Suppr超能文献

免疫缺陷患者分枝杆菌感染中存在双等位基因 JAK1 突变。

Biallelic JAK1 mutations in immunodeficient patient with mycobacterial infection.

机构信息

Department of Medicine, University of Cambridge, Cambridge CB2 0QQ, UK.

University College London Institute of Immunity and Transplantation, London NW3 2PF, UK.

出版信息

Nat Commun. 2016 Dec 23;7:13992. doi: 10.1038/ncomms13992.

Abstract

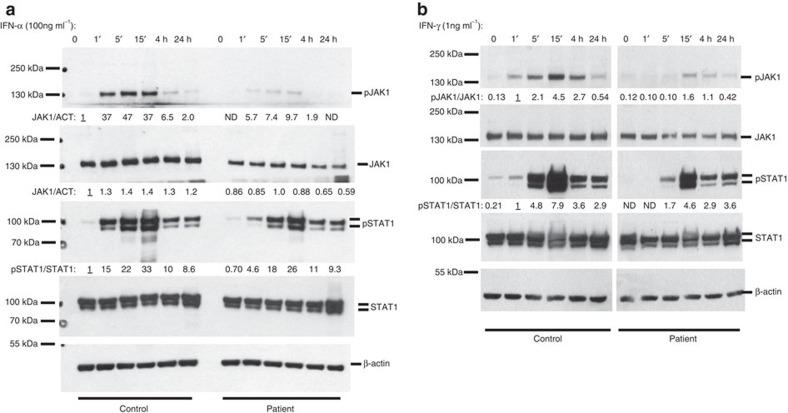
Mutations in genes encoding components of the immune system cause primary immunodeficiencies. Here, we study a patient with recurrent atypical mycobacterial infection and early-onset metastatic bladder carcinoma. Exome sequencing identified two homozygous missense germline mutations, P733L and P832S, in the JAK1 protein that mediates signalling from multiple cytokine receptors. Cells from this patient exhibit reduced JAK1 and STAT phosphorylation following cytokine stimulations, reduced induction of expression of interferon-regulated genes and dysregulated cytokine production; which are indicative of signalling defects in multiple immune response pathways including Interferon-γ production. Reconstitution experiments in the JAK1-deficient cells demonstrate that the impaired JAK1 function is mainly attributable to the effect of the P733L mutation. Further analyses of the mutant protein reveal a phosphorylation-independent role of JAK1 in signal transduction. These findings clarify JAK1 signalling mechanisms and demonstrate a critical function of JAK1 in protection against mycobacterial infection and possibly the immunological surveillance of cancer.

摘要

基因突变导致免疫系统成分的原发性免疫缺陷。在这里,我们研究了一位复发性非典型分枝杆菌感染和早发性转移性膀胱癌患者。外显子组测序在 JAK1 蛋白中发现了两个纯合错义种系突变,P733L 和 P832S,该蛋白介导来自多种细胞因子受体的信号转导。该患者的细胞在细胞因子刺激后表现出 JAK1 和 STAT 磷酸化减少、干扰素调节基因表达减少和细胞因子产生失调;这表明包括 IFN-γ 产生在内的多种免疫反应途径中的信号转导缺陷。在 JAK1 缺陷细胞中的重建实验表明,受损的 JAK1 功能主要归因于 P733L 突变的影响。对突变蛋白的进一步分析揭示了 JAK1 在信号转导中磷酸化独立的作用。这些发现阐明了 JAK1 信号转导机制,并证明了 JAK1 在保护免受分枝杆菌感染和可能对癌症的免疫监视中的关键作用。

https://cdn.ncbi.nlm.nih.gov/pmc/blobs/e892/5196432/159e2e57d7a7/ncomms13992-f1.jpg

文献AI研究员

20分钟写一篇综述,助力文献阅读效率提升50倍。

立即体验

用中文搜PubMed

大模型驱动的PubMed中文搜索引擎

马上搜索

文档翻译

学术文献翻译模型,支持多种主流文档格式。

立即体验