• 文献检索
  • 文档翻译
  • 深度研究
  • 学术资讯
  • Suppr Zotero 插件Zotero 插件
  • 邀请有礼
  • 套餐&价格
  • 历史记录
应用&插件
Suppr Zotero 插件Zotero 插件浏览器插件Mac 客户端Windows 客户端微信小程序
定价
高级版会员购买积分包购买API积分包
服务
文献检索文档翻译深度研究API 文档MCP 服务
关于我们
关于 Suppr公司介绍联系我们用户协议隐私条款
关注我们

Suppr 超能文献

核心技术专利:CN118964589B侵权必究
粤ICP备2023148730 号-1Suppr @ 2026

文献检索

告别复杂PubMed语法,用中文像聊天一样搜索,搜遍4000万医学文献。AI智能推荐,让科研检索更轻松。

立即免费搜索

文件翻译

保留排版,准确专业,支持PDF/Word/PPT等文件格式,支持 12+语言互译。

免费翻译文档

深度研究

AI帮你快速写综述,25分钟生成高质量综述,智能提取关键信息,辅助科研写作。

立即免费体验

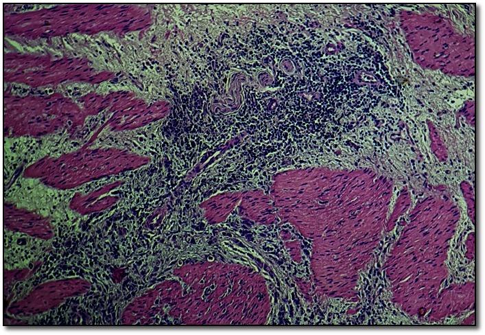
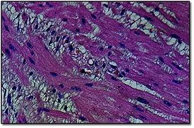
一例早期胃癌(印戒细胞型)的5年综合临床及组织病理学随访

5 -year complex clinical and histopathological follow-up of a case of early gastric carcinoma (signet ring cells type).

作者信息

Serban D, Branescu C, Savlovschi C, Simion G, Mihai A, El-Khatib A, Tudor C, Nica A, Vancea G, Ghelase M, Dascalu A M

机构信息

"Carol Davila" University of Medicine and Pharmacy, Bucharest, Romania.

IVth Upper Digestive Surgery Clinic, University Emergency Hospital, Bucharest, Romania.

出版信息

J Med Life. 2016 Jul-Sep;9(3):291-293.

PMID:27974937
原文链接:https://pmc.ncbi.nlm.nih.gov/articles/PMC5154317/
Abstract

The paper presents the case of a male patient, hospitalized for acute abdomen due to perforated callous ulcer. Though the clinical appearance suggested a benign pathology, the histopathological exam of the resection piece showed multicentric early gastric carcinoma, signet ring cell type. At the patient's request, total gastrectomy was not performed, a conservative solution being chosen instead. Superior digestive endoscopy with biopsy and oncological dispensarization was performed one month after surgery, then at every 6 months. After 2 years of benign results, the histopathological exam revealed the presence of malign singlet ring cells in the bioptic specimen. Respecting the patient's option of preserving a good quality of life, subtotal gastrectomy with Pean type gastroenteroanastomosis was performed followed by postoperatory chemotherapy. Endoscopic and oncological follow-up were performed at every six months for another 3 years (up to present), and the evolution was favorable with no local or metastatic recurrence. Histopathological examination was of great help in the surgical management of this case, allowing a fortunate early diagnosis, a conservative surgical approach, and the preserving of a good quality of life.

摘要

本文介绍了一名男性患者的病例,该患者因胼胝性溃疡穿孔导致急腹症而住院。尽管临床表现提示为良性病变,但切除组织的组织病理学检查显示为多中心早期胃癌,印戒细胞型。应患者要求,未进行全胃切除术,而是选择了保守治疗方案。术后1个月进行了上消化道内镜检查及活检和肿瘤专科诊疗,之后每6个月进行一次。在2年的良性结果后,组织病理学检查显示活检标本中存在恶性印戒细胞。考虑到患者保留良好生活质量的选择,进行了Pean式胃肠吻合术的胃次全切除术,随后进行术后化疗。此后每6个月进行一次内镜和肿瘤学随访,持续3年(直至目前),病情进展良好,无局部或转移复发。组织病理学检查对该病例的手术管理有很大帮助,使得能够幸运地早期诊断、采取保守手术方法并保留良好的生活质量。

https://cdn.ncbi.nlm.nih.gov/pmc/blobs/3fb4/5154317/cd4390724eac/JMedLife-09-291-g004.jpg
https://cdn.ncbi.nlm.nih.gov/pmc/blobs/3fb4/5154317/6beb9800c8c6/JMedLife-09-291-g001.jpg
https://cdn.ncbi.nlm.nih.gov/pmc/blobs/3fb4/5154317/04839b8ac762/JMedLife-09-291-g002.jpg
https://cdn.ncbi.nlm.nih.gov/pmc/blobs/3fb4/5154317/45d6eda5907e/JMedLife-09-291-g003.jpg
https://cdn.ncbi.nlm.nih.gov/pmc/blobs/3fb4/5154317/cd4390724eac/JMedLife-09-291-g004.jpg
https://cdn.ncbi.nlm.nih.gov/pmc/blobs/3fb4/5154317/6beb9800c8c6/JMedLife-09-291-g001.jpg
https://cdn.ncbi.nlm.nih.gov/pmc/blobs/3fb4/5154317/04839b8ac762/JMedLife-09-291-g002.jpg
https://cdn.ncbi.nlm.nih.gov/pmc/blobs/3fb4/5154317/45d6eda5907e/JMedLife-09-291-g003.jpg
https://cdn.ncbi.nlm.nih.gov/pmc/blobs/3fb4/5154317/cd4390724eac/JMedLife-09-291-g004.jpg

相似文献

1
5 -year complex clinical and histopathological follow-up of a case of early gastric carcinoma (signet ring cells type).一例早期胃癌(印戒细胞型)的5年综合临床及组织病理学随访
J Med Life. 2016 Jul-Sep;9(3):291-293.
2
[Clinical and morphological features in a case of recent gastric carcinoma (the signet ring cell carcinoma type)].[一例近期胃癌(印戒细胞癌型)的临床及形态学特征]
Chirurgia (Bucur). 2011 May-Jun;106(3):383-7.
3
Total Versus Subtotal Gastrectomy for Signet Ring Cell Carcinoma of the Stomach.全胃切除术与胃次全切除术治疗胃印戒细胞癌的对比
J Coll Physicians Surg Pak. 2017 Oct;27(10):616-620.
4
Importance of optical diagnosis in early gastric cancer: A case report of early gastric signet ring cell carcinoma.光学诊断在早期胃癌中的重要性:一例早期胃印戒细胞癌病例报告
Niger J Clin Pract. 2017 Oct;20(10):1342-1345. doi: 10.4103/njcp.njcp_289_16.
5
Risk-reducing total gastrectomy for germline mutations in E-cadherin (CDH1): pathologic findings with clinical implications.针对E-钙黏蛋白(CDH1)种系突变进行的降低风险的全胃切除术:具有临床意义的病理结果
Am J Surg Pathol. 2008 Jun;32(6):799-809. doi: 10.1097/PAS.0b013e31815e7f1a.
6
Gastric adenocarcinoma of fundic gland type with signet-ring cell carcinoma component: A case report and review of the literature.胃底腺型腺癌伴印戒细胞癌成分:病例报告及文献复习。
World J Gastroenterol. 2018 Jul 14;24(26):2915-2920. doi: 10.3748/wjg.v24.i26.2915.
7
Early gastric cancer: a single-institution experience on 60 cases.早期胃癌:单机构60例病例经验
Suppl Tumori. 2003 Sep-Oct;2(5):S23-6.
8
[Quality of life after subtotal resection and gastrectomy for gastric cancer].[胃癌次全切除及胃切除术后的生活质量]
Chirurg. 2005 Mar;76(3):250-7. doi: 10.1007/s00104-004-0950-5.
9
Predictive factors for lymph node metastasis in early gastric cancer with signet ring cell histology and their impact on the surgical strategy: analysis of single institutional experience.早期印戒细胞组织学类型胃癌淋巴结转移的预测因素及其对手术策略的影响:单中心经验分析
J Surg Res. 2014 Sep;191(1):130-3. doi: 10.1016/j.jss.2014.03.065. Epub 2014 Mar 27.
10
Early gastric carcinoma: spread and multicentricity.早期胃癌:扩散与多中心性
Gastric Cancer. 2002;5(3):125-8: discussion 128-9. doi: 10.1007/s101200200022.

本文引用的文献

1
Prognostic significance of signet ring gastric cancer.印戒细胞胃癌的预后意义。
J Clin Oncol. 2012 Oct 1;30(28):3493-8. doi: 10.1200/JCO.2012.42.6635. Epub 2012 Aug 27.
2
Multifocality in early gastric cancer does not increase the risk of lymph node metastasis in a single-center study.单中心研究表明,早期胃癌的多灶性并不增加淋巴结转移的风险。
Ann Surg Oncol. 2012 Apr;19(4):1251-6. doi: 10.1245/s10434-011-2083-7. Epub 2011 Oct 18.
3
[Clinical and morphological features in a case of recent gastric carcinoma (the signet ring cell carcinoma type)].
[一例近期胃癌(印戒细胞癌型)的临床及形态学特征]
Chirurgia (Bucur). 2011 May-Jun;106(3):383-7.
4
Epidemiology, pathology and clinical management of multiple gastric cancers: a mini-review.多发性胃癌的流行病学、病理学和临床管理:小型综述。
Surg Oncol. 2010 Dec;19(4):e110-4. doi: 10.1016/j.suronc.2010.05.002. Epub 2010 Jun 20.
5
Renal effects of low dose aspirin in elderly patients.低剂量阿司匹林对老年患者的肾脏影响
Isr Med Assoc J. 2006 Oct;8(10):679-82.
6
Treatment and prognosis of early multiple gastric cancer.早期多发性胃癌的治疗与预后
Eur J Surg Oncol. 2003 Aug;29(6):511-4. doi: 10.1016/s0748-7983(03)00094-5.