
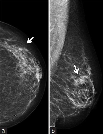
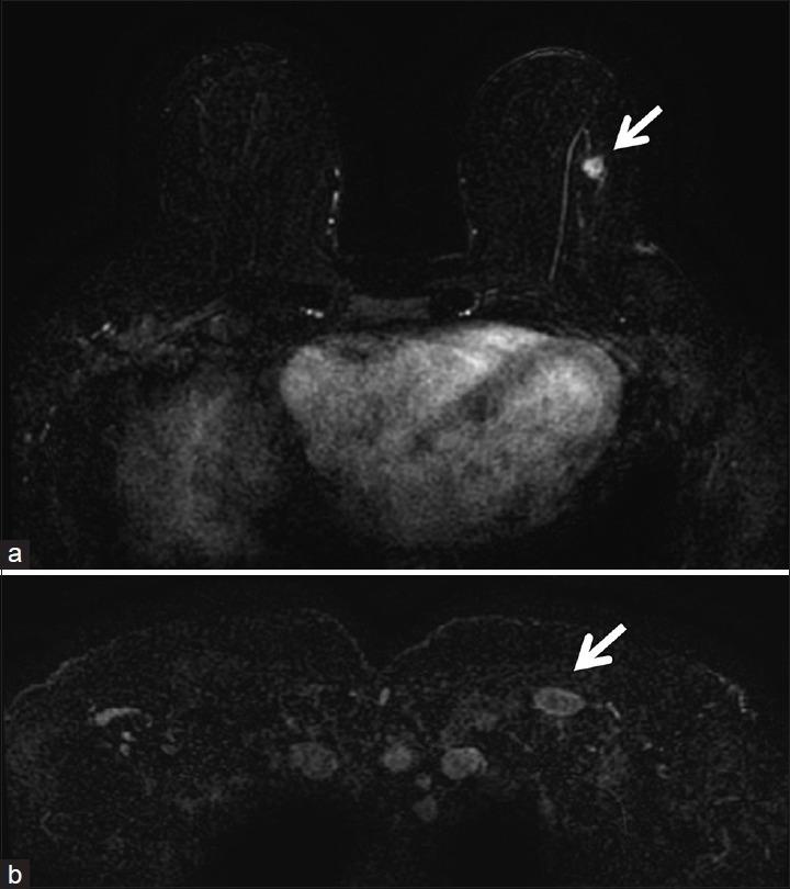
Metastatic tumors are rare in the breast. Well-differentiated neuroendocrine tumors (WDNETs) are slow-growing neoplasms that arise from neuroendocrine cells, particularly in the gastrointestinal tract and bronchial tree. Metastatic WDNET to the breast is a rare entity. We present a case report of ileal WDNET metastatic to the breast which was initially identified as a small mass in the patient's left breast on screening mammography. Targeted ultrasound identified a suspicious mass, and ultrasound-guided percutaneous core biopsy was performed. Pathology revealed metastatic WDNET. Breast magnetic resonance imaging (MRI) was then performed and demonstrated left axillary Level 2 lymphadenopathy, and liver lesions were suspicious for metastasis. The patient underwent abdominal computed tomography (CT) to evaluate for distant metastatic disease. A spiculated mass was found near the ileocecal valve, suggestive of primary ileal WDNET. In addition, CT identified multiple liver lesions, most compatible with metastasis. Indium 111 OctreoScan confirmed radiotracer uptake in the ileum consistent with primary neuroendocrine tumor. In this report, we review the imaging characteristics of metastatic WDNET to the breast by different imaging modalities including mammogram, ultrasound, and breast MRI.

摘要

转移性肿瘤在乳腺中较为罕见。高分化神经内分泌肿瘤(WDNETs)是起源于神经内分泌细胞的生长缓慢的肿瘤,尤其多见于胃肠道和支气管树。乳腺转移性WDNET是一种罕见的情况。我们报告一例回肠WDNET转移至乳腺的病例,该病例最初在乳腺钼靶筛查时被发现为患者左乳的一个小肿块。靶向超声检查发现一个可疑肿块,并进行了超声引导下经皮穿刺活检。病理结果显示为转移性WDNET。随后进行了乳腺磁共振成像(MRI)检查,结果显示左侧腋窝2级淋巴结肿大,肝脏病变可疑为转移灶。患者接受了腹部计算机断层扫描(CT)以评估远处转移情况。在回盲瓣附近发现一个有毛刺的肿块,提示原发性回肠WDNET。此外,CT检查发现多个肝脏病变,最符合转移表现。铟111奥曲肽扫描证实回肠有放射性示踪剂摄取,与原发性神经内分泌肿瘤一致。在本报告中,我们通过不同的成像方式,包括乳腺钼靶、超声和乳腺MRI,回顾了乳腺转移性WDNET的影像学特征。

https://cdn.ncbi.nlm.nih.gov/pmc/blobs/a6d7/5070031/7dd772d5c958/JCIS-6-41-g002.jpg

文献AI研究员

20分钟写一篇综述,助力文献阅读效率提升50倍。

立即体验

用中文搜PubMed

大模型驱动的PubMed中文搜索引擎

马上搜索

文档翻译

学术文献翻译模型,支持多种主流文档格式。

立即体验