Suppr超能文献

霍奇金氏肿瘤细胞系HDLM-1和KM-H2的细胞产生肿瘤坏死因子-α和淋巴毒素。

Production of tumor necrosis factor-alpha and lymphotoxin by cells of Hodgkin's neoplastic cell lines HDLM-1 and KM-H2.

作者信息

Hsu P L, Hsu S M

机构信息

Department of Pathology, University of Texas Health Science Center, Houston.

出版信息

Am J Pathol. 1989 Oct;135(4):735-45.

Abstract

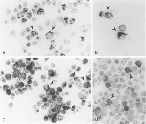
The production of tumor necrosis factors (TNF) from cells of two Hodgkin's Reed-Sternberg (H-RS) lines, HDLM-1 and KM-H2 was examined. The culture supernatant from these two types of H-RS cells exerts a cytotoxic effect on L929 cells. Both tumor necrosis factor (TNF-alpha) and lymphotoxin (TNF-beta) are responsible for this activity. This was confirmed by the presence in the cells of proteins and m-RNAs of TNF-alpha and TNF-beta, as determined with immunoperoxidase staining and Northern blot hybridization. Approximately 20% of HDLM cells and 5% of KM-H2 cells were positively stained by a monoclonal anti-TNF-alpha antibody, and this staining was inhibited by preabsorption of the antibody with recombinant TNF-alpha. Staining with anti-TNF-beta, however, showed an intense reaction in more than 60% of HDLM-1 cells, but only in 5% to 10% of KM-H2 cells. The abundant expression of TNF-beta in HDLM-1 cells is consistent with approximately 10 times the TNF activity in HDLM-1-conditioned medium as compared with that of KM-H2. The rich secretion of TNF-beta in HDLM-1 cells was also validated by the inhibition of most of the TNF activity in HDLM-1-conditioned medium with anti-TNF-beta antibody, and by the presence of abundant TNF-beta mRNA in HDLM-1 cells. The reason for the abundant production of TNF-beta in HDLM-1 cells is not yet known, but may be attributable to a chromosomal abnormality in the 6p21 region. The expression of TNF-alpha, but not TNF-beta, by H-RS cells was demonstrated in lymph nodes from patients with Hodgkin's disease. The capacity of H-RS cells to secrete TNF as well as other cytokines, such as interleukin-1, colony-stimulating factors, and transforming growth factors, may contribute to the unique clinical and histopathologic alterations in patients with Hodgkin's disease.

摘要

对两个霍奇金里德-斯腾伯格(H-RS)细胞系HDLM-1和KM-H2细胞产生肿瘤坏死因子(TNF)的情况进行了检测。这两种类型的H-RS细胞的培养上清液对L929细胞具有细胞毒性作用。肿瘤坏死因子(TNF-α)和淋巴毒素(TNF-β)均参与此活性。通过免疫过氧化物酶染色和Northern印迹杂交确定细胞中存在TNF-α和TNF-β的蛋白质及mRNA,证实了这一点。约20%的HDLM细胞和5%的KM-H2细胞被抗TNF-α单克隆抗体阳性染色,且该染色可被重组TNF-α预先吸附抗体所抑制。然而,抗TNF-β染色显示,超过60%的HDLM-1细胞有强烈反应,但KM-H2细胞中只有5%至10%有反应。HDLM-1细胞中TNF-β的丰富表达与HDLM-1条件培养基中TNF活性约为KM-H2的10倍相一致。HDLM-1条件培养基中大部分TNF活性被抗TNF-β抗体抑制以及HDLM-1细胞中存在丰富的TNF-β mRNA,也证实了HDLM-1细胞中TNF-β的丰富分泌。HDLM-1细胞中大量产生TNF-β的原因尚不清楚,但可能归因于6p21区域的染色体异常。在霍奇金病患者的淋巴结中证实了H-RS细胞表达TNF-α而非TNF-β。H-RS细胞分泌TNF以及其他细胞因子(如白细胞介素-1、集落刺激因子和转化生长因子)的能力可能导致霍奇金病患者独特的临床和组织病理学改变。

https://cdn.ncbi.nlm.nih.gov/pmc/blobs/ce3f/1880038/c38810fe512a/amjpathol00118-0156-a.jpg

文献检索

告别复杂PubMed语法,用中文像聊天一样搜索,搜遍4000万医学文献。AI智能推荐,让科研检索更轻松。

立即免费搜索

文件翻译

保留排版,准确专业,支持PDF/Word/PPT等文件格式,支持 12+语言互译。

免费翻译文档

深度研究

AI帮你快速写综述,25分钟生成高质量综述,智能提取关键信息,辅助科研写作。

立即免费体验