Yiu Glenn, Vuong Vivian S, Oltjen Sharon, Cunefare David, Farsiu Sina, Garzel Laura, Roberts Jeffrey, Thomasy Sara M
Department of Ophthalmology and Vision Science, University of California-Davis, Sacramento, California, United States.
Department of Biomedical Engineering, Duke University, Durham, North Carolina, United States.
Invest Ophthalmol Vis Sci. 2016 Oct 1;57(13):5764-5771. doi: 10.1167/iovs.16-20070.
To compare cross-sectional choroidal morphology in rhesus macaque and human eyes using enhanced-depth imaging optical coherence tomography (EDI-OCT) and histologic analysis.
Enhanced-depth imaging-OCT images from 25 rhesus macaque and 30 human eyes were evaluated for choriocapillaris and choroidal-scleral junction (CSJ) visibility in the central macula based on OCT reflectivity profiles, and compared with age-matched histologic sections. Semiautomated segmentation of the choriocapillaris and CSJ was used to measure choriocapillary and choroidal thickness, respectively. Multivariate regression was performed to determine the association of age, refractive error, and race with choriocapillaris and CSJ visibility.
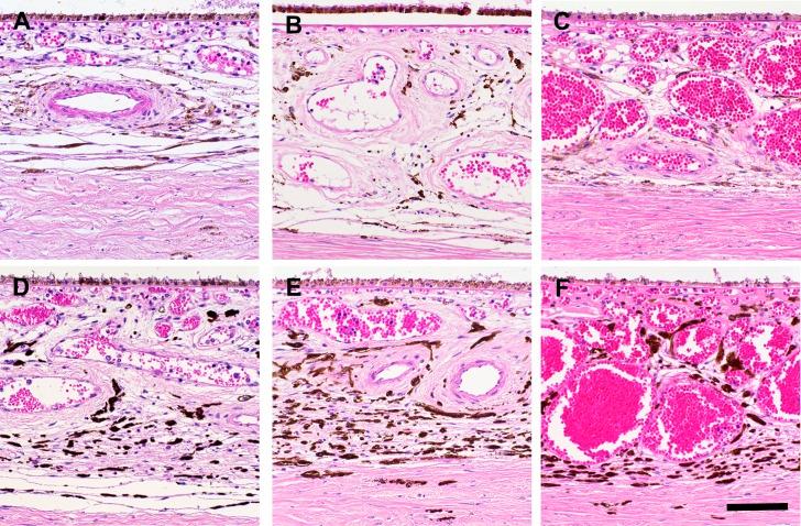
Rhesus macaques exhibit a distinct hyporeflective choriocapillaris layer on EDI-OCT, while the CSJ cannot be visualized. In contrast, humans show variable reflectivities of the choriocapillaris, with a distinct CSJ seen in many subjects. Histologic sections demonstrate large, darkly pigmented melanocytes that are densely distributed in the macaque choroid, while melanocytes in humans are smaller, less pigmented, and variably distributed. Optical coherence tomography reflectivity patterns of the choroid appear to correspond to the density, size, and pigmentation of choroidal melanocytes. Mean choriocapillary thickness was similar between the two species (19.3 ± 3.4 vs. 19.8 ± 3.4 μm, P = 0.615), but choroidal thickness may be lower in macaques than in humans (191.2 ± 43.0 vs. 266.8 ± 78.0 μm, P < 0.001). Racial differences in uveal pigmentation also appear to affect the visibility of the choriocapillaris and CSJ on EDI-OCT.
Pigmented uveal melanocytes affect choroidal morphology on EDI-OCT in rhesus macaque and human eyes. Racial differences in pigmentation may affect choriocapillaris and CSJ visibility, and may influence the accuracy of choroidal thickness measurements.
使用增强深度成像光学相干断层扫描(EDI-OCT)和组织学分析比较恒河猴和人眼的脉络膜横断面形态。
基于OCT反射率曲线,评估来自25只恒河猴和30只人眼的增强深度成像-OCT图像中黄斑中心凹处脉络膜毛细血管和脉络膜-巩膜交界处(CSJ)的可视性,并与年龄匹配的组织学切片进行比较。分别使用脉络膜毛细血管和CSJ的半自动分割来测量脉络膜毛细血管和脉络膜厚度。进行多变量回归以确定年龄、屈光不正和种族与脉络膜毛细血管和CSJ可视性之间的关联。
恒河猴在EDI-OCT上表现出明显的低反射性脉络膜毛细血管层,而CSJ不可见。相比之下,人类脉络膜毛细血管的反射率各不相同,许多受试者可见明显的CSJ。组织学切片显示,大的、色素沉着深的黑素细胞密集分布在恒河猴脉络膜中,而人类的黑素细胞较小、色素沉着较少且分布各异。脉络膜的光学相干断层扫描反射率模式似乎与脉络膜黑素细胞的密度、大小和色素沉着相对应。两种物种的平均脉络膜毛细血管厚度相似(19.3±3.4对19.8±3.4μm,P = 0.615),但恒河猴的脉络膜厚度可能低于人类(191.2±43.0对266.