Suppr超能文献

因溢泪发现的泪囊黏膜相关淋巴组织原发性边缘区B细胞淋巴瘤:1例报告

Primary Marginal Zone B-Cell Lymphoma of the Mucosa-Associated Lymphoid Tissue of the Lacrimal Sac Found with Epiphora: A Case Report.

作者信息

Kitaguchi Yoshiyuki, Takahashi Yasuhiro, Mupas-Uy Jacqueline, Takahashi Emiko, Kakizaki Hirohiko

机构信息

Department of Oculoplastic, Orbital & Lacrimal Surgery, Aichi Medical University Hospital, Nagakute, Japan.

Department of Pathology, Aichi Medical University Hospital, Nagakute, Japan.

出版信息

Case Rep Ophthalmol. 2016 Sep 16;7(3):148-154. doi: 10.1159/000449121. eCollection 2016 Sep-Dec.

Abstract

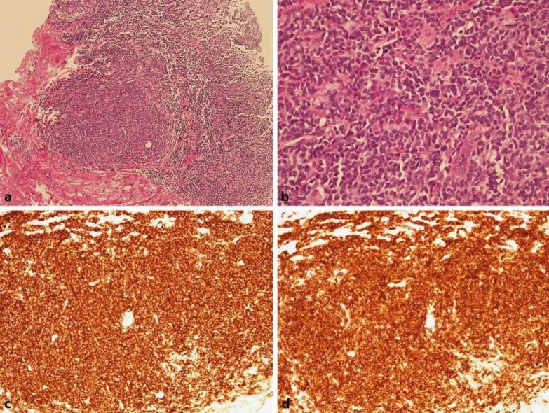
We report a case of a primary marginal zone B-cell lymphoma of the mucosa-associated lymphoid tissue of the lacrimal sac, which was found in a patient with epiphora without palpable mass. Magnetic resonance imaging demonstrated mucosal thickening of the lacrimal sac with a patent lumen, consistent with the intraoperative finding. Epiphora resolved, which was confirmed by smooth syringing, 1 month after starting the immunotherapy.

摘要

我们报告一例泪囊黏膜相关淋巴组织原发性边缘区B细胞淋巴瘤,该病例发现于一名有溢泪症状但未触及肿块的患者。磁共振成像显示泪囊黏膜增厚,管腔通畅,与术中发现一致。开始免疫治疗1个月后,溢泪症状消失,泪道冲洗通畅证实了这一点。

https://cdn.ncbi.nlm.nih.gov/pmc/blobs/3413/5073679/ffd7037c5ff3/cop-0007-0148-g01.jpg

文献AI研究员

20分钟写一篇综述,助力文献阅读效率提升50倍。

立即体验

用中文搜PubMed

大模型驱动的PubMed中文搜索引擎

马上搜索

文档翻译

学术文献翻译模型,支持多种主流文档格式。

立即体验