Suppr超能文献

妊娠剧吐所致韦尼克脑病:临床及磁共振成像特征

Wernicke's encephalopathy due to hyperemesis gravidarum: Clinical and magnetic resonance imaging characteristics.

作者信息

Ashraf V V, Prijesh J, Praveenkumar R, Saifudheen K

机构信息

Department of Neurology, Malabar Institute of Medical Sciences, Calicut, Kerala, India.

Department of Internal Medicine, Malabar Institute of Medical Sciences, Calicut, Kerala, India.

出版信息

J Postgrad Med. 2016 Oct-Dec;62(4):260-263. doi: 10.4103/0022-3859.191005.

Abstract

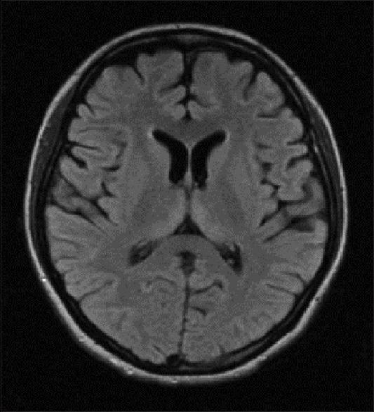
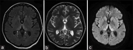
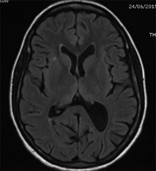
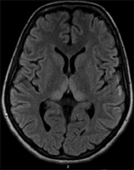
Hyperemesis gravidarum-induced Wernicke's encephalopathy (WE) is an underestimated condition. The purpose of this study is to improve its awareness and early diagnosis. We report five cases of WE secondary to hyperemesis gravidarum. Classic triad of encephalopathy, ataxia, and ocular signs was seen in four out of five patients. Two unusual features noted in this series were papilledema in one patient and severe sensory-motor peripheral neuropathy in one patient. Magnetic resonance imaging (MRI) was abnormal in all the five patients, and high signal in medial thalamus and surrounding the aqueduct was the most common abnormality (5/5). Involvement of caudate nucleus was seen in two patients with severe psychosis, and two patients had bilateral cerebellar peduncle involvement. Median time delay between onset of neurological symptoms and diagnosis was 7 days. All patients improved with thiamine, but minor sequelae were seen in four patients at 12 months follow-up. One patient had a fetal demise. Hyperemesis gravidarum-induced WE is a common cause of maternal morbidity. Typical MRI findings of symmetric medial thalamic and periaqueductal signal changes may permit a specific diagnosis. A delay in diagnosis, therefore treatment, leads to worse prognosis.

摘要

妊娠剧吐所致韦尼克脑病(WE)是一种被低估的疾病。本研究的目的是提高对其的认识并实现早期诊断。我们报告了5例继发于妊娠剧吐的韦尼克脑病病例。五分之四的患者出现了脑病、共济失调和眼部体征的典型三联征。本系列中注意到的两个不寻常特征是1例患者出现视乳头水肿,1例患者出现严重的感觉运动性周围神经病。所有5例患者的磁共振成像(MRI)均异常,内侧丘脑和导水管周围高信号是最常见的异常表现(5/5)。2例严重精神病患者出现尾状核受累,2例患者双侧小脑脚受累。神经症状出现至诊断的中位时间延迟为7天。所有患者经硫胺素治疗后均有改善,但在12个月的随访中,4例患者出现轻微后遗症。1例患者发生胎儿死亡。妊娠剧吐所致韦尼克脑病是孕产妇发病的常见原因。对称的内侧丘脑和导水管周围信号改变的典型MRI表现可能有助于做出明确诊断。诊断延迟进而导致治疗延迟会导致预后更差。

https://cdn.ncbi.nlm.nih.gov/pmc/blobs/a839/5105213/4b6ecc9a11b8/JPGM-62-260-g001.jpg

文献检索

告别复杂PubMed语法,用中文像聊天一样搜索,搜遍4000万医学文献。AI智能推荐,让科研检索更轻松。

立即免费搜索

文件翻译

保留排版,准确专业,支持PDF/Word/PPT等文件格式,支持 12+语言互译。

免费翻译文档

深度研究

AI帮你快速写综述,25分钟生成高质量综述,智能提取关键信息,辅助科研写作。

立即免费体验