Suppr超能文献

中国肉鸡爆发肝炎-心包积水综合征中新型禽腺病毒 4 分离株的遗传特征。

Genetic characterization of novel fowl aviadenovirus 4 isolates from outbreaks of hepatitis-hydropericardium syndrome in broiler chickens in China.

机构信息

Department of Preventive Veterinary Medicine, College of Animal Science and Veterinary Medicine, Henan Agricultural University, Zhengzhou 450002, Henan Province, China.

出版信息

Emerg Microbes Infect. 2016 Nov 23;5(11):e117. doi: 10.1038/emi.2016.115.

Abstract

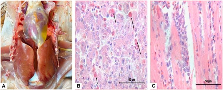
Since May 2015, severe outbreaks of hepatitis-hydropericardium syndrome (HHS) associated with infections of fowl aviadenovirus (FAdV) have emerged in broiler chickens in several Chinese provinces. To identify the genotype and gain a better understanding of the genetic properties of the FAdV strains responsible for the recent HHS outbreaks in China, the complete genome sequences of five isolates from outbreaks of HHS in broiler chickens in five provinces were determined. The results demonstrated that a novel fowl aviadenovirus 4 (FAdV-4) genotype was epidemic in China. To investigate the molecular characteristics of these Chinese FAdV-4 isolates, their genome contents were compared with those of reported pathogenic and non-pathogenic FAdV-4 strains. The comparative analysis revealed that the novel Chinese FAdV-4 isolates contain various genomic deletions and multiple distinct amino-acid mutations in their major structural genes. Two additional putative genetic virulence markers in the fiber 2 gene were identified. These findings confirmed some of the genetic differences between the pathogenic and non-pathogenic FAdV-4 isolates. The data presented in this report will enhance the current understanding of the molecular epidemiology and genetic diversity of FAdV-4 isolates in China and will provide additional insight into the critical factors that determine the pathogenicity of FAdV-4 strains. Finally, the emergence of this novel and highly pathogenic FAdV-4 genotype emphasizes that preventive measures against FAdV-4 infections on poultry farms should be implemented in China.

摘要

自 2015 年 5 月以来,中国多个省份的肉鸡中爆发了与禽腺病毒(FAdV)感染相关的重症肝炎-心包积水综合征(HHS)。为了鉴定基因型并更好地了解导致中国近期 HHS 爆发的 FAdV 株的遗传特性,对来自中国五个省份 HHS 爆发的五个分离株的全基因组序列进行了测定。结果表明,一种新型的禽腺病毒 4 型(FAdV-4)在中国流行。为了研究这些中国 FAdV-4 分离株的分子特征,将它们的基因组内容与报道的致病性和非致病性 FAdV-4 株进行了比较。比较分析表明,新型中国 FAdV-4 分离株在其主要结构基因中含有各种基因组缺失和多个不同的氨基酸突变。在纤维 2 基因中还鉴定出了另外两个潜在的遗传毒力标记。这些发现证实了致病性和非致病性 FAdV-4 分离株之间的一些遗传差异。本报告中提供的数据将增强对中国 FAdV-4 分离株的分子流行病学和遗传多样性的认识,并为确定 FAdV-4 株的致病性的关键因素提供更多的了解。最后,这种新型高致病性 FAdV-4 基因型的出现强调了在中国的家禽养殖场应实施针对 FAdV-4 感染的预防措施。

https://cdn.ncbi.nlm.nih.gov/pmc/blobs/1bab/5148019/61170906a102/emi2016115f1.jpg

文献检索

告别复杂PubMed语法,用中文像聊天一样搜索,搜遍4000万医学文献。AI智能推荐,让科研检索更轻松。

立即免费搜索

文件翻译

保留排版,准确专业,支持PDF/Word/PPT等文件格式,支持 12+语言互译。

免费翻译文档

深度研究

AI帮你快速写综述,25分钟生成高质量综述,智能提取关键信息,辅助科研写作。

立即免费体验